Добавить в корзинуПозвонить
Найти в Дзене
Веселый Дантист

Что такое зубной камень и почему его нельзя игнорировать? Рассказывает ваш стоматолог

Здравствуйте! Каждый день в моем кресле сидят пациенты, и очень часто я слышу один и тот же вопрос: «Доктор, а что это за желтый налет у основания зубов? Я его чищу, а он не счищается». Сегодня я хочу рассказать вам о «старом знакомом» каждого стоматолога — о зубном камне. Это не просто косметический дефект. Это тихий и упрямый враг, который, если его игнорировать, может привести к очень серьезным последствиям. Давайте разберемся, что это за «зверь», откуда он берется и как с ним бороться. Представьте себе ваш электрический чайник. Со временем на его нагревательном элементе образуется твердая накипь — это соли кальция из воды. Вы не можете просто смахнуть ее тряпочкой, ее нужно убирать специальными средствами. Зубной камень — это та же «накипь», только на ваших зубах. Если говорить научно, это минерализованный (то есть, затвердевший) зубной налет. Процесс образования камня очень логичен и происходит в два этапа: Этап 1: Образование мягкого налета.
После каждого приема пищи на зубах ост
Оглавление

Здравствуйте! Каждый день в моем кресле сидят пациенты, и очень часто я слышу один и тот же вопрос: «Доктор, а что это за желтый налет у основания зубов? Я его чищу, а он не счищается».

Сегодня я хочу рассказать вам о «старом знакомом» каждого стоматолога — о зубном камне. Это не просто косметический дефект. Это тихий и упрямый враг, который, если его игнорировать, может привести к очень серьезным последствиям. Давайте разберемся, что это за «зверь», откуда он берется и как с ним бороться.

Что такое зубной камень? Аналогия с чайником

Представьте себе ваш электрический чайник. Со временем на его нагревательном элементе образуется твердая накипь — это соли кальция из воды. Вы не можете просто смахнуть ее тряпочкой, ее нужно убирать специальными средствами.

Зубной камень — это та же «накипь», только на ваших зубах. Если говорить научно, это минерализованный (то есть, затвердевший) зубной налет.

Как он образуется? Простая цепочка событий

Процесс образования камня очень логичен и происходит в два этапа:

Этап 1: Образование мягкого налета.
После каждого приема пищи на зубах остается тонкая, липкая, невидимая пленка. Это и есть мягкий зубной налет. Он состоит из остатков пищи, слюны и, что самое главное, —
миллиардов бактерий. Для них эта пленка — уютный дом и шведский стол одновременно.

Этап 2: Минерализация («окаменение»).
Если этот мягкий налет не убрать в течение 24-48 часов, начинается магия, а точнее, химия. Наша слюна богата минералами, в основном солями кальция и фосфора. Эти минералы начинают пропитывать мягкий налет, как цемент пропитывает песок, и превращают его в твердую, прочную структуру. В зубной камень.

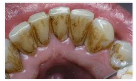
Чаще всего он образуется там, где активнее всего работают слюнные железы: на внутренней поверхности нижних передних зубов и на щечной поверхности верхних жевательных зубов.

Чем он так неприятен? 5 главных опасностей

-2

«Ну камень и камень, — думают некоторые, — просто некрасиво». Увы, это самое безобидное из его последствий.

  1. Постоянный источник инфекции. Зубной камень пористый, как губка. Он является идеальным инкубатором для вредных бактерий, которые живут и размножаются прямо у вас во рту.
  2. Неприятный запах изо рта (галитоз). Продукты жизнедеятельности этих бактерий, мягко говоря, пахнут не розами. Часто именно камень является причиной запаха, от которого не спасают ни жвачки, ни ополаскиватели.
  3. Воспаление десен (гингивит). Камень постоянно давит на десну и травмирует ее. Бактерии вызывают воспаление. Результат: десны краснеют, отекают и начинают кровоточить при чистке зубов. Это первый тревожный звонок.
  4. Разрушение кости (пародонтит). Если гингивит не лечить, воспаление уходит глубже. Камень начинает расти под десну, образуя «пародонтальный карман». Бактерии в этом кармане начинают разрушать связку зуба и костную ткань — тот самый «фундамент», в котором держится зуб. Зубы становятся подвижными и в конечном итоге могут быть потеряны.
  5. Кариес. Под слоем камня и налета бактерии выделяют кислоту, которая разрушает эмаль вашего зуба, приводя к кариесу.

Можно ли убрать его дома?

Короткий и честный ответ: нет, ни в коем случае.

Зубной камень настолько прочно сцеплен с эмалью, что убрать его обычной щеткой невозможно. Я настоятельно прошу вас: не пытайтесь использовать «народные средства» вроде соды, лимона или, не дай бог, иголок и других острых предметов. Вы гарантированно повредите эмаль и десны, а камень останется на месте. Поцарапанная эмаль — это открытые ворота для кариеса, и вы создадите себе проблему гораздо серьезнее.

Как мы с этим боремся в кабинете?

-3

Удаление зубного камня — это стандартная, безболезненная и очень важная процедура, которая называется профессиональная гигиена полости рта. Она состоит из нескольких этапов:

  1. Ультразвуковая чистка. Специальный аппарат (ультразвуковой скалер) создает высокочастотные колебания, которые безболезненно «сбивают» твердые отложения с поверхности зуба, не повреждая эмаль.
  2. Air Flow (по показаниям). Этот аппарат под давлением подает на зубы смесь воды и специального мелкодисперсного порошка. Он идеально убирает пигментированный мягкий налет из труднодоступных мест.
  3. Полировка. После чистки поверхность зубов полируется специальными щеточками и пастами. Это делается не только для блеска. На идеально гладкой поверхности новому налету гораздо сложнее закрепиться.

Как не допустить его появления?

Профилактика всегда лучше лечения. Чтобы зубной камень не стал вашим постоянным спутником, нужно всего две вещи:

  • Качественная домашняя гигиена. Чистите зубы дважды в день правильными движениями. И, пожалуйста, используйте зубную нить или ёршики! Именно они убирают налет из межзубных промежутков, где чаще всего и начинается «строительство» камня.
  • Регулярная профессиональная гигиена. Посещайте стоматолога для профилактической чистки раз в 6-12 месяцев. Это позволит убирать камень на самой ранней стадии, не давая ему нанести вред.

Помните, зубной камень — это проблема, которую гораздо легче (и дешевле!) предотвратить, чем лечить ее последствия в виде пародонтита и потери зубов.

С заботой о вашей улыбке,
ваш стоматолог.

-4