Найти в Дзене

ОРТОДОНТИЧЕСКОЕ ЛЕЧЕНИЕ ПРИ ПЕРЕКРЕСТНОМ ПРИКУСЕ и жалобах на ВНЧС

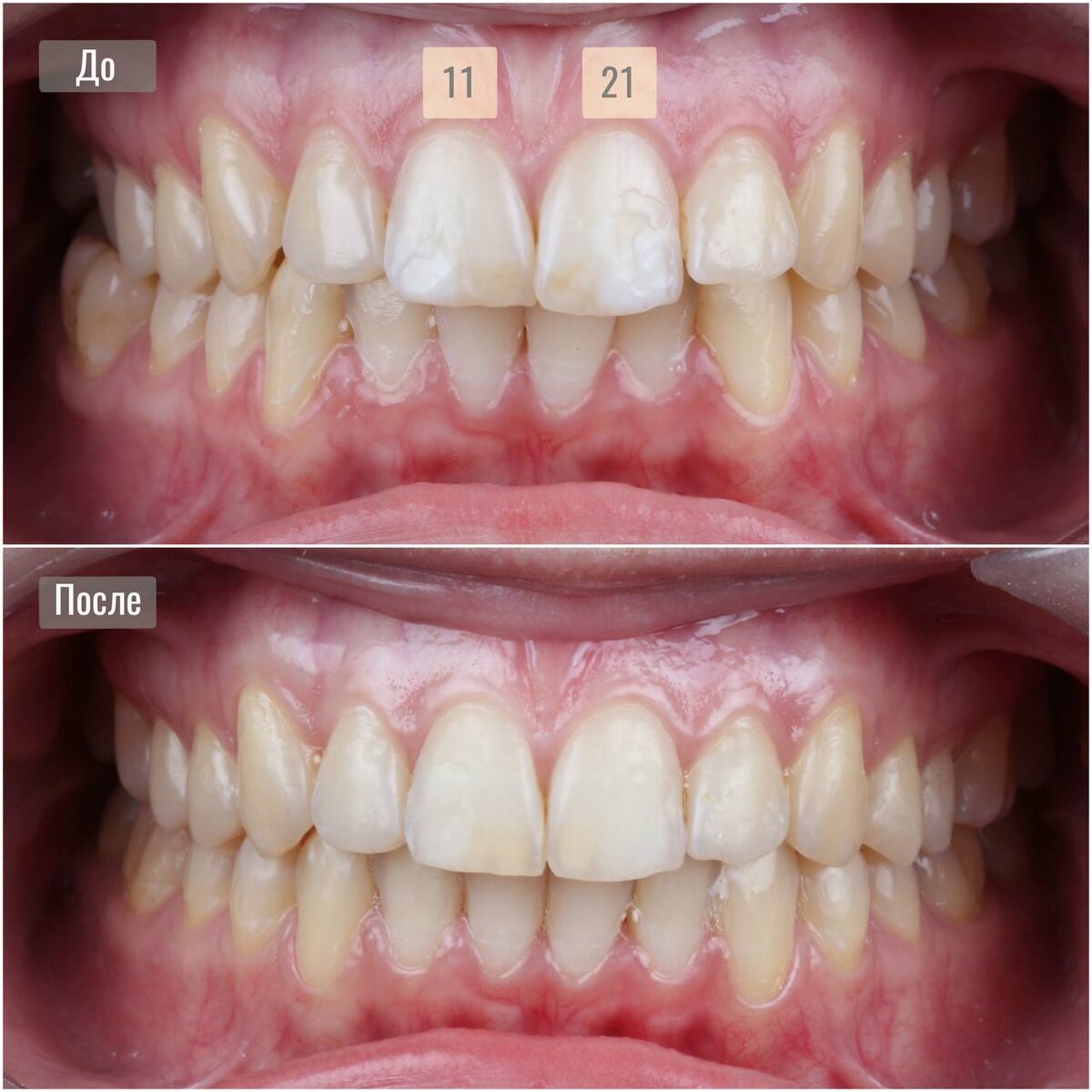
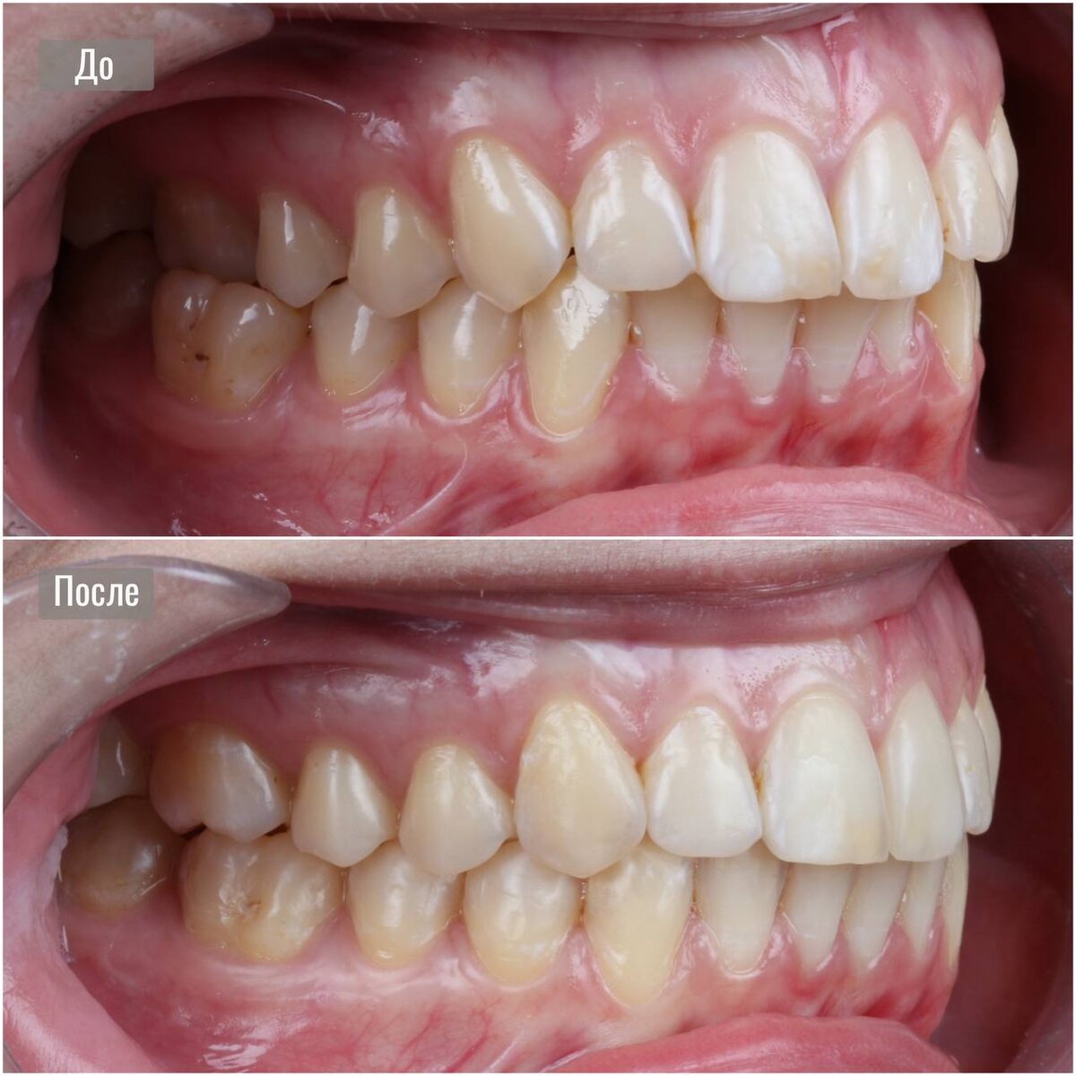
Пациентка обратилась с жалобами на щелчки в области височно-нижнечелюстного сустава справа. В ходе первичной консультации было установлено, что данное состояние не требует специального лечения. Основными задачами стали устранение перекрестного прикуса справа и улучшение эстетики улыбки. Перед началом ортодонтического этапа была проведена санация полости рта. Ортодонтическое лечение проводилось на элайнерах в течение одного года. Пациентка тщательно соблюдала все рекомендации и ответственно носила каппы. Результат — гармоничный, эстетичный и, что особенно важно, функционально стабильный. Приятный бонус: щелчки в области ВНЧС больше не беспокоят. Но помним, что ЭТО ЛИШЬ ПРИЯТНЫЙ БОНУС, а не цель, ради которой стоит начинать ортодонтическое лечение. См. нашу тему по ВНЧС #допосле #внчс

Пациентка обратилась с жалобами на щелчки в области височно-нижнечелюстного сустава справа. В ходе первичной консультации было установлено, что данное состояние не требует специального лечения. Основными задачами стали устранение перекрестного прикуса справа и улучшение эстетики улыбки.

Перед началом ортодонтического этапа была проведена санация полости рта.

-2

Ортодонтическое лечение проводилось на элайнерах в течение одного года. Пациентка тщательно соблюдала все рекомендации и ответственно носила каппы.

-3

Результат — гармоничный, эстетичный и, что особенно важно, функционально стабильный.

Приятный бонус: щелчки в области ВНЧС больше не беспокоят.

Но помним, что ЭТО ЛИШЬ ПРИЯТНЫЙ БОНУС, а не цель, ради которой стоит начинать ортодонтическое лечение.

См. нашу тему по ВНЧС

-4

#допосле

#внчс