Найти в Дзене

М

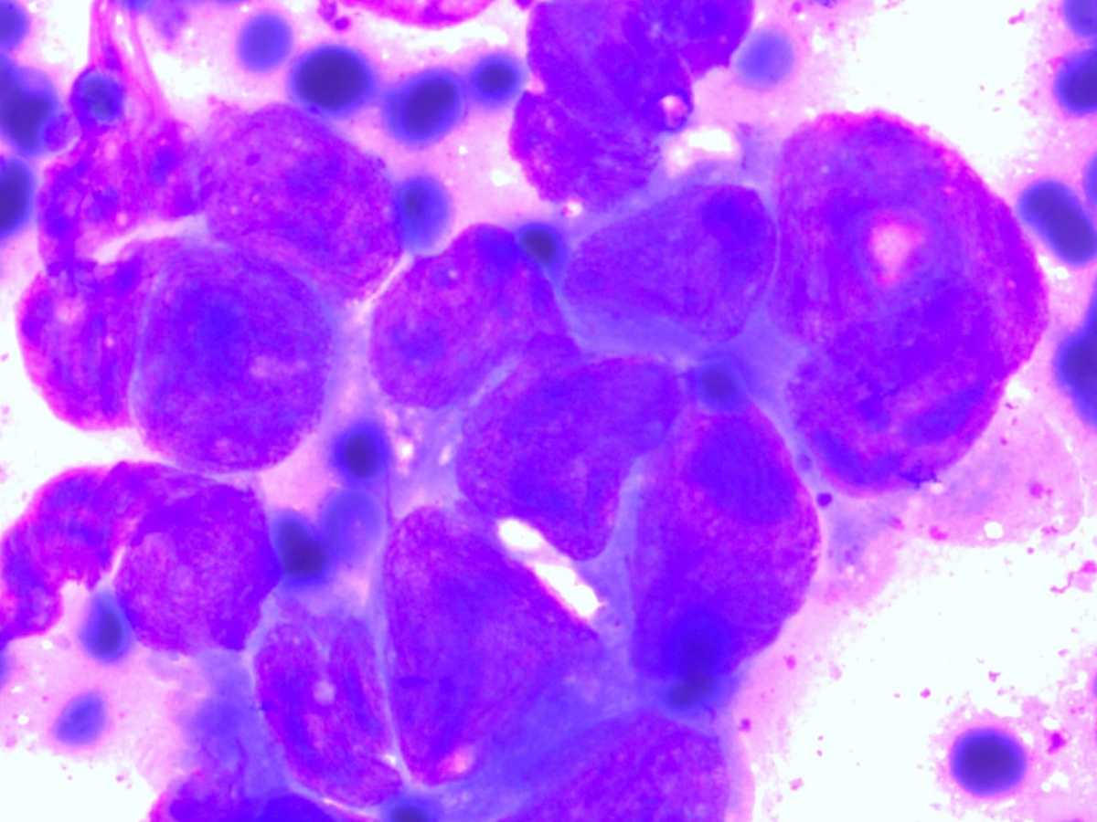
М. 20 лет Эмбриональная карцинома яичка. В пределах исследуемых препаратов ТИАБ образования яичка (2 стекла) трехмерные скопления из крупных клеток с умеренной бледной вакуолизированной цитоплазмой с нечеткими контурами, гигантскими неровными ядрами с умеренно-или резко выраженным полиморфизмом, множественным видимыми макро-ядрышками. Цитологическая картина соответствует диагностической категории – Злокачественный процесс, учитывая цитологические паттерны, герминогенная опухоль, вероятнее всего эмбриональная карцинома. #яичко #цитология

М. 20 лет Эмбриональная карцинома яичка.

В пределах исследуемых препаратов ТИАБ образования яичка (2 стекла) трехмерные скопления из крупных клеток с умеренной бледной вакуолизированной цитоплазмой с нечеткими контурами, гигантскими неровными ядрами с умеренно-или резко выраженным полиморфизмом, множественным видимыми макро-ядрышками.

Цитологическая картина соответствует диагностической категории – Злокачественный процесс, учитывая цитологические паттерны, герминогенная опухоль, вероятнее всего эмбриональная карцинома.

#яичко #цитология

-2
-3
-4