Найти в Дзене

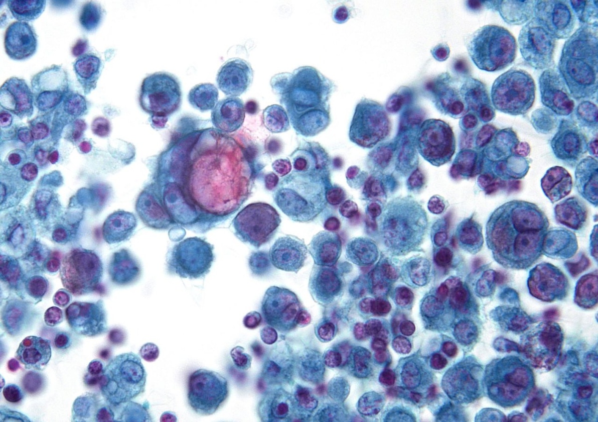
Метастаз рака молочной железы в плевральную жидкость

Метастаз рака молочной железы в плевральную жидкость. Препарат Cytospin. Окрашивание по Папаниколау. Объектив 100x. #цитология #цитологияжидкостей #молочнаяжелеза

Метастаз рака молочной железы в плевральную жидкость.

Препарат Cytospin. Окрашивание по Папаниколау. Объектив 100x.

#цитология #цитологияжидкостей #молочнаяжелеза