Добавить в корзинуПозвонить
Найти в Дзене
Прокопьевск.РУ

В Кузбассе врачи извлекли из глаза женщины червя

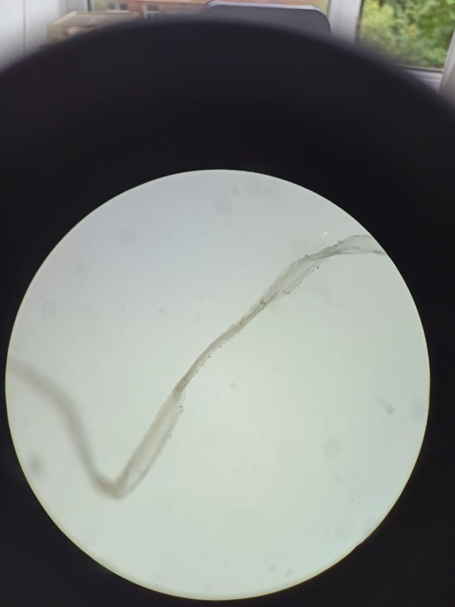
В Кузбассе врачи извлекли из глаза женщины червя. Живого гельминта длиной 4 сантиметра извлекли из глаза пациентки врачи-офтальмологи Кузбасской областной клинической больницы имени С.В.Беляева. Женщина обратилась с жалобами — пузырь неизвестного происхождения вырос прямо на глазном яблоке. После осмотра врачи определили причину необычного образования — это дирофилярия. Заражение чаще всего происходит после укуса переносчиков личинок — комаров, слепней и клещей. В организме человека паразит растет, может мигрировать под кожей, как правило, не размножается, так как с укусом комара попадает лишь одна особь. Пациентке выполнили операцию по удалению дирофилярии. К счастью, зрение не пострадало. Медики советуют во время отдыха на природе обязательно использовать средства для отпугивания насекомых. ✍✍✍ТУТ✍🗞🗞ЗДЕСЬ🗞 ⚡️BOOST КАНАЛА⚡️

В Кузбассе врачи извлекли из глаза женщины червя.

Живого гельминта длиной 4 сантиметра извлекли из глаза пациентки врачи-офтальмологи Кузбасской областной клинической больницы имени С.В.Беляева.

Женщина обратилась с жалобами — пузырь неизвестного происхождения вырос прямо на глазном яблоке. После осмотра врачи определили причину необычного образования — это дирофилярия. Заражение чаще всего происходит после укуса переносчиков личинок — комаров, слепней и клещей. В организме человека паразит растет, может мигрировать под кожей, как правило, не размножается, так как с укусом комара попадает лишь одна особь.

Пациентке выполнили операцию по удалению дирофилярии. К счастью, зрение не пострадало.

Медики советуют во время отдыха на природе обязательно использовать средства для отпугивания насекомых.

✍✍✍ТУТ✍🗞🗞ЗДЕСЬ🗞

⚡️BOOST КАНАЛА⚡️