Добавить в корзинуПозвонить
Найти в Дзене
Маммолог в Туле

Внутрипротоковая папиллома молочной железы.

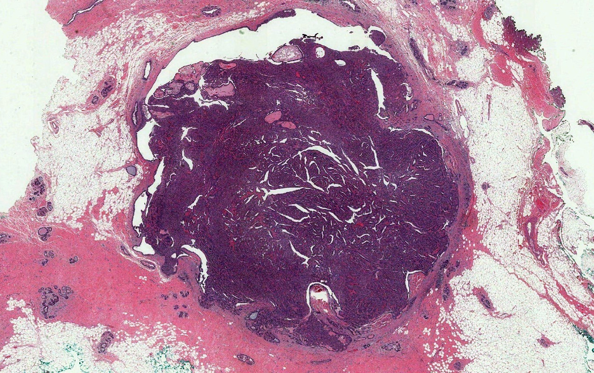
Внутрипротоковая папиллома - это доброкачественная опухоль, обнаруживаемая в протоках молочной железы. Одиночная внутрипротоковая папиллома чаще всего располагается в центральном протоке кзади от соска. Множественные внутрипротоковые папилломы могут располагаются в любом секторе молочной железы, поражая периферические протоки. Внутрипротоковые папилломы встречаются у женщин любого возраста, но чаще всего с 35 до 55 лет. Факторами риска развития опухоли являются использование противозачаточных средств, заместительная гормональная терапия, ранний возраст начала месячных и/или поздний климакс, осложненный семейный анамнез. Симптомом заболевания является наличие спонтанных кровянистых или прозрачных выделений из соска на стороне поражения. Иногда можно пальпировать образование в проекции протока. Однако у большинства пациентов с внутрипротоковыми папилломами заболевание протекает бессимптомно. Заболевание обладает высоким риском перехода в протоковую карциному in situ (DCIS) или другие фо
Оглавление

Внутрипротоковая папиллома - это доброкачественная опухоль, обнаруживаемая в протоках молочной железы.

Одиночная внутрипротоковая папиллома чаще всего располагается в центральном протоке кзади от соска. Множественные внутрипротоковые папилломы могут располагаются в любом секторе молочной железы, поражая периферические протоки.

Внутрипротоковые папилломы встречаются у женщин любого возраста, но чаще всего с 35 до 55 лет. Факторами риска развития опухоли являются использование противозачаточных средств, заместительная гормональная терапия, ранний возраст начала месячных и/или поздний климакс, осложненный семейный анамнез.

Симптомом заболевания является наличие спонтанных кровянистых или прозрачных выделений из соска на стороне поражения. Иногда можно пальпировать образование в проекции протока. Однако у большинства пациентов с внутрипротоковыми папилломами заболевание протекает бессимптомно.

Заболевание обладает высоким риском перехода в протоковую карциному in situ (DCIS) или другие формы рака.

Диагностика

При проведении рентген-маммографии (ММГ) внутрипротоковая папиллома может не обнаруживаться. Иногда она проявляется в виде округлого или овального образования с четкими или нечеткими границами с наличием или отсутствием микрокальцинатов внутри.

При ультразвуковом исследовании (УЗИ) обычно обнаруживается образование в околососковой области. Опухоль находится в расширенном протоке и часто проявляется при цветной или энергетической допплерографии.

На дуктографии внутрипротоковая папиллома выглядит как дефект наполнения с расширением приводящего отдела с резким обрывом протока за образованием.

Для уточнения диагноза и исключение злокачественного образования проводится биопсия, предпочтительно core-биопсия или вакуум-аспирационная биопсия (ВАБ)

Частота выявления злокачественных новообразований на этапе биопсии составляет порядка 6,3%.

Лечение

В связи с высокой вероятностью малигнизации образования внутрипротоковая папиллома требует хирургического лечения с полным удалением опухоли. Предпочтительным видом оперативного вмешательства является секторальная резекция молочной железы.

При исследовании операционного материала злокачественные новообразования выявляются примерно в 7,3% случаев. 1,3% - инвазивный рак, 2,7% протоковая карцинома in situ (DCIS), 3,3% атипическая внутрипротоковая гиперплазия.