Найти в Дзене

Находки терапевта. Важность проведения дерматоскопии

👩‍⚕️ Автор: Ирина Николаевна Пикунова, к.м.н. Заведующая терапевтическим отделением № 1 Это была экстренная госпитализация, пациент доставлен бригадой скорой медицинской помощи с высоким АД до 190\90 мм рт. ст. Сам пациент рассказал, что даже за месяц до госпитализации чувствовал себя хорошо, высоким артериальным давлением не страдал, никакие лекарственные препараты не принимал, длительно к врачам не обращался. 🩹 Всё началось с травмы, около месяца назад, когда закружилась голова и он упал с высоты собственного роста на спину — обошлось без переломов. Далее: 🌀 головокружение становилось постоянным; 🤕 присоединились головные боли, слабость. В какой-то из дней пациент понял, что трудно передвигаться даже в пределах квартиры и вызвал бригаду скорой медицинской помощи. 👨‍⚕️ Врачом СМП при осмотре зафиксировано высокое АД — до 190\90 мм рт. ст., и уже до кареты СМП провожали с поддержкой из-за неустойчивости. 🧠 В первую очередь выполнено МРТ головного мозга и сразу выявлено значимое
Оглавление

👩‍⚕️ Автор: Ирина Николаевна Пикунова, к.м.н.

Заведующая терапевтическим отделением № 1

Клинический случай. Мужчина 73-х лет.

Это была экстренная госпитализация, пациент доставлен бригадой скорой медицинской помощи с высоким АД до 190\90 мм рт. ст.

Сам пациент рассказал, что даже за месяц до госпитализации чувствовал себя хорошо, высоким артериальным давлением не страдал, никакие лекарственные препараты не принимал, длительно к врачам не обращался.

🩹 Всё началось с травмы, около месяца назад, когда закружилась голова и он упал с высоты собственного роста на спину — обошлось без переломов. Далее:

🌀 головокружение становилось постоянным;

🤕 присоединились головные боли, слабость.

В какой-то из дней пациент понял, что трудно передвигаться даже в пределах квартиры и вызвал бригаду скорой медицинской помощи.

👨‍⚕️ Врачом СМП при осмотре зафиксировано высокое АД — до 190\90 мм рт. ст., и уже до кареты СМП провожали с поддержкой из-за неустойчивости.

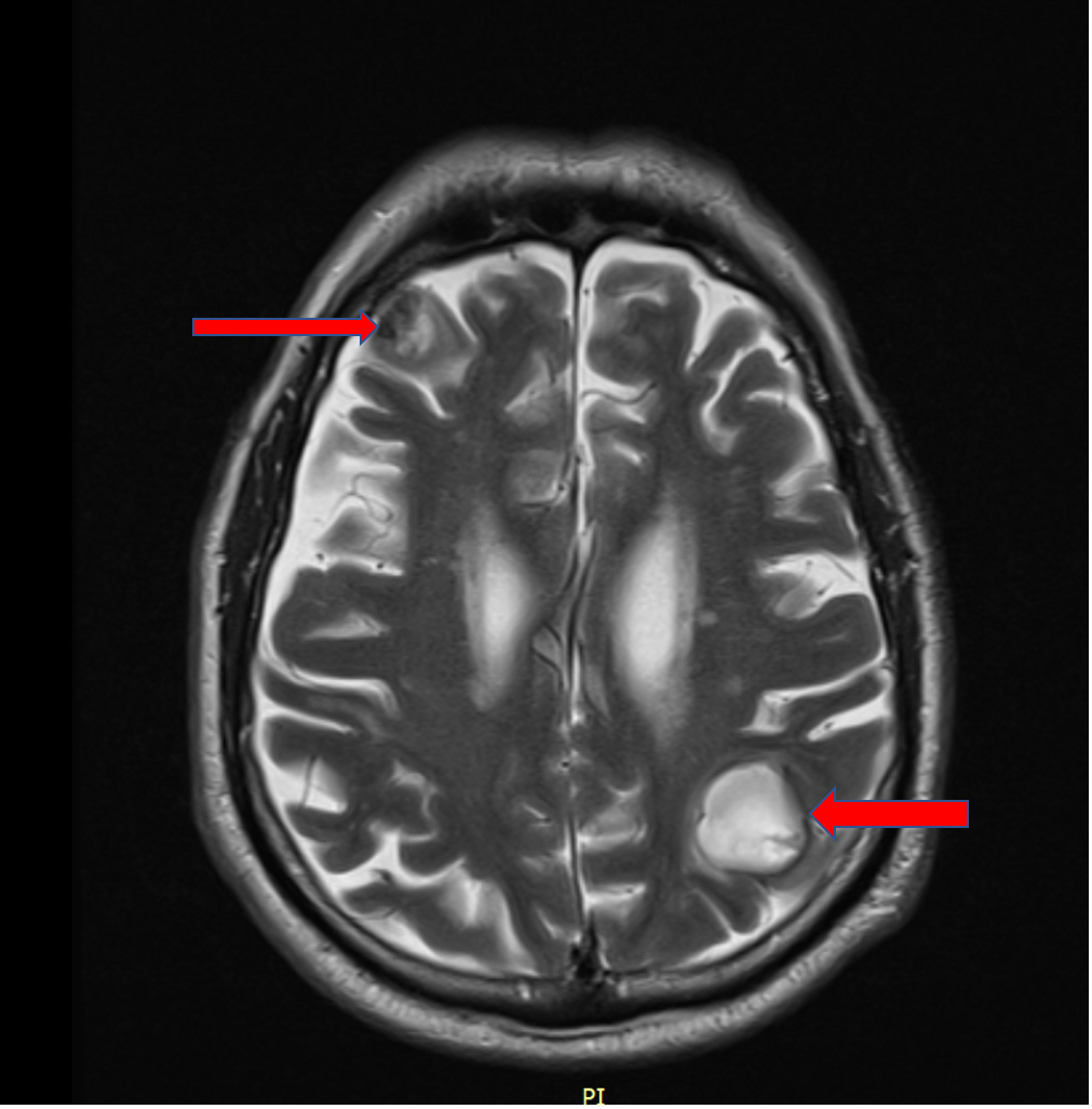
🧠 В первую очередь выполнено МРТ головного мозга и сразу выявлено значимое поражение в виде множественных очагов с кровоизлияниями.

Стрелочками выделены новообразования головного мозга больших размеров
Стрелочками выделены новообразования головного мозга больших размеров

➡️ Больше всего картина МРТ соответствовала метастатическому поражению головного мозга.

📸 Выполнена компьютерная томография всего тела — дополнительно выявлены метастатические очаги в печени.

Тогда ещё данных за первичный очаг опухоли мы не получили. Но выявили тромбоэмболию ветвей легочной артерии, что также укладывалось в течение онкологического процесса.

🧪 Что характерно, все анализы крови, включая общий анализ, биохимический —отклонений не выявляли.

🔬 Значения онкомаркеров были в пределах нормальных значений.

🔎 При объективном осмотре отмечено увеличение шейных лимфатических узлов, что в последующем подтверждено данными УЗИ.

🧫 Из самого видоизменённого лимфатического узла взята биопсия. Результат подтвердил онкологический генез заболевания — получены клетки, соответствующие метастазу меланомы.

🩺 После тщательной дерматоскопии выявлено наиболее соответствующее меланоме образование и полностью удалено.

📑 Гистологически получена — Пигментная эпителиоидная меланоцитома (меланома животного типа) кожи с инвазией в подкожно-жировую клетчатку.

К сожалению, у данного пациента онкологическое заболевание уже в запущенной стадии, и возможности специализированного лечения очень ограничены.

Это наглядный пример меланомы кожи, что послужило развитием тяжёлого заболевания
Это наглядный пример меланомы кожи, что послужило развитием тяжёлого заболевания

🧬 Меланома кожи – относительно редкая, но крайне опасная форма рака

📊 Её распространённость варьируется в зависимости от:

  • региона
  • этнической принадлежности
  • уровня инсоляции (солнечного облучения)

Во всём мире – около 3–5% от всех злокачественных опухолей кожи, однако 80% смертей от рака кожи приходится именно на этот вид опухоли.

🇷🇺 В России ежегодно заболевают – 6–10 человек на 100 тысяч населения

В группу риска входят:

  • Люди со светлой кожей – особенно рыжие, голубоглазые, с веснушками
  • Те, кто часто обгорает на солнце (особенно в детстве)
  • Люди с множественными невусами (родинками) или атипичными невусами

📌 Наследственность (если у близких родственников была меланома)

Диагноз ставится при дерматоскопии и подтверждается гистологическим исследованием

Основной метод лечения – хирургическое удаление

👉 Эффективен метод на ранних стадиях

📈 За последние 30 лет заболеваемость меланомой выросла в 3 раза

(из-за моды на загар и солярии)

👩‍🎓 В молодом возрасте (20–40 лет) меланома встречается чаще, чем другие онкозаболевания

🛡️ Главная профилактика:

  • Защита кожи от УФ-излучения ☀️

солнцезащитные кремы 🧴

одежда 👒

  • Прохождение ежегодного осмотра у дерматолога 🩺
  • Проведение дерматоскопии, удаление подозрительных невусов 🔍

❗ Если Вы заметили изменение родинки (увеличилась в размере, поменяла форму или цвет, стала кровить) — незамедлительно обратитесь к врачу! 🏥

🌐 Сайт клиники 

📞 +7 (495) 530-01-11

➣   Ещё больше новостей читайте в нашем телеграм канале