Добавить в корзинуПозвонить
Найти в Дзене

Вот так выглядит артроз локтевого сустава - правый сустав, левый сустав в порядке

Вот так выглядит артроз локтевого сустава - правый сустав, левый сустав в порядке. На прошлой неделе меня напугал мой собственный пес - подошел нюхать цветочки на четырех лапах, отошел уже на трех. Острой боли при пальпации не было, но наступать на лапу явно было больно. Доскакали домой на трех(. 1. Ограничение движений - не сделать бы хуже. Дополнительные движения при острой боли могут вызвать каскад нежелательных реакций организма и гиперсенсибилизацию, что потребует более сложного лечения. 2. Поехали ы Центр - сделали ЛАЗЕР и магнит в режиме обезболивания и противоотечном. 3. Записались к ортопеду. Честно, я уже готовилась к операции. Однако локоть - ничего там толком не сделать, ни замены сустава, ни артродез. Огромное спасибо Шустову А.С. принял нас в свой выходной день. DS: артроз правого локтевого сустава. Так-то я знала, что у него артроз, поэтому мы уже спортивными и близко к ним нагрузками не балуемся, но почему вдруг резко стало плохо? Вероятно, в моменте неудачно повер

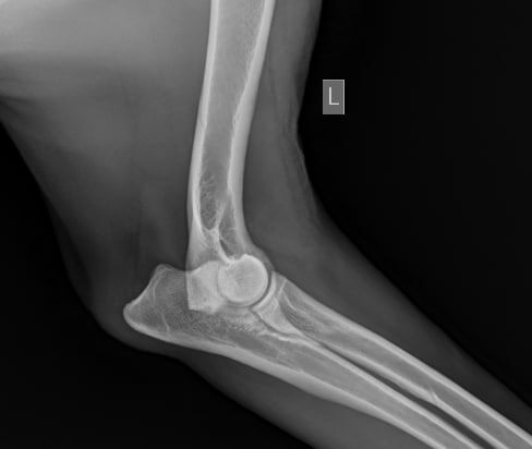
Вот так выглядит артроз локтевого сустава - правый сустав, левый сустав в порядке.

На прошлой неделе меня напугал мой собственный пес - подошел нюхать цветочки на четырех лапах, отошел уже на трех. Острой боли при пальпации не было, но наступать на лапу явно было больно. Доскакали домой на трех(.

1. Ограничение движений - не сделать бы хуже. Дополнительные движения при острой боли могут вызвать каскад нежелательных реакций организма и гиперсенсибилизацию, что потребует более сложного лечения.

2. Поехали ы Центр - сделали ЛАЗЕР и магнит в режиме обезболивания и противоотечном.

3. Записались к ортопеду. Честно, я уже готовилась к операции. Однако локоть - ничего там толком не сделать, ни замены сустава, ни артродез. Огромное спасибо Шустову А.С. принял нас в свой выходной день. DS: артроз правого локтевого сустава.

Так-то я знала, что у него артроз, поэтому мы уже спортивными и близко к ним нагрузками не балуемся, но почему вдруг резко стало плохо? Вероятно, в моменте неудачно повернул лапу.

4. На 5 дней НПВС (нам хватило трех) и обязательно, не откладывая, физиотерапия для снятия вот того самого каскада нежелательных реакций.

5. Сегодня хромота проявляется в конце прогулки, вернее прогулка заканчивается, когда я вижу начинающуюся хромоту.

Исправить и вылечить артроз невозможно. Но можно создать условия, в которых собака не будет испытывать боль или постараться ее минимизировать. Как у людей во ВАШ (аналоговая шкала боли), стараемся снизить боль с 10 баллов (невыносимая боль) до 3 (переносимая, не мешающая жить). Артроз это примерно от 6-7 баллов. Больно...

Что будем делать?

- Уберем ударные нагрузки - прыжки, резкие, рывковые движения.

- Сменим лежанку на более ортопедическую (хотя что может быть более удобном, чем рядом с мамой на ее ортопедическом матрасе 😉).

- Не допускать увеличения веса.

- Профилактические курсы физиотерапии.

- Профилактические массажи. Так как боль все равно есть, пусть незначительная, но есть, не может не быть (даже если собака терпеливая, даже если это малинуа), есть перегруженные мышцы, есть триггерные точки - вот с ними нужно работать, чтобы также не пришлось потом их лечить.

- Занятия на водной беговой дорожке, пожалуй, будет лучшим выбором для Уно для поддержания физической формы.

- Прогулки сначала сократим, затем будем смотреть по состоянию.

- Ну и ментальная нагрузка должна быть.

-2