Найти в Дзене

Стоматологическая загадка-кейс

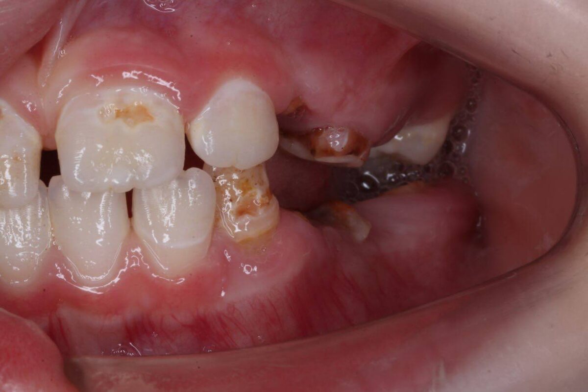
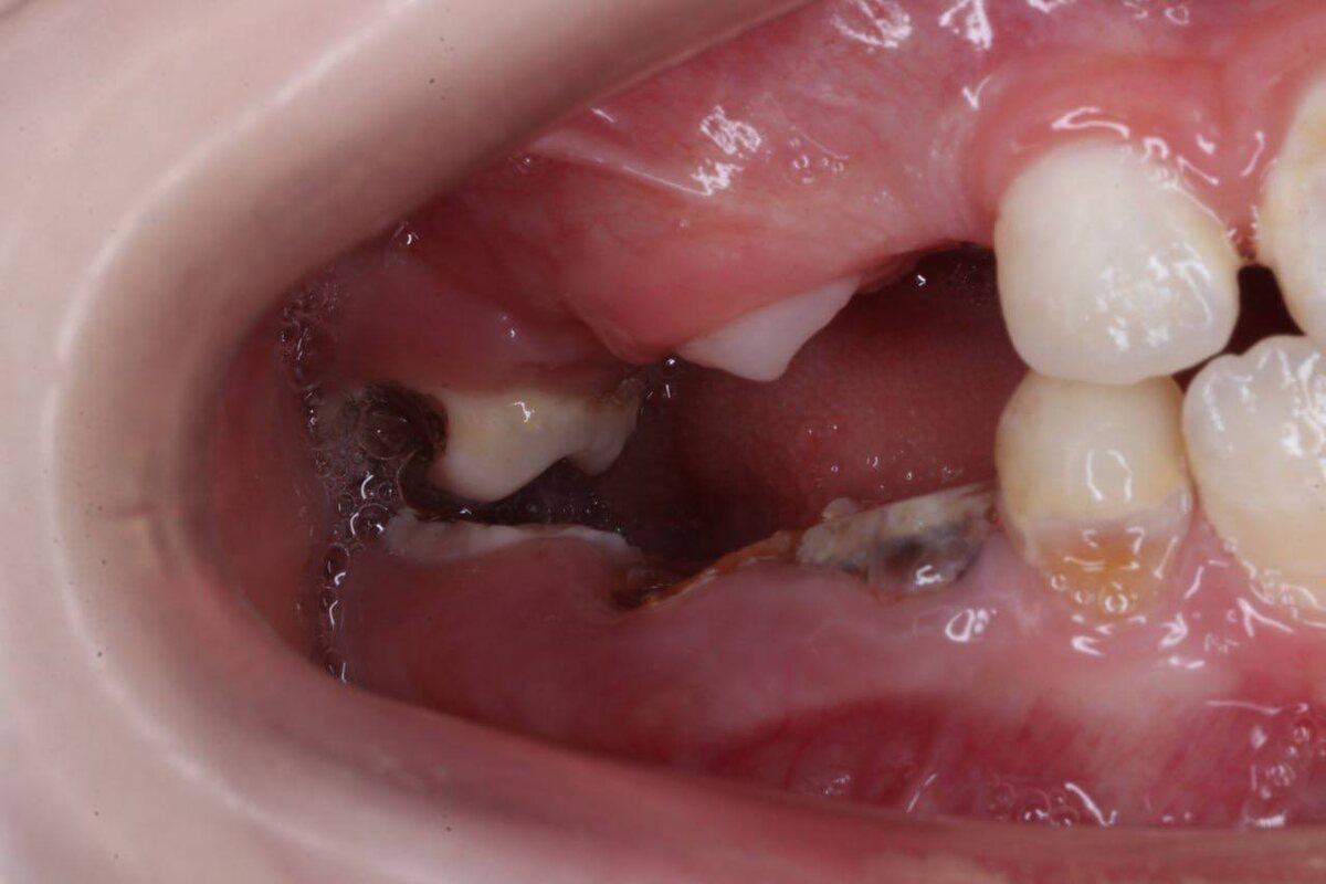
Девочка, 6 лет, негативный опыт, ранее — лечение в наркозе.

Более месяца болит щека слева, несколько клиник рекомендуют удаление 36 и 46 зуба, санация в условиях наркоза.

Родители переживают, не знают что выбрать и делать.

Страхи родителей:

- наркоз вредно,

- закись азота, кислородная седация — могут повлиять негативно на организм,

- все доктора предлагают лежать долго — при лечении постоянного зуба около 2 часов, возможно, ребенок не готов к такому длительному лечению

- чем ребенку жевать, если сейчас удалим зубы, может сохраним?

Что делать в такой ситуации, коллеги? Давайте обсудим в комментариях ↘️