Найти в Дзене
NEWS.ru

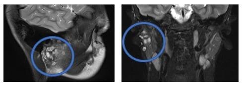
10-сантиметровую опухоль слюнной железы удалили 12-летнему мальчику врачи Центра Рошаля

10-сантиметровую опухоль слюнной железы удалили 12-летнему мальчику врачи Центра Рошаля. Двухчасовая операция была сложной из-за того, что ребёнку уже производили подобное вмешательство раньше. На этом же месте образовались новые опухолевые узлы. «Главная сложность заключалась в том, чтобы аккуратно выделить и отделить ветви лицевого нерва, проходящие через эту область», — рассказал челюстно-лицевой хирург. После операции у мальчика сохранились все двигательные функции лица, и его выписали из больницы. Подписаться | Прислать новость | Буст

10-сантиметровую опухоль слюнной железы удалили 12-летнему мальчику врачи Центра Рошаля.

Двухчасовая операция была сложной из-за того, что ребёнку уже производили подобное вмешательство раньше. На этом же месте образовались новые опухолевые узлы.

«Главная сложность заключалась в том, чтобы аккуратно выделить и отделить ветви лицевого нерва, проходящие через эту область», — рассказал челюстно-лицевой хирург.

После операции у мальчика сохранились все двигательные функции лица, и его выписали из больницы.

Подписаться | Прислать новость | Буст

-2
-3