Найти в Дзене

Диагностика в ортодонтии

Ни одно грамотное ортодонтическое лечение невозможно без комплексной диагностики. Основываясь на ее данных, мы ортодонты проводим анализ, учитываем нюансы и составляем план лечения. Что это за диагностические данные? Итак, модели получают в результате сканирования зубных рядов с помощью 3D – сканера для получения цифровых копий или снятия слепков с последующей отливкой гипсовых копий. Модели верхнего и нижнего зубных рядов нужны для анализа состояния прикуса, измерения ширины и длины зубных рядов, оценки симметрии. По особым формулам рассчитываются и правильные пропорции между размерами верхних и нижних зубов. Выявленное несоответствие между размерами зубов, возможно, вызовет необходимость в коррекции ширины последних Также модели необходимы для виртуального планирования лечения на элайнерах с помощью специализированного компьютерного приложения. Рентгенологические исследования могут быть в формате 2D: ортопантограмма и телерентгенограмма. Или, более информативное исследование, в фор

Ни одно грамотное ортодонтическое лечение невозможно без комплексной диагностики. Основываясь на ее данных, мы ортодонты проводим анализ, учитываем нюансы и составляем план лечения. Что это за диагностические данные?

К основным диагностическим процедурам относится:

  • Анализ моделей зубных рядов;
  • Рентгенологические методы исследования;
  • Фотопротокол;

Итак, модели получают в результате сканирования зубных рядов с помощью 3D – сканера для получения цифровых копий или снятия слепков с последующей отливкой гипсовых копий.

-2

Модели верхнего и нижнего зубных рядов нужны для анализа состояния прикуса, измерения ширины и длины зубных рядов, оценки симметрии.

По особым формулам рассчитываются и правильные пропорции между размерами верхних и нижних зубов. Выявленное несоответствие между размерами зубов, возможно, вызовет необходимость в коррекции ширины последних

Также модели необходимы для виртуального планирования лечения на элайнерах с помощью специализированного компьютерного приложения.

Моделирование лечения на элайнерах: зеленый цвет - исходное положение зубов, белый цвет- резульаь лечения
Моделирование лечения на элайнерах: зеленый цвет - исходное положение зубов, белый цвет- резульаь лечения

Рентгенологические исследования могут быть в формате 2D: ортопантограмма и телерентгенограмма. Или, более информативное исследование, в формате 3D - конусно-лучевая компьютерная томография. Рентгендиагностика позволяет врачу оценить:

- строение лицевого отдела черепа, правильность расположения в нем и между собой верхней и нижней челюстных костей.

- состояние височно-нижнечелюстного сустава;

- наклон и положение зубов;

- тканей пародонта и кости, проверить качество лечения корневых каналов.

- выявить сверхкомплектные (избыточные) зубы или адентию — недостаток комплектных зубов;

- определить особенности расположения зубов мудрости;

- оценить степень «созревания» еще не прорезавшихся зубов;

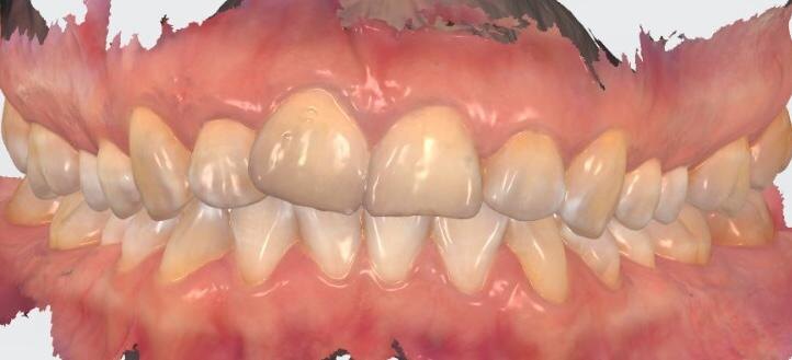
Фотопротокол

Мы ортодонты делаем фото пациентов не только вам на память, но и для прогнозирования коррекции внешности после брекетов. Исправленный прикус повлечет изменение объема губ, нижней трети лица — между основанием носа и нижней частью подбородка, сделает менее выраженными носогубные складки и пр. Пациент изначально должен знать, как может измениться его лицо после формирования эстетичной улыбки.

-5

Внутриротовые фото до и после брекетов (а также периодически выполняемые в процессе коррекции) позволяют анализировать и контролировать динамику перемещения зубов.

В некоторых случаях выявленные аномалии зубочелюстной системы вызывают необходимость провести дополнительные исследования:

  • МРТ височно-нижнечелюстного сустава, для более детального его изучения. В отличиие от КЛКТ позволяет более детально изучить мягкотканные элементы сустава. Лучевая нагрузка при проведении исследования отсутствует.
  • Кондилография - графический метод регистрации траекторий различных перемещений нижней челюсти в трёх взаимно перпендикулярных плоскостях. Используется для лечения дисфункции ВНЧС.

Если у вас остались вопросы, можете задавать их в комментариях, я обязательно на них отвечу.

А, если вы хотите пройти грамотное лечение с комфортом, то записывайтесь на бесплатную консультацию в мою уютную клинику «Студия Улыбки».