Добавить в корзинуПозвонить
Найти в Дзене

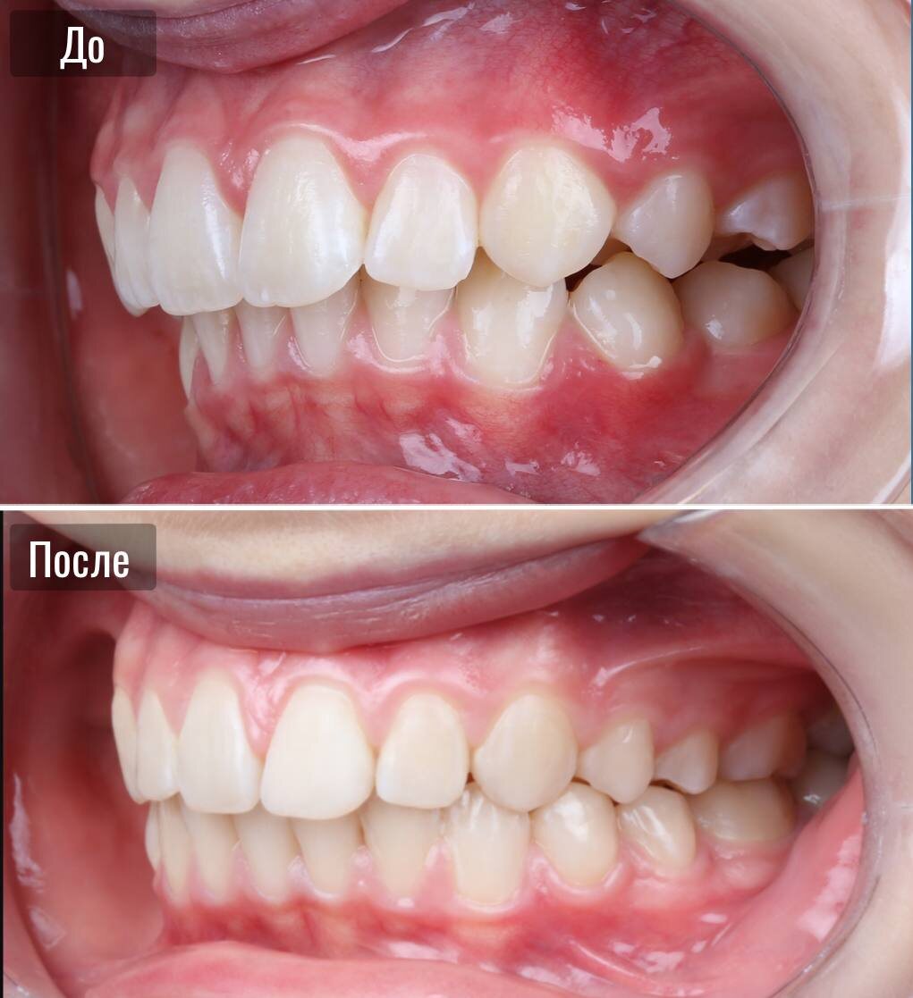
Ортодонтическое лечение дистального прикуса. Кейс внутри

Мы рады поделиться с вами успешной трансформацией нашей пациентки.  Из маленькой девочки она превратилась в прекрасную девушку с нашей небольшой помощью. Задача: у пациентки был дистальный прикус, а также сложности с прорезыванием постоянных зубов.  Молочная пятёрка не сменялась, и для прорезывания семёрки не хватало места.  При нарушении физиологической смены зубов это могло привести к анкилозу постоянного зуба. Анкилоз - это стоматологическое заболевание, при котором зуб сращивается с костной тканью.  Лечение: Первым этапом мы провели расширение верхней челюсти с помощью аппарата Марко Роса. Затем пациентка носила эластопозиционер. Эластопозиционер  - это резиновая каппа сразу для двух челюстей, которая позволяет гармонизировать рост верхней и нижней челюсти, а также правильно сопоставит их между собой. Данный аппарат носят ежедневно по 12-14 часов.  Как правило легче надевать аппарат на ночь.  А днем можно использовать правило 8х15 - надевать аппарат 8 раз в день и носить

Мы рады поделиться с вами успешной трансформацией нашей пациентки. 

Из маленькой девочки она превратилась в прекрасную девушку с нашей небольшой помощью.

Задача: у пациентки был дистальный прикус, а также сложности с прорезыванием постоянных зубов. 

-2

Молочная пятёрка не сменялась, и для прорезывания семёрки не хватало места. 

При нарушении физиологической смены зубов это могло привести к анкилозу постоянного зуба.

-3

Анкилоз - это стоматологическое заболевание, при котором зуб сращивается с костной тканью. 

Лечение:

Первым этапом мы провели расширение верхней челюсти с помощью аппарата Марко Роса.

Затем пациентка носила эластопозиционер.

Эластопозиционер

 - это резиновая каппа сразу для двух челюстей, которая позволяет гармонизировать рост верхней и нижней челюсти, а также правильно сопоставит их между собой.

Данный аппарат носят ежедневно по 12-14 часов. 

Как правило легче надевать аппарат на ночь. 

А днем можно использовать правило 8х15 - надевать аппарат 8 раз в день и носить по 15 минут. 

Вторым этапом мы начали ортодонтическое лечение на брекет-системе для достижения максимальной эстетики улыбки.

Результат: за 2 года мы создали красивую и функциональную улыбку. 

Все зубы встали на свои места.

-4

Важно отметить, что на всех этапах лечения пациентка и её родители соблюдали рекомендации: носили эластическую тягу, соблюдали ношение эластопозиционера и регулярно посещали приёмы.

-5

Мы гордимся нашей работой и благодарим пациентку за доверие!