Найти в Дзене
Parodoctor

Инструкция по замене съёмных протезов на протезы на имплантатах. "All-on-6" 2 челюсти - от особенностей диагностики до коротких зубных рядов

Почему-то многие думают, что съёмный протез - финишная точка любой зубной эпопеи, даже если с имплантацией не сложится. "Не приживутся - съёмник надену и делов". "Выпадут свои окончательно - сделаю съёмный протез и забуду о печалях". И да, для кого-то этот вариант сработает. Сразу скажу, для кого - для "толстокостных", то есть, у кого объём альвеолярной кости даже после потери зубов весьма приличный. Таких счастливчиков не сказать, что много в популяции. Всё какой-то народ тщедушненький в плане толщины костей. Генетика-с, её палкой не перебьешь и пить БАДы смысла нет, не нарастёт заветный объём. Как имплантатам, так и съёмным протезам нужна кость для удержания. Имплантаты в неё вкручиваются, съёмный обхватывает снаружи. Не будет кости, некуда будет вкручивать "болты" титановые (ну или интересные варианты выбирать придётся - нос, скула). На плоской площадке не будет держаться протез съёмный, ему нужна ретенция, нужны выступы, за которые можно "ухватиться". Поэтому, если человеку комфо
Оглавление

Почему-то многие думают, что съёмный протез - финишная точка любой зубной эпопеи, даже если с имплантацией не сложится.

"Не приживутся - съёмник надену и делов".
"Выпадут свои окончательно - сделаю съёмный протез и забуду о печалях".

И да, для кого-то этот вариант сработает. Сразу скажу, для кого - для "толстокостных", то есть, у кого объём альвеолярной кости даже после потери зубов весьма приличный. Таких счастливчиков не сказать, что много в популяции. Всё какой-то народ тщедушненький в плане толщины костей. Генетика-с, её палкой не перебьешь и пить БАДы смысла нет, не нарастёт заветный объём.

Как имплантатам, так и съёмным протезам нужна кость для удержания. Имплантаты в неё вкручиваются, съёмный обхватывает снаружи. Не будет кости, некуда будет вкручивать "болты" титановые (ну или интересные варианты выбирать придётся - нос, скула). На плоской площадке не будет держаться протез съёмный, ему нужна ретенция, нужны выступы, за которые можно "ухватиться".

Поэтому, если человеку комфортно со съёмным протезом - это замечательно. Вот и нашей пациентке (+/- 70 лет человеку) тоже было комфортно жить с такими конструкциями на обеих челюстях:

Съёмные протезы, считаю, что симпатичные
Съёмные протезы, считаю, что симпатичные

До поры до времени.

В какой-то момент стало её раздражать, что норовили протезы убежать изо рта, не хотели плотно прикрепляться к челюстям. Приём пищи, разговоры - всё стало тяготить, ничего не радовало.

Что делать? Если есть финансовая, физическая и костная возможности, то решаться на условно-съёмное протезирование - протез на имплантатах. И вот об этом событии и будет сегодняшняя статья.

Замена съёмных протезов на протезы на имплантатах - "All-on-6", цифровой протокол

Подготовка, диагностика

Сначала оцениваем анамнез и наличие хронических заболеваний, приём препаратов (не берем пациентов с системными аутоиммунными заболеваниями, не станем оперировать принимающих бисфосфонаты, к примеру и т.д.). Тут всё ок. Если по остальным параметрам пазлы сложатся, то попросим принести некоторые допуски и анализы, пройти диспансеризацию.

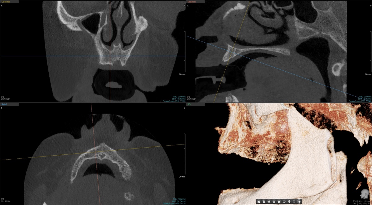
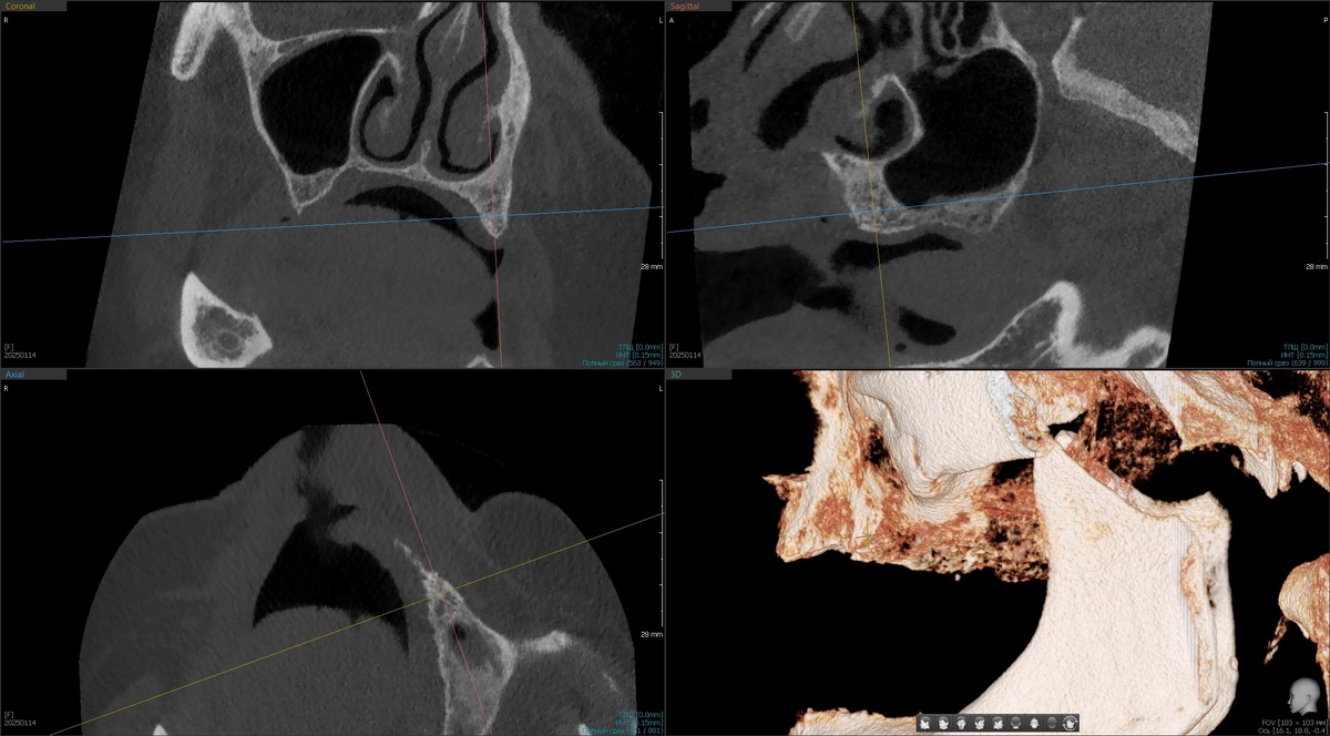
Дале оценка КЛКТ - есть ли место для имплантатов. На этом этапе, увы, с некоторыми пациентами приходится расставаться. Рассмотрим именно верхнюю челюсть, потому что с нижней проблем почти не бывает. Листайте:

Кости не очень много, но она есть и у доктора имеются интересные варианты для реабилитации.

Составляем примерный финансовый план и, если человек согласен, приступаем к основной, углублённой проработке клинического случая. В подготовке к такой работе имеются свои тонкости, которые весьма важно учитывать.

  • Первая - комфортен ли по прикусу протез, хотелось бы пациенту изменить именно прикус или же он готов оставить его прежним, зафиксировать и перенести на новую работу.

В данном случае был самый простой и классный вариант - всё устраивает, нужен перенос и фиксация такого же варианта прикуса. Для этого забираем у пациентки протезы, изготавливаем рентгеноконтрастные маячки и прикрепляем их к протезам. Сканируем обе конструкции:

Далее делаем КЛКТ с установленными в полость рта протезами и маячками:

Рентгеноконтрастные маячки, визуализация КЛКТ
Рентгеноконтрастные маячки, визуализация КЛКТ

Всё, доктор с техником-цифровиком отправляются на обдумывание и проработку операции.

Операция на верхней челюсти - "Всё на 4" + 2 птеригоидных имплантата

Посмотрим на челюсти до вмешательства:

Беззубые челюсти
Беззубые челюсти

А теперь оценим контуры верхней челюсти, которой и планируется заняться в первую очередь:

Верхняя челюсть
Верхняя челюсть

Кость точно есть, её количество и качество годятся для тотальной имплантации.

Установка даже единичных имплантатов в клинике ведётся ТОЛЬКО в цифровом протоколе с изготовлением хирургических шаблонов. Мы видим в этом смысл для безопасности как собственной, так и пациента.

Одна сменная часть "матрёшки" шаблонов для тотальной имплантологической операции:

Часть хирургического шаблона, крепится к челюсти острыми пинами
Часть хирургического шаблона, крепится к челюсти острыми пинами

Аппарат КЛКТ в клинике имеется, сразу после установки имплантатов делаем снимок и хирург видит, нужно ли что-нибудь докрутить. Покажу КТ сразу со спойлером - тут и нижняя челюсть выполнена, хотя её оперировали лишь на следующий день (просто я открыла финишный снимок и не заморачивалась):

Можно заметить, что "обычные" имплантаты поставлены по протоколу "Всё на 4", но имеется особенность - постановка фронтальных имплантатов не в позиции 1.2 и 2.2, а ближе друг к другу, в позиции 1.1 и 2.1. Кость так распорядилась.

Птеригоидные имплантаты позволили обойтись без синус-лифтингов и после их приживления пациентка получит полноценный постоянный протез с 14 зубами. Временным протезом не нагружаем птеригоиды в этот раз.

Операция на нижней челюсти - "Всё на 6"

Фото до вмешательства:

Нижняя челюсть
Нижняя челюсть

Тонкий гребень, но кости достаточно для работы. Имплантаты установлены:

Опять де, постановка 4 фронтальных имплантатов похожа на постановку при "Всё на 4", имплантаты длинные и под углом расставлены. А всё почему? Да из-за костных особенностей. Замыкающие (дистальные) имплантаты короткие из-за близости канала нижнечелюстного нерва. Но этого будет достаточно для удержания полноценных протезов (спасибо 4 длинным имплантатам, которые на себя берут основной пул нагрузки).

Сдача работы - временные адаптационные протезы

Временные адаптационные протезы
Временные адаптационные протезы

Важное замечание - птеригоидные имплантаты на верхней челюсти и дистальные короткие имплантаты на челюсти нижней оставили без нагрузки! Пусть приживутся так.

Временные протезы с титановой балкой, такая конструкция надёжна и сюрпризов с переломами на самом важном этапе приживления не произойдёт, балка останется целой.

Титановые балки временных адаптационных протезов
Титановые балки временных адаптационных протезов

А вот так смотрятся протезы со стороны рта:

Сверху верхняя челюсть, снизу - нижняя
Сверху верхняя челюсть, снизу - нижняя

А вот и счастливый обладатель протезов, которые больше не будут стремиься покинуть полость рта:

Временные адаптационные протезы "All-on-6"
Временные адаптационные протезы "All-on-6"

Цвет А1, пациентка сама попросила - будьте и вы смелее, если хочется яркости.

Протезы - не блажь и не прихоть. Всё это от безысходности
Протезы - не блажь и не прихоть. Всё это от безысходности

Напоминаю ещё разок - протезы ВРЕМЕННЫЕ адаптационные. Далее будут постоянные, но не очень скоро. Они будут тоньше, симпатичнее, изящнее. Временный вариант обязан быть крепким.

Конец эпизода, но продолжение следует.

Больше наших тотальных работ в подборке:

Тотальные работы на имплантатах. | Parodoctor | Дзен

Ответы на вопросы, чат с адекватным народом, больше интересных клинических случаев - в моём тг канале:

Parodoctor

С уважением, Лежачёва Наталия Александровна, хирург-пародонтолог и главный врач стоматологии Parodent, СПб.

Сдали постоянные протезы в декабре 2025: