Найти в Дзене
Doingmewing

ПОЧЕМУ ОПАСНО РЕГИСТРИРОВАТЬ ПРИКУС ЛЁЖА. Часть 2

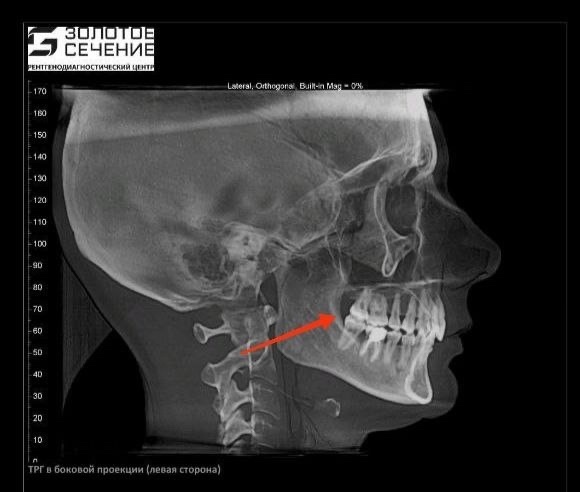
Посмотрите карусель - очень наглядно. И кто-то еще сомневается, что в горизонтальном и вертикальном положении контакты зубов будут отличаться? В чате курса девушка прислала снимки КТ стоя и МРТ лежа. Специалист сразу задала вопрос, что произошло, оказалось, просто положение тела разное. К вопросу о том, почему нельзя регистрировать прикус лежа в кресле стоматолога, изготавливая в итоге под лежачее положение пломбы, коронки и прочие приблуды. Кто ничего не понял - читаем пост) 👌 И еще тут хорошее видео: Это как и с зубами: лечить или сделать слепки удобнее, конечно, лежа - положение не имеет значения. Но именно для понимания истинной картины того, как челюсти и зубы стоят относительно друг-друга, требуется вертикальное положение.

Посмотрите карусель - очень наглядно.

И кто-то еще сомневается, что в горизонтальном и вертикальном положении контакты зубов будут отличаться?

В чате курса девушка прислала снимки КТ стоя и МРТ лежа. Специалист сразу задала вопрос, что произошло, оказалось, просто положение тела разное.

К вопросу о том, почему нельзя регистрировать прикус лежа в кресле стоматолога, изготавливая в итоге под лежачее положение пломбы, коронки и прочие приблуды.

Кто ничего не понял - читаем пост) 👌

ГАРМОНИЗАЦИЯ_Анна Ахметшина

И еще тут хорошее видео:

ГАРМОНИЗАЦИЯ_Анна Ахметшина

Это как и с зубами: лечить или сделать слепки удобнее, конечно, лежа - положение не имеет значения. Но именно для понимания истинной картины того, как челюсти и зубы стоят относительно друг-друга, требуется вертикальное положение.