Добавить в корзинуПозвонить
Найти в Дзене

Лечение с помощью ICON, а также микрообразии Opalustre

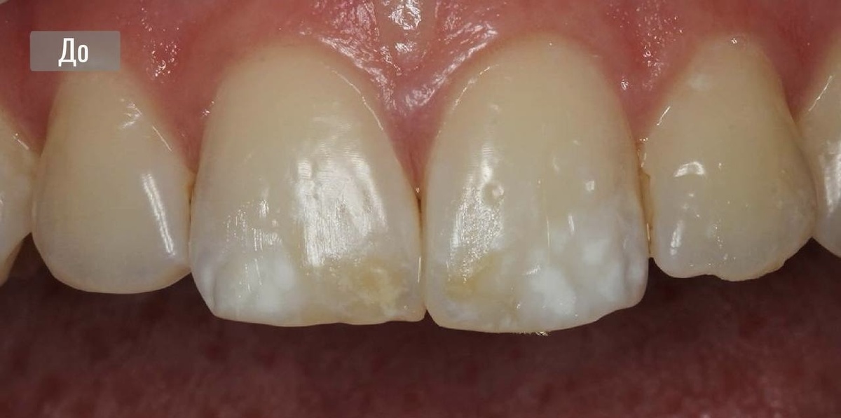
В данном клиническом случае, представлена эстетическая проблема в области фронтальных зубов, с которой обратилась пациентка 20 лет.  На верхних зубах у пациентки - гипоплазия.  Это одно из заболеваний эмали зуба, которое сопровождается изменением цвета, истончением и изменением рельефа тканей.  Гипоплазия не является кариозным поражением, но факторов появления таких пятен множество - от внутриутробных (токсикоз, нарушение обменов веществ в организме матери при беременности, прием антибиотиков) до проникновения инфекции из воспалительного очага молочного зуба в зачаток постоянного.  Многие из врачей, для этой пациентки, предлагали достаточно радикальные методы избавления от таких пятен. Например, закрыть всё композитными реставрациями или винирами.  Но мы все-таки решили применить малоинвазивный подход - сочетанную методику, при которой не требуется препарирование зуба. С помощью микрообразии снимается поверхностный слой эмали на уровне микрон, а далее он восстанавливается инфильтра

В данном клиническом случае, представлена эстетическая проблема в области фронтальных зубов, с которой обратилась пациентка 20 лет. 

На верхних зубах у пациентки - гипоплазия

Это одно из заболеваний эмали зуба, которое сопровождается изменением цвета, истончением и изменением рельефа тканей. 

Гипоплазия не является кариозным поражением, но факторов появления таких пятен множество - от внутриутробных (токсикоз, нарушение обменов веществ в организме матери при беременности, прием антибиотиков) до проникновения инфекции из воспалительного очага молочного зуба в зачаток постоянного. 

Многие из врачей, для этой пациентки, предлагали достаточно радикальные методы избавления от таких пятен. Например, закрыть всё композитными реставрациями или винирами. 

Но мы все-таки решили применить малоинвазивный подход - сочетанную методику, при которой не требуется препарирование зуба.

С помощью микрообразии снимается поверхностный слой эмали на уровне микрон, а далее он восстанавливается инфильтратом системы ICON. 

-2

До и после процедуры проводится реминерализирующая терапия, что позволяет избежать повышенной чувствительности.

-3

На наш взгляд и вкус, получилось достаточно естественно и красиво! 

-4

А пациент наслаждается своей улыбкой, которую так долго скрывал!

#допосле