Найти в Дзене

Как понять, что Ваше ортодонтическое лечение идёт верно?

На самом деле, если Вы не специалист, понять это очень сложно.
В этой статье попробую дать, наверное, основные три маркера, по которым вы сможете предположить, что что-то идёт не так. Да, и вовремя, подчёркиваю, вовремя, не дожидаясь окончания неправильного лечения, предпринять необходимые шаги, чтобы как-то помочь, разобраться. Возможно, обратиться к другому специалисту, чтобы не зайти в тупик. Дочитайте эту статью до конца, чтобы по трём пунктам понять, насколько эффективно идёт ваше ортодонтическое лечение — и не экспериментировать со своим здоровьем. Наиболее частый случай, с которым ко мне приходят, это пациенты уже с установленной аппаратурой.
В нашей клинике более 30% пациентов — это случаи перелечивания. Вот что я вижу чаще всего: У пациента было скучное положение резцов.
После установки брекетов — зубы выпрямились, но образовалась сагиттальная щель. На первый взгляд всё красиво.
Вы смотрите в зеркало и думаете: «Ух ты, зубы ровные! Ортодонт — волшебник!»
Но! Зубы потеряли
Оглавление

На самом деле, если Вы не специалист, понять это очень сложно.

В этой статье попробую дать, наверное, основные три маркера, по которым вы сможете предположить, что что-то идёт не так. Да, и вовремя, подчёркиваю, вовремя, не дожидаясь окончания неправильного лечения, предпринять необходимые шаги, чтобы как-то помочь, разобраться. Возможно, обратиться к другому специалисту, чтобы не зайти в тупик.

Почему это важно?

Дочитайте эту статью до конца, чтобы по трём пунктам понять, насколько эффективно идёт ваше ортодонтическое лечение — и не экспериментировать со своим здоровьем.

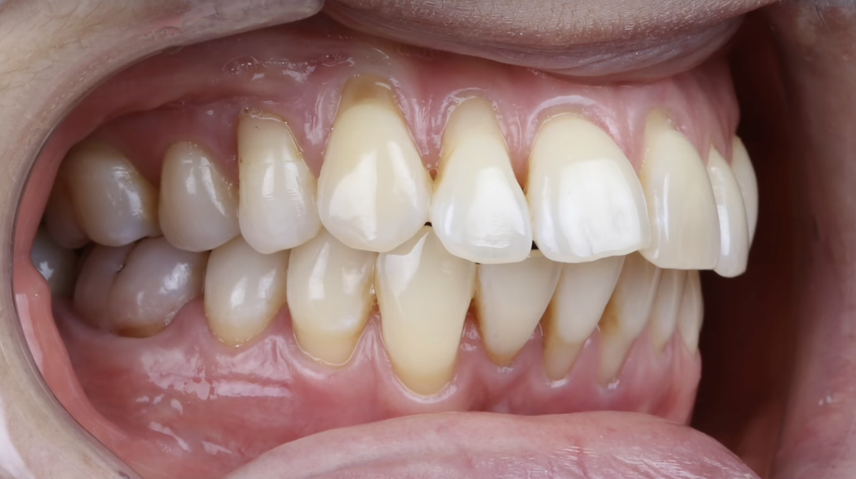
Признак №1: Ровные зубы, но между резцами щель

Наиболее частый случай, с которым ко мне приходят, это пациенты уже с установленной аппаратурой.

В нашей клинике более 30% пациентов — это случаи перелечивания. Вот что я вижу чаще всего:

  • Передние зубы — верхние и нижние резцы — стоят ровно.
  • Но при смыкании зубов резцы не контактируют, между ними щель 2–4 мм.
Резцы не контактируют друг с другом
Резцы не контактируют друг с другом

Что произошло?

У пациента было скучное положение резцов.

После установки брекетов — зубы выпрямились, но образовалась сагиттальная щель.

На первый взгляд всё красиво.

Вы смотрите в зеркало и думаете: «Ух ты, зубы ровные! Ортодонт — волшебник!»

Но! Зубы потеряли контакт, и вся нагрузка теперь идёт на другую половину. Для неспециалиста это незаметно.

📸 На фото в три четверти или сбоку можно увидеть, как передние зубы “торчат” вперёд, теряя контакт с нижними.

Сагиттальная щель
Сагиттальная щель

Если это на раннем этапе — нормально.

Но если спустя 8 месяцев, год или полтора сагиттальная щель всё ещё остаётся — это тревожный признак.

Признак №2: Только брекеты и дуги спустя 6 месяцев

Если прошло более 6 месяцев с начала лечения, а Вы до сих пор лечитесь только на брекетах и дуге — это тоже тревожный сигнал.

В лёгких случаях такое допустимо (примерно 5–10% от всех обращений).

Но обычно, начиная с определённого этапа, врач применяет:

  • эластики (эластическая тяга),
  • мини-винты,
  • якорные пластины,
  • устройства для дистализации и пр.
Эластическая тяга (эластики)
Эластическая тяга (эластики)
Минивинты
Минивинты
Якорная пластина
Якорная пластина

Если ничего этого нет, Вам просто меняют дуги, и всё «прекрасно» — стоит задуматься.

⚠️ Брекет и дуга не работают во всех плоскостях.

Без дополнительных методов невозможно создать правильный прикус.

Признак №3: Прошло 1,5–2 года, а ничего не меняется

Этот пункт субъективный, но тоже важен.

Если Вы лечитесь полтора-два года, но при этом:

  • сагиттальная щель всё ещё на месте,
  • зубы остались не идеально ровными,
  • вы не видите прогресса,

— это повод насторожиться.

Да, бывают индивидуальные особенности, из-за которых сроки увеличиваются.

Но врач должен чётко понимать, что делает и куда ведёт лечение. И Вы должны это видеть и слышать.

Если Вам говорили одно, а делают другое, и в итоге всё растянулось — скорее всего, Вы вышли за пределы плана и попали в «тёмный лес».

Что делать?

Если по всем трём пунктам у Вас всё в порядке — я искренне рад. Скорее всего, Вас лечит действительно хороший ортодонт.

Если хотя бы один из пунктов вызывает сомнения — не тяните. Получите второе мнение.

А ещё лучше — заходите к нам в телеграм-канал! Там много полезной информации, которая поможет Вам разобраться в нюансах ортодонтического лечения.