Найти в Дзене

Восхитительная цитоморфология двухфазного клеточного образования типа фиброэпителиальной опухоли, выявленного при ТАБ молочной железы

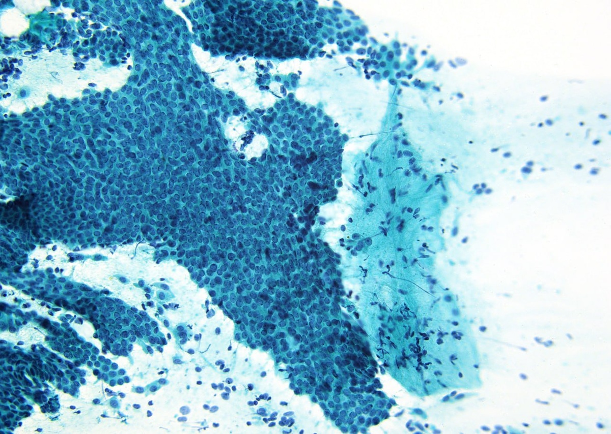
Восхитительная цитоморфология двухфазного клеточного образования типа фиброэпителиальной опухоли, выявленного при ТАБ молочной железы. Впоследствии гистологически подтверждена филлоидная опухоль. #цитология #молочнаяжелеза

Восхитительная цитоморфология двухфазного клеточного образования типа фиброэпителиальной опухоли, выявленного при ТАБ молочной железы.

Впоследствии гистологически подтверждена филлоидная опухоль.

#цитология #молочнаяжелеза