Найти в Дзене

Врачи удалили у новосибирца опухоль мозжечка размером с куриное яйцо

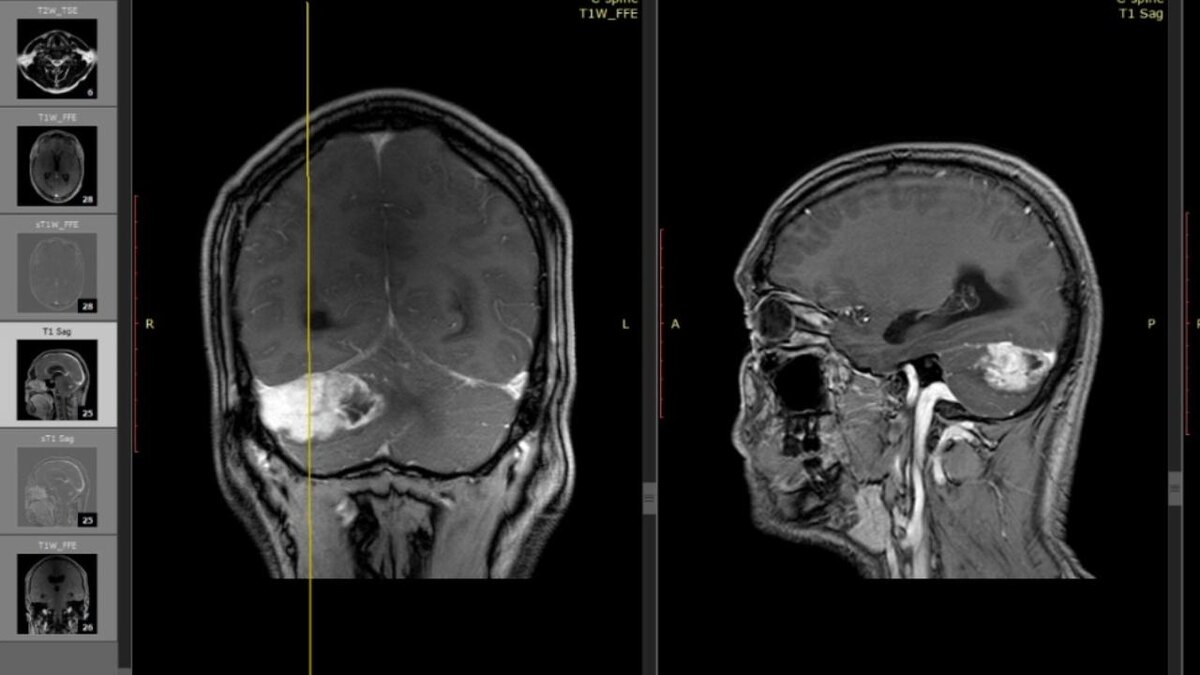
42-летний мужчина был экстренно доставлен в больницу после серии обмороков. Он три недели игнорировал головные боли, списывая их на гипертонию. Во время обследования врачи обнаружили у пациента опухоль мозжечка. По информации пресс-службы Новосибирской областной клинической больницы, магнитно-резонансная томография выявила у пациента новообразование размером с куриное яйцо. Опухоль требовала немедленного хирургического вмешательства, так как могла заблокировать ликворопроводящие пути. Нейрохирург Ильяс Кылданов провёл пятичасовую операцию, в ходе которой опухоль была полностью удалена. После успешного вмешательства пациента перевели из реанимации в обычную палату. Врачи ожидают результатов гистологического исследования, чтобы определить дальнейшую тактику лечения. Медики предупреждают, что обмороки могут быть первым признаком опухоли мозга, а самодиагностика головных болей опасна. Этот случай подчёркивает важность профессиональной диагностики, так как боли в затылке и шее не всегда свя

42-летний мужчина был экстренно доставлен в больницу после серии обмороков. Он три недели игнорировал головные боли, списывая их на гипертонию. Во время обследования врачи обнаружили у пациента опухоль мозжечка.

По информации пресс-службы Новосибирской областной клинической больницы, магнитно-резонансная томография выявила у пациента новообразование размером с куриное яйцо.

Опухоль требовала немедленного хирургического вмешательства, так как могла заблокировать ликворопроводящие пути.

Нейрохирург Ильяс Кылданов провёл пятичасовую операцию, в ходе которой опухоль была полностью удалена. После успешного вмешательства пациента перевели из реанимации в обычную палату. Врачи ожидают результатов гистологического исследования, чтобы определить дальнейшую тактику лечения.

Медики предупреждают, что обмороки могут быть первым признаком опухоли мозга, а самодиагностика головных болей опасна. Этот случай подчёркивает важность профессиональной диагностики, так как боли в затылке и шее не всегда связаны с остеохондрозом.