Найти в Дзене
NGrArt

Почему эпителий пищеварительной и дыхательной систем так похожи?

В программах медицинских вузов, в учебниках, руководствах и атласах, отечественных и зарубежных, темы «Дыхательная система» следует за темой «Пищеварительная система». По своему преподавательскому опыту скажу, что дыхательная система после пищеварительной идёт очень легко. Эпителии этих систем очень похожи. Давайте перечислим общие черты эпителия в пищеварительной и дыхательной системах: Только эпителий в дыхательной системе выглядит немного иначе. Он многорядный: ядра клеток располагаются на разных уровнях. Кажется, что клетки расположены в несколько слоёв, но на самом деле все они прикреплены к базальной мембране, поэтому его также называют псевдомногослойным (epithelium pseudostratificatum). Эпителий пищеварительной системы – однослойный призматический (epithelium simplex columnae). На 3 – 4 неделе эмбрионального развития в вентральной стенке передней кишки появляется выпячивание (респираторный дивертикул). Из него (при участии мезенхимы) разовьются гортань, трахея, бронхи и лёгк
Оглавление

В программах медицинских вузов, в учебниках, руководствах и атласах, отечественных и зарубежных, темы «Дыхательная система» следует за темой «Пищеварительная система». По своему преподавательскому опыту скажу, что дыхательная система после пищеварительной идёт очень легко. Эпителии этих систем очень похожи.

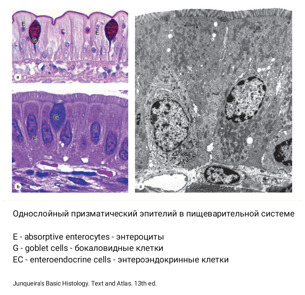
Эпителий двух систем – что общего?

Давайте перечислим общие черты эпителия в пищеварительной и дыхательной системах:

  • Он однослойный призматический (синонимы: столбчатый, цилиндрический).
  • Его поверхность имеет выросты: микроворсинки в пищеварительной системе (каёмчатый эпителий) и реснички в дыхательной системе (реснитчатый эпителий).
  • Основные клетки – призматические.
  • Также есть бокаловидные клетки, продуцирующие слизь.
  • Недифференцированные (камбиальные) клетки – резерв для восполнения утраченных клеток.
  • Эндокринные клетки.
  • Иммуннокомпетентные клетки.

Респираторный эпителий - эпителий в дыхательной системе.
Респираторный эпителий - эпителий в дыхательной системе.

Только эпителий в дыхательной системе выглядит немного иначе. Он многорядный: ядра клеток располагаются на разных уровнях. Кажется, что клетки расположены в несколько слоёв, но на самом деле все они прикреплены к базальной мембране, поэтому его также называют псевдомногослойным (epithelium pseudostratificatum).

Псевдомногослойный или многорядный эпителий. Изображение из Netter's Essential Histology, 2nd ed.
Псевдомногослойный или многорядный эпителий. Изображение из Netter's Essential Histology, 2nd ed.

Эпителий пищеварительной системы – однослойный призматический (epithelium simplex columnae).

Почему так?

На 3 – 4 неделе эмбрионального развития в вентральной стенке передней кишки появляется выпячивание (респираторный дивертикул). Из него (при участии мезенхимы) разовьются гортань, трахея, бронхи и лёгкие. По одной версии, эпителий пищеварительной и дыхательной систем имеют один и тот же источник – энтодерму.

-4

А теперь большое НО!

Вы можете встретить информацию о том, что источником развития эпителия дыхательной системы является эктодерма. Поэтому он, хоть и однослойный, но многорядный. Да и функция у этих эпителиев разная. Эпителий желудка продуцирует компоненты желудочного сока, эпителий кишки обеспечивает всасывание питательных веществ. У эпителия дыхательных путей ведущая функция защитная. Подробнее можете прочитать здесь:

В фундаментальной медицинской литературе встречаются противоположные точки зрения, причём у каждой есть своя доказательная база.

В любом случае, вы уже обратили внимание на сходство эпителиев двух систем, и это должно помочь вам подготовиться к экзамену.

Наука
7 млн интересуются