Добавить в корзинуПозвонить
Найти в Дзене

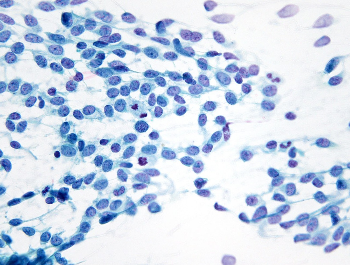
Синовиальная саркома в материалах ТАБ представлена скудной монотонной цитоморфологией

Синовиальная саркома в материалах ТАБ представлена скудной монотонной цитоморфологией. Высокая митотическая активность (как здесь) является отличной подсказкой. На практике для подтверждения прибегают, также, к ИГХ и FISH. Материал ТАБ образования в мягких тканях брюшной стенки. Объектив 100x. #синовий #цитология #саркома

Синовиальная саркома в материалах ТАБ представлена скудной монотонной цитоморфологией. Высокая митотическая активность (как здесь) является отличной подсказкой. На практике для подтверждения прибегают, также, к ИГХ и FISH.

Материал ТАБ образования в мягких тканях брюшной стенки. Объектив 100x.

#синовий #цитология #саркома