Найти в Дзене

Корневая пшеничная нематода и чем проводить обработки

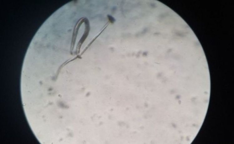
Об этом рассказывают специалисты филиала Россельхозцентра по Ульяновской области. Пшеничная нематода (лат. Anguina tritici) представляет собой опасного паразита злаковых культур, наносящего значительный вред сельскому хозяйству. Этот микроскопический круглые червь поражает такие растения, как пшеница, ячмень, рожь и другие злаки, вызывая образование галлов и деформацию растений. Благодаря высокой плодовитости и способности выживать в неблагоприятных условиях, пшеничная нематода становится устойчивым и сложно контролируемым вредителем. Взрослые особи пшеничной нематоды определяются на спирально изогнутыму телу, обращенному на вентральную сторонеу Длина самки составляет от 3 до 5,2 мм, а самца — от 0,9 до 2,5 мм. Пшеничные нематоды имеют высокую скорость размножения, что связано с определёнными условиями: влажность почвы должна составлять 40-60%, а температура воздуха - от +18 до +24°С. У молодых растений пшеницы, заражённых нематодами, наблюдаются курчавость и волнистость краев листьев.
   Фото: Филиал Россельхозцентра по Ульяновской области
Фото: Филиал Россельхозцентра по Ульяновской области

Об этом рассказывают специалисты филиала Россельхозцентра по Ульяновской области.

Пшеничная нематода (лат. Anguina tritici) представляет собой опасного паразита злаковых культур, наносящего значительный вред сельскому хозяйству. Этот микроскопический круглые червь поражает такие растения, как пшеница, ячмень, рожь и другие злаки, вызывая образование галлов и деформацию растений. Благодаря высокой плодовитости и способности выживать в неблагоприятных условиях, пшеничная нематода становится устойчивым и сложно контролируемым вредителем.

Взрослые особи пшеничной нематоды определяются на спирально изогнутыму телу, обращенному на вентральную сторонеу Длина самки составляет от 3 до 5,2 мм, а самца — от 0,9 до 2,5 мм.

Пшеничные нематоды имеют высокую скорость размножения, что связано с определёнными условиями: влажность почвы должна составлять 40-60%, а температура воздуха - от +18 до +24°С.

У молодых растений пшеницы, заражённых нематодами, наблюдаются курчавость и волнистость краев листьев. Поражённые растения отстают в развитии, у них также можно заметить скручивание листовых пластинок и укороченные междоузлия. При этом утолщение основания побега не происходит.

Чтобы защитить урожай злаковых от вреда пшеничной нематоды, важно соблюдать правильный севооборот, особенно избегая посева пшеницы на пшеницу. Эффективным способом предотвращения появления и распространения пшеничной нематоды является использование здоровых семян для посева. Рекомендуется также обработать семена горячей водой после их предварительного замачивания.

На сегодняшний день не существуют химических препаратов для борьбы с пшеничной нематодой. Однако инсектициды на основе фосфорорганических соединений и неоникотиноидов, зарегистрированные для использования на злаковых культурах, демонстрируют свою эффективность.

Источник: Россельхозцентр.

Оригинал статьи на AgroXXI.ru

Интересна тема? Подпишитесь на наши новости в ДЗЕН | Канал в Telegram | Группа Вконтакте | Дзен.новости.