Добавить в корзинуПозвонить
Найти в Дзене

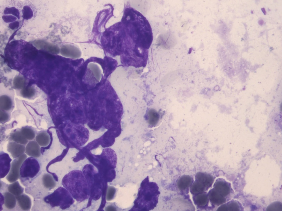
Метастаз рака предстательной железы в паховый лимфоузел

Метастаз рака предстательной железы в паховый лимфоузел. PIRADS-5 Объектив 100x. #предстательнаяжелеза #цитология #лимфоузел #метастаз

Метастаз рака предстательной железы в паховый лимфоузел.

PIRADS-5

Объектив 100x.

#предстательнаяжелеза #цитология #лимфоузел #метастаз

-2
-3