Добавить в корзинуПозвонить
Найти в Дзене
Мedical Insider

КТ-колонография против анализа ДНК кала: какой метод эффективнее для диагностики рака кишечника?

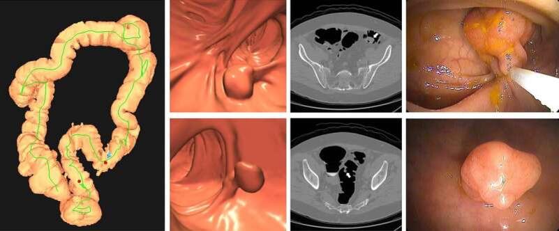
Согласно новому исследованию, опубликованному в журнале «Radiology», КТ-колонография (виртуальная колоноскопия) оказалась более эффективной и экономически выгодной для скрининга колоректального рака по сравнению с анализом ДНК кала (mt-sDNA). Колоректальный рак — вторая по частоте причина смерти от онкологических заболеваний в мире. Раннее выявление предраковых полипов позволяет предотвратить развитие опухоли и снизить затраты на лечение. Ученые из Университета Висконсина (University of Wisconsin) под руководством Перри Дж. Пикхардта (Perry J. Pickhardt) провели сравнительный анализ двух методов скрининга: Исследование основывалось на математической модели Маркова, которая имитировала развитие колоректального рака у 10 000 пациентов в возрасте от 45 до 75 лет. Для оценки стоимости использовался показатель QALY (год жизни с поправкой на качество): Наилучшие результаты показала комбинированная стратегия: Перри Дж. Пикхардт (Perry J. Pickhardt):
«КТ-колонография не только лучше выявляет
Оглавление

Согласно новому исследованию, опубликованному в журнале «Radiology», КТ-колонография (виртуальная колоноскопия) оказалась более эффективной и экономически выгодной для скрининга колоректального рака по сравнению с анализом ДНК кала (mt-sDNA).

Колоректальный рак — вторая по частоте причина смерти от онкологических заболеваний в мире. Раннее выявление предраковых полипов позволяет предотвратить развитие опухоли и снизить затраты на лечение.

Методы исследования

Ученые из Университета Висконсина (University of Wisconsin) под руководством Перри Дж. Пикхардта (Perry J. Pickhardt) провели сравнительный анализ двух методов скрининга:

  • КТ-колонография — визуализация толстой кишки с помощью компьютерной томографии.
  • Анализ ДНК кала (mt-sDNA) — выявление биомаркеров рака в образцах стула.

Исследование основывалось на математической модели Маркова, которая имитировала развитие колоректального рака у 10 000 пациентов в возрасте от 45 до 75 лет.

Результаты

1. Эффективность в предотвращении рака

  • КТ-колонография снижала риск развития рака на 70–75%.
  • Анализ ДНК кала — только на 59%.

2. Экономическая выгода

Для оценки стоимости использовался показатель QALY (год жизни с поправкой на качество):

  • Анализ ДНК кала оказался экономически оправданным ($9 000 за QALY).
  • КТ-колонография не только эффективнее, но и дешевле в долгосрочной перспективе.

3. Гибридный подход

Наилучшие результаты показала комбинированная стратегия:

  • КТ-колонография каждые 3 года для небольших полипов (6–9 мм).
  • Колоноскопия — только при обнаружении крупных образований (≥10 мм).
Перри Дж. Пикхардт (Perry J. Pickhardt):
«КТ-колонография не только лучше выявляет рак, но и экономит средства. Кроме того, она позволяет оценить состояние других органов — например, выявить остеопороз или сердечно-сосудистые заболевания.»

Заключение

Хотя колоноскопия остается «золотым стандартом» диагностики, КТ-колонографияболее безопасный, доступный и экономичный метод для массового скрининга.

Анализ ДНК кала также эффективен, но уступает по точности. Оптимальным решением может стать гибридный подход, сочетающий оба метода.

Это исследование особенно актуально на фоне снижения возраста для скрининга (теперь с 45 лет) из-за роста случаев колоректального рака среди молодых людей.

Литература:
CT Colonography versus Multitarget Stool DNA Test for Colorectal Cancer Screening: A Cost-Effectiveness Analysis,
Radiology (2025).