Найти в Дзене

Вредная ортодонтия: история пациента, которому "повезло"

В этой статье я хочу рассказать о так называемой вредной ортодонтии. Это будет цикл историй на примере пяти пациентов, обратившихся в нашу клинику. Хочется отметить, что приблизительно 30% наших пациентов — это случаи перелечивания после уже проведённого ортодонтического лечения. Это серьёзный процент. Ортодонтическое лечение должно быть только качественным. Объясню, почему. Ортодонтия, как правило, проводится не по жизненным показаниям. Это не операция на сердце и не лечение острых заболеваний. В большинстве случаев пациенты приходят, чтобы: Поскольку от ортодонтии не зависит жизнь, она должна быть направлена на реальное улучшение качества жизни, а значит — проводиться максимально хорошо. Расскажу про одного из пациентов. По иронии судьбы, этот человек был не просто пациентом — он так же является и сотрудником нашей клиники. Долгое время я наблюдал, как он регулярно куда-то ездит на лечение. Что-то происходит, но в полости рта — никаких видимых изменений. В какой-то момент я просто п
Оглавление

В этой статье я хочу рассказать о так называемой вредной ортодонтии. Это будет цикл историй на примере пяти пациентов, обратившихся в нашу клинику.

Хочется отметить, что приблизительно 30% наших пациентов — это случаи перелечивания после уже проведённого ортодонтического лечения. Это серьёзный процент.

Ортодонтическое лечение должно быть только качественным. Объясню, почему.

Почему ортодонтия должна быть безупречной?

Ортодонтия, как правило, проводится не по жизненным показаниям. Это не операция на сердце и не лечение острых заболеваний.

В большинстве случаев пациенты приходят, чтобы:

  • улучшить эстетику,
  • улучшить жевательную функцию.

Поскольку от ортодонтии не зависит жизнь, она должна быть направлена на реальное улучшение качества жизни, а значит — проводиться максимально хорошо.

История сотрудника, который стал пациентом

Расскажу про одного из пациентов. По иронии судьбы, этот человек был не просто пациентом — он так же является и сотрудником нашей клиники.

Долгое время я наблюдал, как он регулярно куда-то ездит на лечение. Что-то происходит, но в полости рта — никаких видимых изменений.

В какой-то момент я просто попросил его присесть в кресло, чтобы разобраться, в чём дело.

Что я увидел?

Картина оказалась следующей:

  • Передние зубы не касаются друг друга
  • Они выпирают вперёд
  • Никакого качественного ортодонтического лечения не проводилось
Расстояние между верхней и нижней челюстью
Расстояние между верхней и нижней челюстью

Что удивительно — пациента всё устраивало. Почему?

Потому что ему дали то, что большинство людей считает успехом: исправили скученность зубов. Зубы стояли криво — теперь ровно, но из-за этого их банально выперло вперёд.

Визуально ровные зубы
Визуально ровные зубы

Они потеряли контакт, и это визуально не было заметно спереди, но: в три четверти и при повороте головы становилось очевидно, что что-то не так.

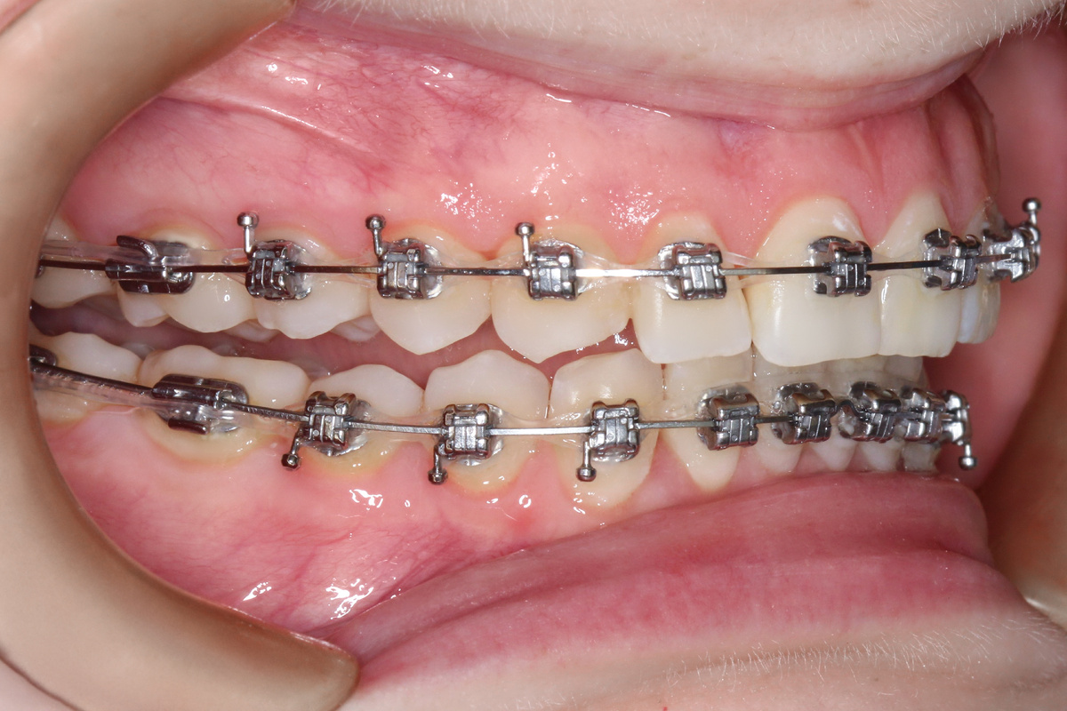
Зубы не смыкаются
Зубы не смыкаются

Неожиданное завершение лечения

Когда я спросил пациента, на каком этапе сейчас его лечение, он ответил, что через пару месяцев врач планирует снимать аппаратуру.

Это было крайне удивительно: никакого контакта между зубами, функциональность нарушена — а лечение почти завершено?

При этом пациент и не догадывался, что с его улыбкой и прикусом есть серьёзные проблемы.

Как мы спасли ситуацию

Я понял, что убеждать другого врача что-то менять бесполезно. Требовался полный пересмотр плана лечения.

Вот что мы сделали:

  • установили дополнительные якорные пластины на верхнюю челюсть,
  • затянули все верхние зубы назад,
  • восстановили контакт между верхними и нижними зубами,
  • устранили их выпирание.

На это ушло ещё примерно 8 месяцев лечения.

Якорные пластины с брекет системой
Якорные пластины с брекет системой
На этапе лечения
На этапе лечения

Чем всё закончилось?

Пациенту повезло — она работала у нас и оказалась в нужное время в нужном кресле.

Что мы получили в результате:

  • плотные контакты зубов между собой
  • правильный прикус
  • отличную эстетику
  • функциональность, которая не приведёт к рецидивам
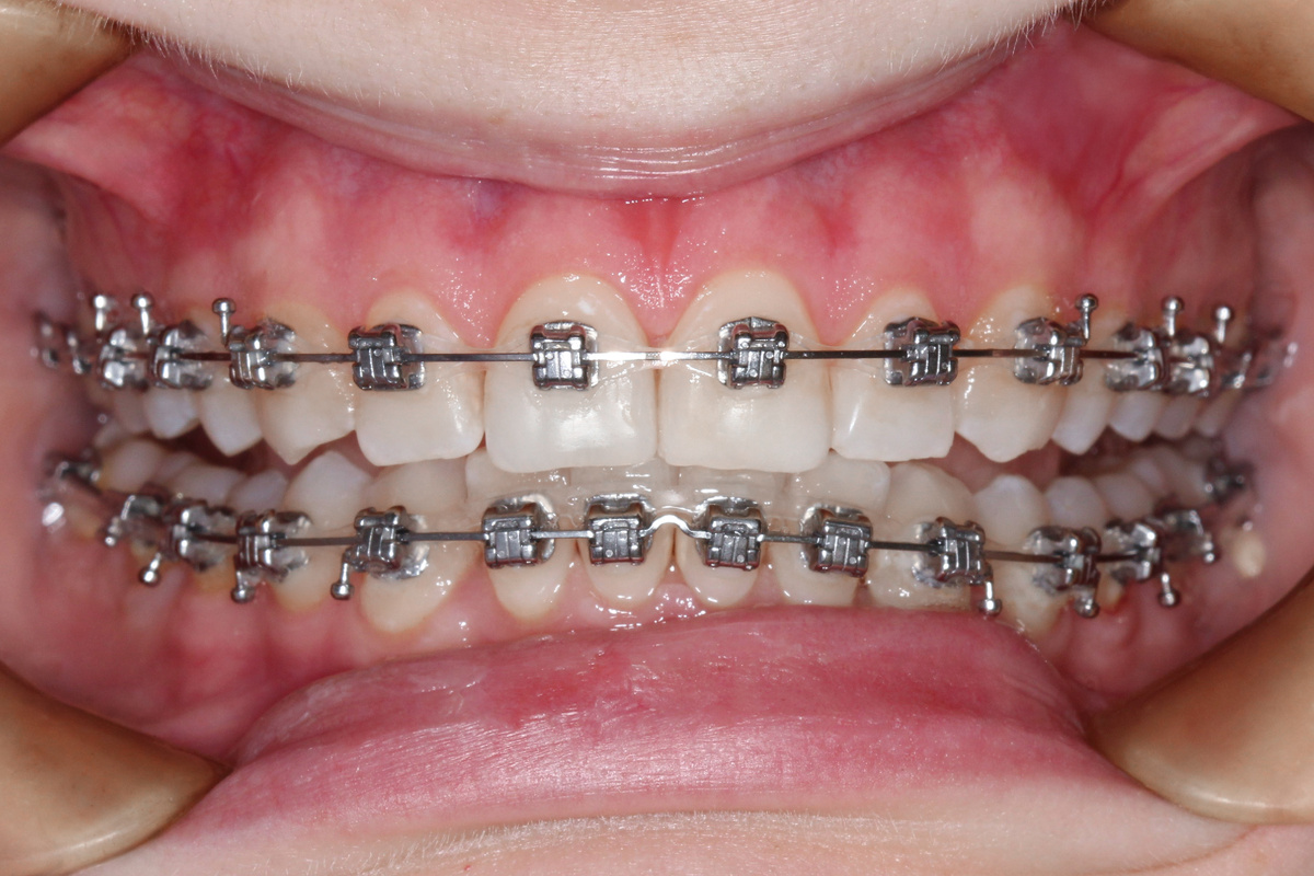
Итог после правильного лечения, вид спереди
Итог после правильного лечения, вид спереди

Итог после правильного лечения, вид сбоку
Итог после правильного лечения, вид сбоку

Итог после правильного лечения, вид снизу
Итог после правильного лечения, вид снизу

Более подробно узнать про историю данного пациента можно по ссылке на нашем сайте: https://markovstom.ru/clients/istoriya-viktorii

Вывод

Такое «поверхностное» лечение, где просто выпрямляются зубы, — быстрое, но некачественное.

Пациенты получают визуально ровную улыбку, но за ней скрываются:

  • нестабильность,
  • неправильный прикус,
  • риск повторного лечения в будущем.

📌 Ортодонтия должна быть не просто «красивой» — она должна быть грамотной и функциональной, иначе лечение — зря потраченное время, деньги и здоровье.