Найти в Дзене
Доктор, что это?

🫁 Полгода «пневмонии

🫁 Полгода «пневмонии». А причина — колпачок в бронхах

В Москве 8-летний мальчик полгода страдал от хронического кашля и подозрений на затяжную пневмонию.

Лечение не помогало. Антибиотики не давали стойкого эффекта. Симптомы возвращались снова и снова.

И только спустя 6 месяцев врачи нашли настоящую причину — пластиковый колпачок от ручки, застрявший в бронхах. Ребёнок вдохнул его случайно и… молчал. Признался в этом уже после удаления.

🧠 Мораль не только в том, что дети могут скрыть или забыть важные детали. А в том, что:

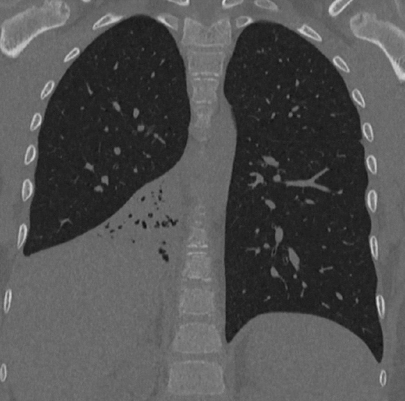
📌 Инородное тело в дыхательных путях — редкая, но важная причина непроходящего кашля, хрипов и рецидивирующей пневмонии у детей.

📌 Оно может не вызывать острой реакции, но мешать вентиляции лёгких, способствуя воспалению и вторичной инфекции.

📌 Даже при «типичной» картине бронхита или пневмонии у ребёнка, который не реагирует на лечение, стоит подумать о рентгене или бронхоскопии — особенно если есть *односторонние изменения*.

🛑 Ребёнка спасла внимательность врачей и вовремя проведённая бронхоскопия. Операция длилась всего 30 минут. Сейчас он в порядке.

Резюме: хронический кашель у ребёнка — это не всегда «долечим антибиотиком». Иногда за ним может прятаться колпачок. Или маленькая деталь с большими последствиями.

#педиатрия #пневмония #инородноетело #диагностика

👨‍⚕️Канал ДЧЭ l ❓Вопросы врачам

-2
-3