Добавить в корзинуПозвонить
Найти в Дзене

Кариес, флюороз или гипоплазия: почему появляются белые пятна на зубах и как их лечить

Белые пятна на зубах — частая причина беспокойства пациентов. Они могут возникать по разным причинам: от начального кариеса до флюороза и гипоплазии эмали. В статье «Белого Кита» разбираемся, чем они отличаются и когда стоит насторожиться. Часто белые пятна — это начальный этап кариеса. Обычно они появляются в любом возрасте на одном-двух зубах у края десны или между зубами. Поверхность эмали шероховатая. Причины — недостаточная гигиена или вымывание минералов. Еще дефекты на зубах могут появиться при таких заболеваниях: Флюороз — это белые, желтые или коричневые пятна. Они могут образоваться как на молочных, так и на коренных зубах. Когда ребенок находится в утробе матери, у него формируются зубы. Если женщина во время беременности пьет воду с высоким содержанием фтора, принимает добавки с этим элементом, то доза фтора для ребенка часто оказывается превышенной, что впоследствии влияет на появление пятен у него на зубах. То есть если ребенок в 8–10 лет пьет воду и чистит зубы с фтором,
Оглавление
Белые пятна на зубах — не просто косметический дефект, а признак проблем с эмалью.
Белые пятна на зубах — не просто косметический дефект, а признак проблем с эмалью.

Белые пятна на зубах — частая причина беспокойства пациентов. Они могут возникать по разным причинам: от начального кариеса до флюороза и гипоплазии эмали. В статье «Белого Кита» разбираемся, чем они отличаются и когда стоит насторожиться.

Основные причины появления белых пятен

Лечение кариес до и после
Лечение кариес до и после

Часто белые пятна — это начальный этап кариеса. Обычно они появляются в любом возрасте на одном-двух зубах у края десны или между зубами. Поверхность эмали шероховатая. Причины — недостаточная гигиена или вымывание минералов. Еще дефекты на зубах могут появиться при таких заболеваниях:

Флюороз — это белые, желтые или коричневые пятна. Они могут образоваться как на молочных, так и на коренных зубах. Когда ребенок находится в утробе матери, у него формируются зубы. Если женщина во время беременности пьет воду с высоким содержанием фтора, принимает добавки с этим элементом, то доза фтора для ребенка часто оказывается превышенной, что впоследствии влияет на появление пятен у него на зубах. То есть если ребенок в 8–10 лет пьет воду и чистит зубы с фтором, когда у него уже сформированы зубы, то потребление вещества не повлияет на возникновение пятен. Если не лечить флюороз в детстве, то зубы могут стать хрупкими, с шероховатой эмалью и начать крошиться.

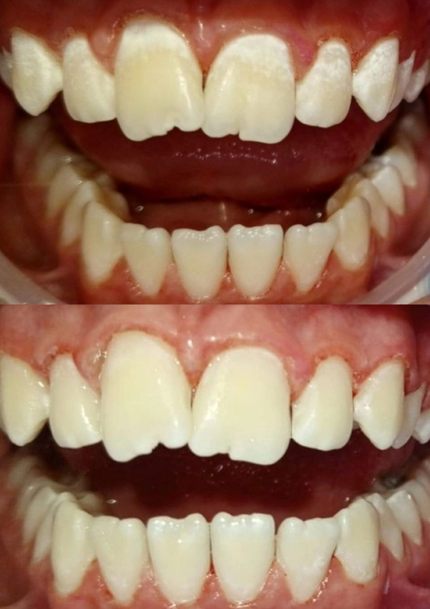
До: меловые и коричневые пятна от флюороза. После: ровный тон эмали после профессионального лечения в стоматологии «Белый Кит».
До: меловые и коричневые пятна от флюороза. После: ровный тон эмали после профессионального лечения в стоматологии «Белый Кит».

«У ребенка могут прорезаться молочные зубы, которые с виду будут здоровыми. Да, на них могут быть маленькие, едва заметные белые пятна. Когда прорезаются уже постоянные зубы, они могут быть сильно поражены. То, какими будут зубы, зависит от беременности женщины (пищи, воды, добавок) и раннего детства ребенка до 3–4 лет», — поделилась гигиенист детской стоматологии «Белый Кит» Нечипоренко Ольга Юрьевна.

Гигиенист детской стоматологии «Белый Кит» Нечипоренко Ольга Юрьевна специализируется на лечении гипоплазии, флюороза и начального кариеса.
Гигиенист детской стоматологии «Белый Кит» Нечипоренко Ольга Юрьевна специализируется на лечении гипоплазии, флюороза и начального кариеса.

Гипоплазия — нарушение развития структуры эмалево-дентинного слоя, которое проявляется в виде белых, желтых полос, ямок, чаще всего заметных в зоне улыбки. Причины появления разные: нарушения внутриутробного развития, проблемы в первые месяцы жизни ребенка, тяжелый токсикоз у беременной женщины или инфекционное заболевание, дефицит витаминов, прием антибиотиков, искусственное вскармливание.

Лечение гипоплазии в клинике «Белый Кит» — здоровые зубы и уверенность в себе.
Лечение гипоплазии в клинике «Белый Кит» — здоровые зубы и уверенность в себе.

Единичная гипоплазия может возникать из-за травм молочных зубов. Например, если ребенок сильно ударился и вывихнул молочные зубы, из-за чего произошло повреждение фолликула постоянного зуба. Развитие эмали изменяется, что приводит к гипоплазии. Кроме того, она может появиться из-за несвоевременного удаления временных зубов, разрушенных кариесом: бактерии начинают проникать в еще непрорезавшийся коренной зуб и он становится слабым, часто с кариесом.

«В сменном прикусе лучше посещать стоматолога 4 раза в год. Если ребенок, у которого на молочных зубах есть белые пятна и кариес, приходит на осмотры только раз в полгода, ситуация с зубами может стать необратимой. Коренные зубы еще на этапе прорезывания сталкиваются с кислотным воздействием, и эмаль начинает разрушаться от этой атаки», — рассказала детский гигиенист стоматологии «Белый Кит» Нечипоренко Ольга Юрьевна.

Чем опасны белые пятна?

Белые пятна — это не только косметическая проблема, вызывающая психологический дискомфорт. Некоторые из них требуют лечения, чтобы избежать осложнений:

  1. Начальный кариес без лечения приводит к разрушению зуба.
  2. Гипоплазия — ослабление эмали, что повышает риск сколов и кариеса.
  3. Флюорозные пятна со временем могут потемнеть, стать желто-коричневыми, и зубы начнут разрушаться.

Что делать, если вы заметили белые пятна на зубах?

Даже если зуб не болит, а белое пятно появилось давно или недавно, необходимо обратиться к стоматологу. Врач проведет осмотр и при необходимости назначит дополнительные исследования (например, рентген или КТ).

Лечение зависит от причины пятен:

  • Гипоплазия: микроабразия для сошлифовывания неровностей (желтых, коричневых, белых пятен) при помощи препарата Opalustre Refill, отбеливание, укрепление эмали или в сложных случаях — эстетическая реставрация, виниры или коронки.
  • Флюороз: уменьшение потребления фтора для беременных женщин, микроабразия, длительное домашнее отбеливание, ремтерапия (укрепление эмали), процедура ICON (лечение может занимать до полугода).
  • Начальный кариес: реминерализация гелями с кальцием и фтором, инвазивная герметизация фиссур, процедура ICON.
Лечение детских зубов без уколов и сверления при помощи метода ICON
Лечение детских зубов без уколов и сверления при помощи метода ICON

Как предотвратить появление белых пятен?

Чтобы защитить зубы от дефектов, необходимо:

  • Дважды в год ходить на профессиональную гигиену.
  • Чистить зубы утром и вечером.
  • Пользоваться зубной нитью, ершиками и ирригатором.
  • Следить за питанием (витамины A, C, D, E и минералы).
  • Контролировать поступление фтора во время беременности.
  • При сомнениях консультироваться со стоматологом.

Комплексы профессиональной гигиены в клиниках «Белый Кит»

В сети стоматологий «Белый Кит» по адресам: ул. Сони Кривой, 67а, пр. Кирова, 159, Университетская Набережная, 76, ул. Энгельса, 61, Труда, 172 доступны программы профилактики «32ok», которые мы разработали совместно с кафедрой Уральской государственной медицинской академии дополнительного образования (УГМАДО) для взрослых и детей:

«32ok Profi» — для пациентов с гингивитом и пародонтитом,
«32ok Sensitive» — для чувствительных зубов,
«32ok Fresh» — для курильщиков,
классический комплекс «32ok Classic»,
«32ok baby Standard» для разных возрастных групп (0-6 лет, 6-12 лет, 12-15 лет).

Узнать подробности и записаться можно по телефону +7 (351) 734-00-04 или на сайте belkit.ru.

Сейчас проходит акция: классический комплекс гигиены для взрослых стоит 4 500 ₽, для детей — с 20% скидкой. По полному прайсу стоимость гигиены для маленьких пациентов начинается от 3 100 ₽.

Главное

Чем раньше обнаружены белые пятна, тем проще и быстрее их устранить. Некоторые дефекты можно убрать без сверления и пломбировки. Не откладывайте визит к стоматологу, чтобы сохранить здоровье зубов и красивую улыбку.