Найти в Дзене
Ormco Россия

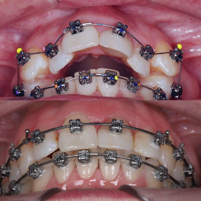
Сегодня в нашей рубрике #клиническая_среда делимся историей врача Марины Алексеевны Степченковой — успешным годовым лечением дистального

Сегодня в нашей рубрике #клиническая_среда делимся историей врача Марины Алексеевны Степченковой — успешным годовым лечением дистального прикуса у взрослого пациента с применением брекет-системы Damon Q2 и параллельной установкой имплантов. @dr.marina_step Диагноз и ключевые особенности: ✅ Дистальный прикус у взрослого пациента. ✅ Удаление премоляров для коррекции прикуса. ✅ Одновременная установка имплантов в области нижних моляров. План лечения: 1️⃣ Фиксация брекет-системы Damon Q2 для коррекции прикуса. 2️⃣ Проведение удаления премоляров для создания необходимого пространства. 3️⃣ Параллельная установка имплантов для восстановления жевательной функции. Результаты: 🔹 Значительное улучшение окклюзии и профиля пациента. 🔹 Успешная интеграция имплантов. 🔹 Стабильность и комфорт в течение всего периода лечения. Делитесь своими комментариями и опытом — вместе мы становимся сильнее!

Сегодня в нашей рубрике #клиническая_среда делимся историей врача Марины Алексеевны Степченковой — успешным годовым лечением дистального прикуса у взрослого пациента с применением брекет-системы Damon Q2 и параллельной установкой имплантов. @dr.marina_step

Диагноз и ключевые особенности:

✅ Дистальный прикус у взрослого пациента.

✅ Удаление премоляров для коррекции прикуса.

✅ Одновременная установка имплантов в области нижних моляров.

План лечения:

1️⃣ Фиксация брекет-системы Damon Q2 для коррекции прикуса.

2️⃣ Проведение удаления премоляров для создания необходимого пространства.

3️⃣ Параллельная установка имплантов для восстановления жевательной функции.

Результаты:

🔹 Значительное улучшение окклюзии и профиля пациента.

🔹 Успешная интеграция имплантов.

🔹 Стабильность и комфорт в течение всего периода лечения.

Делитесь своими комментариями и опытом — вместе мы становимся сильнее!

-2
-3
-4