Добавить в корзинуПозвонить
Найти в Дзене
ВетМобиль

Кошки не птицы! Летать не умеют!

Скоро лето. Погода становится теплой и это хорошо. Однако, каждый год, с наступлением тёплой погоды вновь возникает серьёзная проблема – резко возрастает опасность падения кошек из окон и с балконов. Окна и двери на балкон летом часто бывают открыты настежь, а открытые и незащищенные специальной решеткой окна – это серьезный источник опасности для вас и вашего питомца. По статистике, в Москве порядка 15-25% всех травм кошек приходится именно на повреждения, полученные при выпадении из окна или с балкона. Вдумайтесь в такую цифру: Распространенное заблуждение: кошки всегда приземляются на 4 лапы и не получают повреждений при падении. Это неверно. Кошки действительно обладают рядом анатомических особенностей и при падении с высоты шансов выжить у кошки больше, чем у человека. Однако, несмотря, на умение хорошо группироваться и приземляться на лапы, падение с большой высоты даже для кошек чревато получением тяжелых повреждений, вплоть до летального исхода. При этом, наиболее опасной высот
Оглавление

Скоро лето. Погода становится теплой и это хорошо. Однако, каждый год, с наступлением тёплой погоды вновь возникает серьёзная проблема – резко возрастает опасность падения кошек из окон и с балконов. Окна и двери на балкон летом часто бывают открыты настежь, а открытые и незащищенные специальной решеткой окна – это серьезный источник опасности для вас и вашего питомца. По статистике, в Москве порядка 15-25% всех травм кошек приходится именно на повреждения, полученные при выпадении из окна или с балкона. Вдумайтесь в такую цифру:

Летом из окон и с балконов только в Москве падает НЕСКОЛЬКО ТЫСЯЧ котиков!

Кошки не птицы! Летать не умеют!
Кошки не птицы! Летать не умеют!

Распространенное заблуждение: кошки всегда приземляются на 4 лапы и не получают повреждений при падении. Это неверно. Кошки действительно обладают рядом анатомических особенностей и при падении с высоты шансов выжить у кошки больше, чем у человека. Однако, несмотря, на умение хорошо группироваться и приземляться на лапы, падение с большой высоты даже для кошек чревато получением тяжелых повреждений, вплоть до летального исхода. При этом, наиболее опасной высотой для падения считаются 3-5 этажи. Объясняется это тем, что при падении с 3-5 этажей кошка успевает набрать высокую скорость, но относительно короткое   время падения часто не позволяет ей полностью сгруппироваться. Как ни странно, но у кошек, упавших с 7-9 этажа шансов на благополучный исход больше. Этажи   выше девятого снова становятся потенциально более опасными, так как в этом случае скорость падения и сила удара становятся столь высокими, что даже идеальная группировка тела уже не позволяет избежать серьезных травм. Можно, конечно, привести примеры, когда все кончалось благополучно. Сами знаем кошку, которая дважды падала с 8 этажа (то есть, примерно с 25 метров) и все обошлось без особых последствий. Но это, скорее, исключение, а не общее правило.

Перелом позвоночника, полученный при падении с большой высоты
Перелом позвоночника, полученный при падении с большой высоты

Наиболее частыми повреждениями при падении с большой высоты являются различные переломы. К наиболее серьёзным последствиям ведут переломы позвоночника, в результате которого у кошки возникают парезы или полный паралич тазовых конечностей.

Переломы конечностей, в области предплечья и дистальной части бедра также случаются достаточно часто. Нередко страдают ветви нижней челюсти. При ударе о землю у кошек может образоваться и травматическое расщепление твёрдого нёба.

Кроме того, падение кошки с высоты может закончится в лучшем случае ушибами, в худшем разрывом внутренних органов. Например, к быстрой гибели животного может привести развитие мочевого перитонита и отравление продуктами азотистого обмена. Это возникает в случае разрыва мочевого пузыря кошки при неудачном приземлении и жёстком ударе. Серьезную опасность представляют и травмы других органов брюшной полости: печени, почек или селезёнки. Падение кошки может закончиться и пневмотораксом. При этом нарушаются функции лёгких, нарастает нагрузка на сердце. Возникает кислородное удушье и есть прямая угроза гибели кошки.

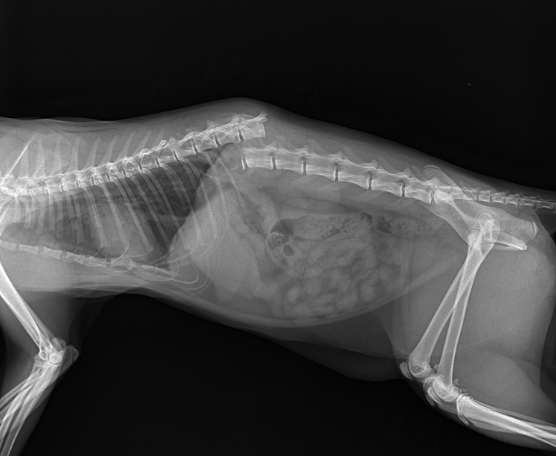
Пневмоторакс у кошки после падения
Пневмоторакс у кошки после падения

Первая помощь

  • Если кошка в тяжелом состоянии необходимо немедленно доставить ее в ветеринарную клинику соблюдая все меры предосторожности и не допуская лишних движений.  Для этого животное аккуратно помещают на твердую поверхность (коробка из плотного картона, кусок фанеры и т.д.) и аккуратно переносят в транспортное средство. В случае потери сознания кошку можно привести в чувство слегка встряхивая или тормоша ее.
  • При интенсивном наружном кровотечении рану необходимо обработать дезинфицирующим средством, закрыть тампоном из бинта или чистой ткани и наложить повязку. Не следует оказывать на рану сильного давления. При обильных артериальных кровотечениях, допускается наложение жгута допускается, но не более, чем на 30-60 минут.
  • В случае заметного перелома конечностей, если позволяет общее состояние кошки лучше всего положить временную шину, в качестве которой можно использовать длинные и узкие куски жесткого картона, линейки, небольшие досочки и т.д. Предметы, используемые в качестве шин, оборачивают слоем ваты. Шину необходимо накладывать таким образом, чтобы жестко зафиксировать суставы выше и ниже места перелома.
  • Не следует пытаться самостоятельно вправлять вывихи. Не имея опыта, вы только ухудшите ситуацию. Не следует также пытаться накормить или напоить животное.
-4

Важно иметь в виду, что неспециалист при визуальном осмотре животного, далеко не   всегда может сразу заменить травмы и повреждения, тем более повреждения внутренних органов. Поэтому, даже если вы не заметили серьезных внешних повреждений у питомца, после падения, его необходимо срочно доставить в ветеринарную клинику, где смогут провести детальное обследование его здоровья. Помните, что время в данном случае – это один из важнейших факторов!

Берегите себя и своих любимцев!