Добавить в корзинуПозвонить
Найти в Дзене
Шeрaли Джaмилов

Фиброаденома: что это и что делать? 🎗️

🔹 Вам поставили этот диагноз? Не паникуйте! Фиброаденома — это доброкачественное образование молочной железы. Она не является раком и крайне редко перерождается (определенные формы, про них вам точно доктор сообщит) в злокачественную опухоль. Однако подтвердить диагноз может только верификация (биопсия). 📌 Как уточнить диагноз? Даже если УЗИ, маммография или МРТ показывают «типичную» фиброаденому, точный диагноз ставится только после биопсии (забора клеток для анализа). 🔬 Методы биопсии: - Тонкоигольная аспирационная (ТАБ) – быстрая, но менее точная. - Трепан-биопсия (кор-биопсия) – более надежный вариант. - Вакуумно-аспирационная биопсия (ВАБ) – может одновременно служить и методом лечения. 📌 Что делать после подтверждения диагноза? Тактика зависит от ситуации: ✅ Наблюдение – если опухоль маленькая, не растет и не беспокоит. ✅ Удаление – если: - Фиброаденома большая (более 2 см) и вызывает дискомфорт. - Есть быстрый рост (контроль через 3–6 месяцев).

🔹 Вам поставили этот диагноз? Не паникуйте!

Фиброаденома — это доброкачественное образование молочной железы. Она не является раком и крайне редко перерождается (определенные формы, про них вам точно доктор сообщит) в злокачественную опухоль. Однако подтвердить диагноз может только верификация (биопсия).

📌 Как уточнить диагноз?

Даже если УЗИ, маммография или МРТ показывают «типичную» фиброаденому, точный диагноз ставится только после биопсии (забора клеток для анализа).

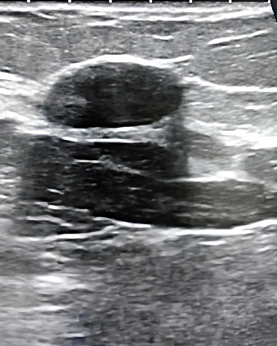
Так выглядит на УЗИ
Так выглядит на УЗИ

🔬 Методы биопсии:

- Тонкоигольная аспирационная (ТАБ) – быстрая, но менее точная.

- Трепан-биопсия (кор-биопсия) – более надежный вариант.

- Вакуумно-аспирационная биопсия (ВАБ) – может одновременно служить и методом лечения.

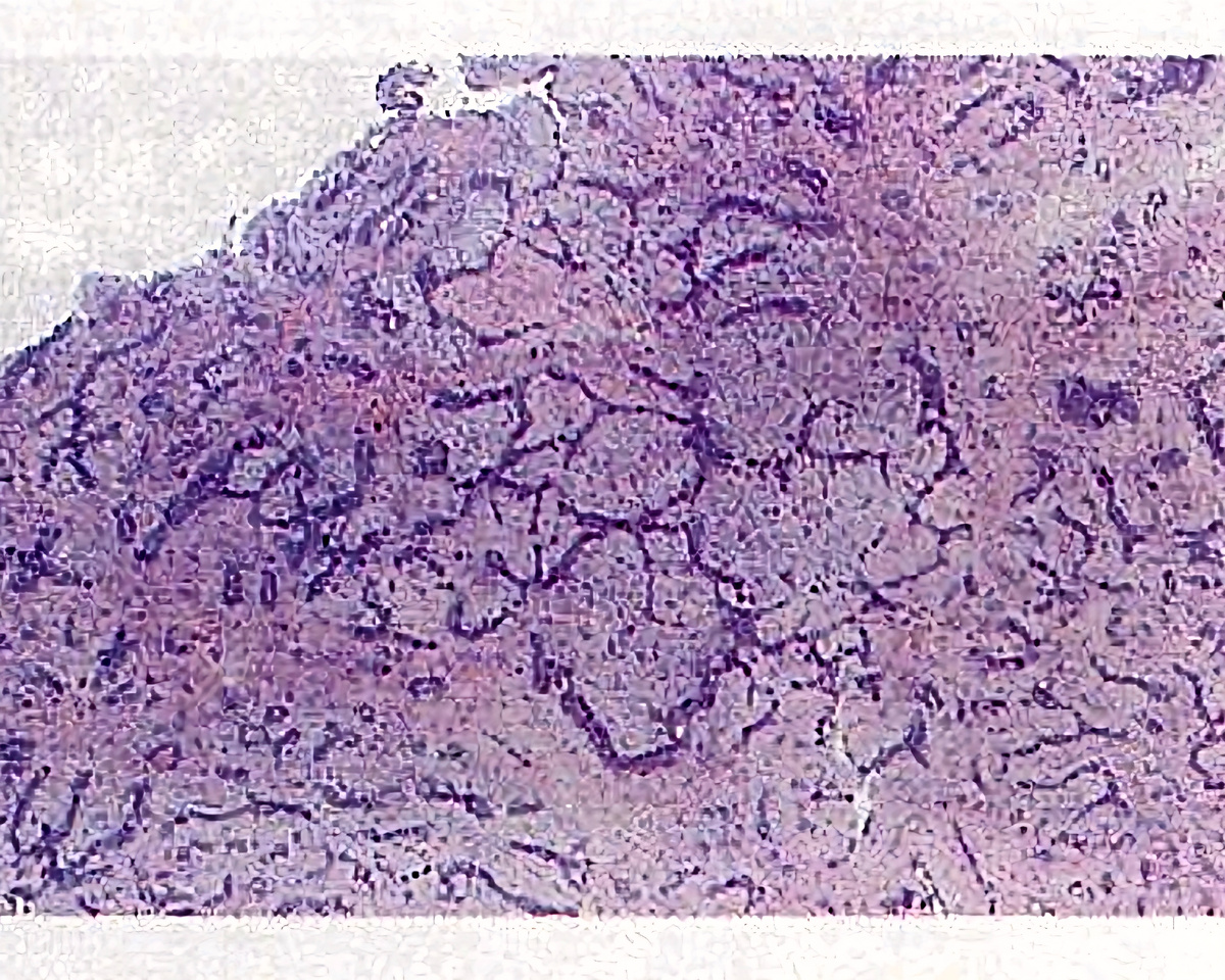
Под микроскопом
Под микроскопом

📌 Что делать после подтверждения диагноза?

Тактика зависит от ситуации:

Наблюдение – если опухоль маленькая, не растет и не беспокоит.

Удаление – если:

- Фиброаденома большая (более 2 см) и вызывает дискомфорт.

- Есть быстрый рост (контроль через 3–6 месяцев).

- Планируется беременность, ЭКО или гормональная терапия (из-за возможного роста под влиянием гормонов).

🔪 Методы удаления фиброаденомы

1️⃣ Вакуумно-аспирационная биопсия (ВАБ)

- Малоинвазивный метод (без разрезов).

- Подходит чаще всего только для небольших образований, не при любой локализации.

ВАБ
ВАБ

2️⃣ Хирургическое удаление (секторальная резекция)

- Проводится под местной или общей анестезией.

- Разрезы делают по естественным складкам или краю ареолы – шов почти незаметен!

- Если опухоль очень большая, возможна пластическая коррекция (липофилинг, маммопластика).

Шов по границе ареолы
Шов по границе ареолы

Удалённая фиброаденома
Удалённая фиброаденома

💡 Важно!

Решение об удалении принимает сама пациентка, врач лишь дает рекомендации. Если фиброаденома не мешает – можно просто наблюдать.

Бонус для тех, кто хочет идеальную грудь!

Если планируете удаление, можно сразу совместить его с эстетической коррекцией:

- Любой вариант маммопластики.

👉 Всегда рад помочь с решением и эстетикой! 😉