Найти в Дзене

Анафилактический шок, как угроза и препятствие при стоматологическом лечении у детей

Бывают такие клинические ситуации, когда анестезию пациенту сделать не представляется возможным по ряду причин. Как, например, в нашем сегодняшнем клиническом случае. Наш пациент, юноша 13-ти лет, у которого в анамнезе есть патологии сердца, по этой причине нет возможности лечения с местной анестезией, так как есть риск анафилактического шока. Именно по этой причине мы провели комплексное лечение в рамках полной санации полости рта в условиях общей анестезии или наркоза. Анафилактический шок – это крайне тяжелая, жизнеугрожающая аллергическая реакция организма, которая развивается быстро и требует немедленной медицинской помощи. Возникает она из-за гиперчувствительности к определенным веществам (аллергенам), которые вызывают резкий выброс гистамина и других медиаторов воспаления. В данном случае аллергенов являлась анестезия, которая применяется в стоматологии. За несколько часов мы провели полную терапевтическую санацию полости рта, включая эндодонтическое лечение корневых каналов и

Бывают такие клинические ситуации, когда анестезию пациенту сделать не представляется возможным по ряду причин. Как, например, в нашем сегодняшнем клиническом случае.

Наш пациент, юноша 13-ти лет, у которого в анамнезе есть патологии сердца, по этой причине нет возможности лечения с местной анестезией, так как есть риск анафилактического шока.

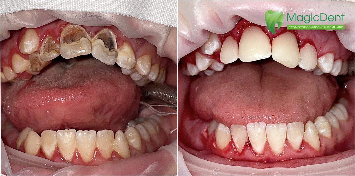
Результаты лечения зубов у детей под наркозорм
Результаты лечения зубов у детей под наркозорм

Именно по этой причине мы провели комплексное лечение в рамках полной санации полости рта в условиях общей анестезии или наркоза.

ДО И ПОСЛЕ лечения под наркозом
ДО И ПОСЛЕ лечения под наркозом
Операционный блок клиники MAGIC DENT г. Сочи
Операционный блок клиники MAGIC DENT г. Сочи

Анафилактический шок – это крайне тяжелая, жизнеугрожающая аллергическая реакция организма, которая развивается быстро и требует немедленной медицинской помощи. Возникает она из-за гиперчувствительности к определенным веществам (аллергенам), которые вызывают резкий выброс гистамина и других медиаторов воспаления. В данном случае аллергенов являлась анестезия, которая применяется в стоматологии.

Процесс лечения фронтальной группы постояннйх зубов у пациента 13-ти лет под наркозом
Процесс лечения фронтальной группы постояннйх зубов у пациента 13-ти лет под наркозом
Детальный фото эпизодов лечения
Детальный фото эпизодов лечения
Лечение жевательной группы зубов под наркозом у подростка
Лечение жевательной группы зубов под наркозом у подростка
Клиника MAGIC DENT горд Соочи (центральный район)
Клиника MAGIC DENT горд Соочи (центральный район)

За несколько часов мы провели полную терапевтическую санацию полости рта, включая эндодонтическое лечение корневых каналов и реставрацию фронтальной группы зубов, а также жевательной группы зубов.

Для нас нет невыполнимых задач!
Для нас нет невыполнимых задач!

Врачи:

детский стоматолог, стоматолог-терапевт, эндодонт - Хазарян К.Э.;

анестезиолог-реаниматолог - Замятин С.И.

-10
-11

МЫ БУДЕМ РАДЫ ВИДЕТЬ ВАС В НАШИХ КЛИНИКАХ!

КУоманда врачей MAGIC DENT г. Сочи
КУоманда врачей MAGIC DENT г. Сочи
Операционная клиники MAGIC DENT
Операционная клиники MAGIC DENT

📍MAGIC DENT

354000 Краснодарский край, г. Сочи

8-804-700-15-15 (звонок бесплатный)

-ул. Юных Ленинцев, д. 10, 2 этаж

📞тел. +7-918-165-15-15

magicdent.sochi@mail.ru

-ул. Пластунская, д. 123А, корп.2, ЖК «123»

📞тел. +7-988-165-15-15

magicdent123@mail.ru

https://mdsochi.ru