Добавить в корзинуПозвонить
Найти в Дзене
Обозреватель.Врн

От смертельно опасных осложнений аппендицита спасли воронежскую пенсионерку

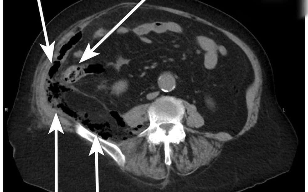
Специалисты Воронежской городской клинической больницы скорой медицинской помощи №1 провели уникальную операцию, избавив 78-летнюю пациентку от тяжелых последствий острого аппендицита. Женщина обратилась в больницу с жалобами на сильные боли внизу живота и поясницы, сопровождающиеся повышенной температурой тела. Осмотр показал наличие серьезного заболевания – острого деструктивного аппендицита, осложненного обширным воспалительным процессом в брюшной полости. Несмотря на сложность ситуации и сопутствующие хронические болезни, хирурги оперативно вмешались, успешно устранив аппендикс и очистив все очаги гнойного воспаления. Особенность случая заключалась в сложности ведения пациента из-за многочисленных сопутствующих болезней, таких как почечная недостаточность, сердечные патологии и сахарный диабет. Благодаря врачам удалось остановить инфекционное поражение тканей, предотвратив опасные последствия вроде сепсиса и повторного возникновения абсцессов. Пациентке потребовалось длительное вос

Специалисты Воронежской городской клинической больницы скорой медицинской помощи №1 провели уникальную операцию, избавив 78-летнюю пациентку от тяжелых последствий острого аппендицита.

Женщина обратилась в больницу с жалобами на сильные боли внизу живота и поясницы, сопровождающиеся повышенной температурой тела. Осмотр показал наличие серьезного заболевания – острого деструктивного аппендицита, осложненного обширным воспалительным процессом в брюшной полости.

Несмотря на сложность ситуации и сопутствующие хронические болезни, хирурги оперативно вмешались, успешно устранив аппендикс и очистив все очаги гнойного воспаления. Особенность случая заключалась в сложности ведения пациента из-за многочисленных сопутствующих болезней, таких как почечная недостаточность, сердечные патологии и сахарный диабет.

Благодаря врачам удалось остановить инфекционное поражение тканей, предотвратив опасные последствия вроде сепсиса и повторного возникновения абсцессов. Пациентке потребовалось длительное восстановление, но на 19-е сутки после хирургического вмешательства она вернулась домой в хорошем самочувствии.