Добавить в корзинуПозвонить
Найти в Дзене
Белка в позе

Дежурство с 15.07 на 16.07.25

Здравствуйте🤝 Лина сегодня ругается и раздражается часто не по делу , но и ее понять можно, она устала после тяжёлых суток, еще и в день работать. Она и сама говорит, что теперь не знает , в каком состоянии была , когда "подписалась" на такой график, тем более в отсутствии достаточного количества лаборантов. Хорошо ,что с нами Катюша в день работает. Катюша–дочь коллеги , ей 17 лет, перед учебным годом решила поработать. Да , конечно , мыть кабинеты она не моет, но кассеты протирает , стойку, а также усаживает пациента , дает защиту , подкладывает или ставит нужного формата кассету, и уже на мелкие кости знает , как и куда прицелиться. Иной раз глянешь , как сделала, только кнопку на снимок нажать остается. Очень ценный сотрудник , в отсутствии основных лаборантов. Потом кассету заберет и проявит снимок в оцифровщике. Основная же санитарка-уборщица до трех дня просто отдыхает. Как Лина говорит , что , когда Катюша уходит , у нее будто руки отнимают) *********************** Зашел мужчи
Оглавление

Здравствуйте🤝

Лина сегодня ругается и раздражается часто не по делу , но и ее понять можно, она устала после тяжёлых суток, еще и в день работать.

Она и сама говорит, что теперь не знает , в каком состоянии была , когда "подписалась" на такой график, тем более в отсутствии достаточного количества лаборантов.

Хорошо ,что с нами Катюша в день работает. Катюша–дочь коллеги , ей 17 лет, перед учебным годом решила поработать.

Да , конечно , мыть кабинеты она не моет, но кассеты протирает , стойку, а также усаживает пациента , дает защиту , подкладывает или ставит нужного формата кассету, и уже на мелкие кости знает , как и куда прицелиться.

Иной раз глянешь , как сделала, только кнопку на снимок нажать остается. Очень ценный сотрудник , в отсутствии основных лаборантов.

Потом кассету заберет и проявит снимок в оцифровщике.

Основная же санитарка-уборщица до трех дня просто отдыхает.

Как Лина говорит , что , когда Катюша уходит , у нее будто руки отнимают)

***********************

Зашел мужчина 47 лет,на снимок рёбер, одыхивается.

Сняли ребра ,мельком глянули-целые, ушел. И мы пошли на ингаляцию. Возвращаемся-он снова сидит.На этот раз на снимок легких. Что же там не понравилось травматологам?

–А вообще, что случилось?

–Я с мотоцикла упал.

–Ехал и упал?

–Нет , сидел и просто на бок упал.

–Одну проекцию будешь делать? –спрашивает Лина.

–Конечно , одну, им же обзорная нужна просто.

Это нужно посмотреть на пневмоторакс , раз пациент якобы задыхается.

Якобы– не просто так пишу , нет у него перелома ребер.

Сделали обзорный снимок легких, конечно , и там все хорошо. Пациент ушел , и , буквально минут через пятнадцать его привезли на лежачей каталке. Назначили снимки головы и костей таза.

–У вас разве голова болит? –раздраженно интересуется Лина.

–Нет , голова у меня не болит

–А что тогда вам назначают? И зачем вам кости таза , если вы проворно бегали по кабинету до этого на своих двоих?

И правда , такое чувство , что пациент просто смеется над нами и над врачами.

–Ну , спина ж болит, дышать больно.

–Мужчина , вам описали снимки, все там хорошо у вас!

Вывозить в приёмник не стали, просто из кабинета вывезли, сам в состоянии идти.

**********************

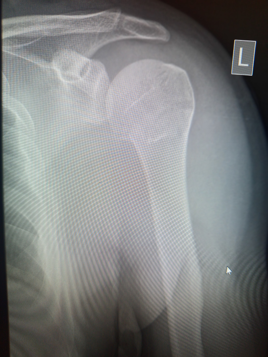
Женщина при шла на снимок плечевого, 71 год , упала с табурета , развешивая белье на веревки в частном доме.

Я не знаю , остались ли какие-то сейчас веревки у людей во дворах , но , видимо остались , не смотря на то , что напольные сушилки продаются любых видов . По старинке что ли , как когда-то привыкли?

Вывих и вывих. Отправили , ждем на контроль.

Пришла на контроль, в гипсе уже.

–Не рановато ли загипсовали?Прям вправили уже?

Последнее время видим , что с первого раза стали вправлять редко , молодых взяли , только что с ВУЗа.

–Так перелом же , девоньки, у меня!

–Это кто вам сказал?

–А врачи, которые гипс накладывали!

Ничего понять не можем, наши врачи еще снимок не описали, а травматологи ей ставят диагноз перелом бугра плечевого сустава.

Потом наши врачи уже описали снимок , что костно-суставных повреждений нет и , по мановению палочки диагноз и у травматологов исчез.

Надеюсь , что пациентке-то сообщили о диагнозе?

********************

Сегодня врачи приемника травмы своеобразно "отжигают".

Мы же вносим в свою базу данные с их базы , нужно , что данные пациента были корректные , потому что мы их отправляем на сервер, где они , собственно и хранятся.

А случаи переломов разные, потом могут быть и судебные разбирательства и страховых случаев много.

И как потом доказать пациенту , что снимок , к примеру , Пупкова -это его , если он Пупкин? Ошиблись при внесении , доказать потом очень сложно , поэтому требования к нам , в этом смысле повышенные.

И пошли с травмпункта:Батьков Батьков Евгеньевич, Полозная Елена Елена, Перов Борисович Борисович.

Конечно , пациентов мы спрашивали точные данные и честно отправляли снимки в программу, но , часа через три заметили , что они в программе травматологов так и не исправлены.

–Сейчас я им все выскажу!-поднялась из-за стола злая Лина, получив данные из базы:Сериков Серик Серик.

Линка , наверное летела в их кабинет , но исправили буквально через пятнадцать секунд.

–Лина , что ты сделала с травматологом?)

–Ничего не успела , только зашла , он сказал , что все понял и сейчас исправит.

Потом еще приходили с такими же неверными данными , но мы поступили хитрее, просто вносили правильные данные и не отсылали снимки. Не дождавшись снимков , травматологи исправляли "косяки" и получали снимки.

*******************

–Заходите следующий, –устало говорит Лина в открытую дверь.

А там каталка.

–Лин, посиди , попиши , я сама сниму, –мне просто жалко коллегу. Я вижу , что она устала, но , мужественно помогает. Сколько я ее не отправляла пойти и прилечь- отказалась, ну , пусть хотя бы присядет.

Пациентка в сопровождении внучки , на снимок поясницы и таза.

Замечаю , что пожилая женщина в поясничном корсете , а в руке у внучки пакет из частного медицинского центра с выглядывающими из него снимками.

–Не поняла , вы уже обследовались?

–Да , мы КТ поясницы делали.

–И что по результатам КТ?

–Перелом , компрессионный , по моему , первого позвонка.

–А вы тут врачу показывали результат обследования? –еще надеюсь я на лучший исход , чем мучить пациентку с переломом, чтобы переложить на стол.

–Да , я все ему показала, но он сказал , что тут все сделают заново, а мы только , как три дня свозили бабушку на снимки в платную , а перед этим к неврологу обращались.

–А у бабушки то что было? Травма?

–Да , упала она пять дней назад, вот , мази не помогли и мы обратились в частную , прошли обследования, невролог сказала после всего , что если не полегчает , то вызывайте скорую , ну и вот , мы здесь.

–Сколько ща снимки отдали , если не секрет?

–3500...

ПрЭлэстно. Да они могли тогда никуда в платные клиники вообще не ездить, а по причине падения сразу к нам обратиться!

То же КТ бы сделали. Снимки -то ни о чем , учитывая вес пациентки в сто сорок килограмм.

Не смотря на перелом , бабуля почти сама перекладывалась с каталки на стол и обратно.Да , со стонами , но старалась, и мы помогали , как могли , а не рвали спины.

По итогу , госпитализировать в травму не с чем, получив рекомендации , уехали домой.

**********************

Пришел мужчина , 28 лет на снимок плечевого сустава.

Лина , видя , что он двигает рукой без ограничений , бросает мне:

–Одна проекция будет.

Пока пациенту накидывал футболку,снимок проявился:

-2

–Лин , делай вторую проекцию, мне не "нравится "сустав.

Не нравится мы говорим , когда видим подозрение на перелом.

–Вставайте обратно, надо доснять, –командует Лина. –А вообще , что с вами случилось?

–Я с конч упал. Можно посмотреть потом снимок?

–А вы понимаете?

–Я мед закончил , хирург я.

–Идите , смотрите тогда ," коллега".

-3

–А , ну , вижу , ничего , вроде нет.

Мы с Линой просто переглянулись. Хирург полостной может в травме ничего не понимать, это нормально.

–Идите , на контрольный снимок придете.

–На какой? Там же все нормально?

–Идите, сами узнаете.

Конечно на контроль он пришел, удивлялся , как это он врач не увидел перелом , а техники увидели сразу)

Пришлось его удивить , что мы анатомию костей и органов знаем , как Отче наш, и изначально мы все со средним , это потом решили идти в рентгенолаборанты, ибо не искали сложных путей))

******************

Катюшка уже убежала , мы ее всегда пораньше отпускаем , негоже ребенку так лето проводить)

Я стала выпроваживать Лину , но она сопротивлялась , мотивируя тем , что смена еще не пришла.

–Да иди ты! Не маленькая я , справлюсь!Да и Лапыч со мной!

Знаете какой аргумент подействовал?Езжай , пока пробки не начались)

*********************

Юрьевна пришла на ночную смену почти свежая , как роза , но Лену погоняли на смене стационарного кабинета. Однако , девчонки отпустили меня сбегать по своим делам и сами сели за пульт.

Вечереет

Я быстро сносилась по делам и вернулась, отправив Лену , которая тоже была на сутках , немного отдохнуть, с Юрьевной поработаем)

Завезли каталку , с бабулей , бабуля переводная , всего 78 лет , но , деменция не спрашивает. Кричать начала еще в приемнике , когда скоряки ее перекладывали на наше оборудование. Кстати , ее сопровождает дочь , что большая редкость для переводных пациентов.

Бабуля и у нас ведет себя не адекватно. Громко постоянно требует , чтобы Наташку с ней оставили в больнице.

–Да , оставим , баб, только надо сначала снимочки сделать. А кто такая Наташка? –это я уже у дочери осведомляюсь.

–Наташка–это я, –грустно поясняет дочь пациентки, помогая ей освободиться от одежды сверху.

–Тяжело вам.

–Да уж лет восемь , как закидоны начались, Теперь вот шейку бедра сломала, как думаете, ее точно положат?

–Это не от меня же зависит , что врачи скажут, сейчас , снимочки сделаем , а там и врач подойдет .

Не осуждаю надежду в голосе дочери , интересующуюся насчет госпитализации. Только сочувствую, бабуля все десять минут , находившись у нас в кабинете , громко требовала и требовала. Деменция.

Да , ее госпитализировали, а дочь уже вызывала такси к себе домой , в район.

***********************

Завели ребенка , час педиатрии никто не отменял. Это с восьми и до десяти, стабильно идут с детьми. Время же спать укладываться и тут выясняется и вспоминается , что была травма.

Ребенку 4 года , мальчонка, но хнычет , даже уговоры о том , что мама будет рядом не помогает.

–С какой стороны ударился?–не обнаружив явных проявлений ушиба , спрашиваю я.

–А , вот тут– , гладит слева мама.

Начинаю налаживать аппаратуру , а ребенок начинает плакать.

–Успокаивайте , пока я готовлюсь,-это маме говорю.

Так-то он не маленький , четыре года , но я уже после такой смены не желаю с малышами вести успокоительные диалоги.

Худо бедно , но успокоила. Сделала первый снимок , пошла забрать кассету из кассетоприемника , а она вытаскивается с достаточно громким звуком.

Ребенок вздрагивает и начинает плакать опять.

–Что ж он у вас нежнулька такой? Балуете сильно? –поняв свою ошибку , задаю маме вопрос.

–Да он у нас вообще сам по себе такой.Чуть что , слезы.

–Понятно , ну , теперь ушком пусть прижмется и не шевелится.

Разбаловали и разнежили мальчишку просто , по моему мнению, главное , не расхлебывать потом.

*******************

-4

16.07

Вышла я на крыльцо , подышать. Спать всех отправила, осталось досидеть недолго.

Ко входу неуверенно направляется женщина.

–Скажите , есть тут травматологи круглосуточные?

Странный вопрос.

–Травма чего была?

–Вот , палец.

–Это прямо туда и налево.

–Спасибо.

Возвращаюсь к кабинету: сидят, как из небытия.

–Проходим , кто первый ?Прям белый день на улице!

Женщина , после автодорожки , ударилась об подушку безопасности. Да , хоть она и не каменная , но , при постановке диагноза сотрясение мозга нужен снимок черепа.

Как пояснила женщина , в них въехал нетрезвый водитель.

Как это страшно , на самом деле, Эти ежедневные автодорожки , где погибают и становятся инвалидами люди, которые ехали по своим делам. У нас травма просто переполнена тяжелыми послеаварийными пациентами.

Следующей была пациентка на сидячей каталке на снимок голеностопа.

Они с мужем привычно шли по деревянному мостику за грибами, как внезапно деревянные доски провалились и семейная пара упала в речку-мелкашку.

–Господи , толь ко б не перелом!

Перелома к счастью нет.

А следующей пришла та женщина , спросившая меня на крыльце.

Третий палец кисти.

Сама она неместная , в гости приехала , только что с поезда , где и получила травму. Работает педиатром у себя в городе.

Тоже целый палец.

*******************

Пациенты , ну все , хватит , ложитесь спать, будет там ещё и завтра и послезавтра)

Дюнь -дюнь.Посидят, я раунд в игре доигрываю. Дюнь-дюнь. Щас щас, чуть чуть осталось! Второй час так-то) дюнь-дюнь. Эх, продула я ! Ладно , ну кто там еще?

Женщина , на снимок поясницы.

–Сейчас упали? Ночью?

–Нет , вечером, вызвала скорую , мне укол поставили, но , сказали , что если не поможет , то нужно к вам поезжать.

–Очень странно , что , даже не предложили поехать?

–Предложили , но я как-то отказалась, не думала , что так будет больно .

Ну , а зачем тогда скорая? Сразу бы выяснила , приехав на скорой , что ушиб и спала бы уже и дала отдыхать травматологам и нам.

******************

Громкий настойчивый стук в третьем часу ночи.

Ничего не знаю , есть звонок , раунд играю!

Опять стучат еще громче. Не слышу я вас, дайте доиграть , чуточку осталось)

Приоткрылась дверь:

–Тут есть кто -нибудь? –спросил мужской голос в темноту.

Да , помилуйте, нет, здесь никого нет. Я –не считаюсь.

Дюнь-дюнь. Наконец-то!))))

Заходит сорокалетняя фея повышенного питания, в платье и на каблуках, придерживает руку , но , там вывих локтевого сустава налицо.

–Что, где?

–С самоката упала...

-5

Сколько надо еще написать в СМИ , чтобы что-то предпринимали на счет самокатов?

*********************

Щурясь , пришла меня менять Юрьевна.

–Зачем пришла? Я ж не будила тебя.

–Да чет и спать не сплю , в ночь же , не устала особо. Иди домой.

Меня упрашивать не надо , я -то с шести утра на ногах. Собралась и пошла.

А куда я иду? Правильно , во двор.

-6

Батеньки! Это что за новые цветы? Спят правда, рано еще)

Посплю и буду собираться на работу , в день дежурю , на стационаре)

Не люблю я ни день ни стационар , но , при отсутствии сотрудников , кто же спросит?)

Все события вымышлены , все совпадения случайны.