Найти в Дзене

Белые пятна на зубах - что делать

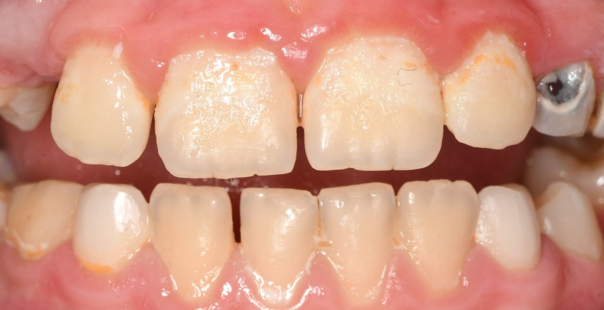
Кейс про белые пятна на зубах В анкетах по темам для контента, который я публиковала ранее, был вопрос от коллег про судьбу белых пятен. Как раз есть кейс на эту тему - хочу с вами поделиться. К посту прикрепила серию снимков
Первая фотография — на первичном приёме, вторая — перед профессиональной гигиеной. Что мы видим? Последствия налёта. А за ним — глобальные проблемы с гигиеной, с домашним уходом. То есть её просто нет. Под этой плёнкой, которая находится на зубах давно, страдают и десна, и эмаль. А дальше — запускается кариес. И начинается он как раз со стадии белого пятна. ❗️Поэтому мы можем говорить родителям в такой ситуации, что после снятия налёта мы можем обнаружить белые пятна, и это не «появилось вдруг». Это последствия длительных погрешностей в гигиене, результат налёта, который не убирался неделями, а то и месяцами. 👉Что с этим делать? 1. Наладить гигиену - прямо с этого момента. Ежедневно, системно, под контроль родителей. Подобрать индивидуальные средства гигиены. 2.

Кейс про белые пятна на зубах

В анкетах по темам для контента, который я публиковала ранее, был вопрос от коллег про судьбу белых пятен.

Как раз есть кейс на эту тему - хочу с вами поделиться.

К посту прикрепила серию снимков

Первая фотография — на первичном приёме, вторая — перед профессиональной гигиеной.

Что мы видим? Последствия налёта. А за ним — глобальные проблемы с гигиеной, с домашним уходом. То есть её просто нет.

Под этой плёнкой, которая находится на зубах давно, страдают и десна, и эмаль.

А дальше — запускается кариес. И начинается он как раз со стадии белого пятна.

❗️Поэтому мы можем говорить родителям в такой ситуации, что после снятия налёта мы можем обнаружить белые пятна, и это не «появилось вдруг». Это последствия длительных погрешностей в гигиене, результат налёта, который не убирался неделями, а то и месяцами.

👉Что с этим делать?

1. Наладить гигиену - прямо с этого момента. Ежедневно, системно, под контроль родителей. Подобрать индивидуальные средства гигиены.

2. ICON - мы можем использовать ICON, но важно объяснить родителям: ICON — не волшебство.

Если не наладить гигиену, не будет эффекта.

ICON помогает остановить процесс, не дать кариесу углубиться, но только при регулярной домашней чистке зубов.

Если у вас есть кейсы из практики на тему судьбы белых пятен или вопросы - предлагаю пообщаться в комментариях ⬇️