Добавить в корзинуПозвонить
Найти в Дзене

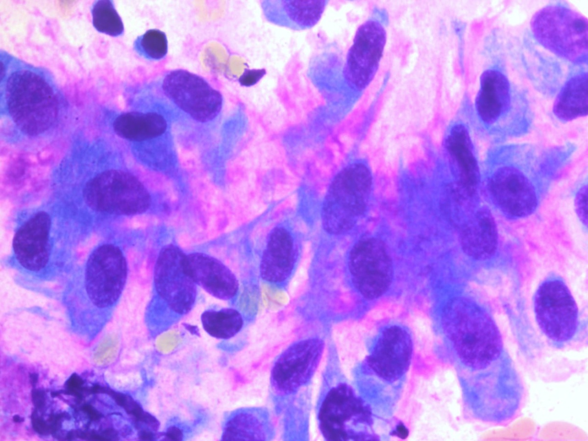
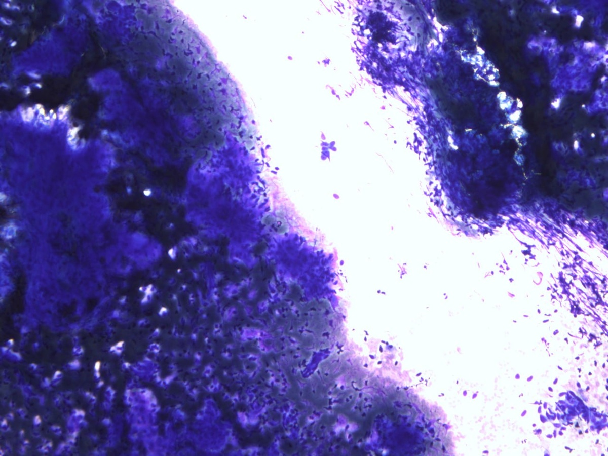
Базалиома

Базалиома Цитологическая картина соответствует диагностической категории – злокачественная эпидермальная опухоль, базально-клеточный рак. Локализация – крыло носа. Объектив 10x, 100x. #цитология #кожа #базалиома

Базалиома

Цитологическая картина соответствует диагностической категории – злокачественная эпидермальная опухоль, базально-клеточный рак.

Локализация – крыло носа.

Объектив 10x, 100x.

#цитология #кожа #базалиома

-2
-3