Найти в Дзене
Телеканал 360

Ребенка с абсцессом почки спасли в МОЦОМД

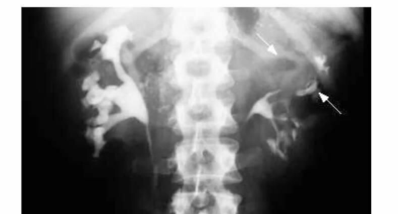
Врачи Московского областного центра охраны материнства и детства спасли 10-летнюю девочку с абсцессом почки. Ребенок жаловался на высокую температуру, слабость и боль в пояснице. Специалисты провели ультразвуковое исследование и компьютерную томографию органов брюшной полости, а также забрюшинного пространства и обнаружили абсцесс левой почки. Данная патология требовала немедленного корректного лечения. «В противном случае она может нарушить функции почки и привести к серьезным осложнениям — сепсису, почечной недостаточности и распространению инфекции на другие органы», — пояснила детский уролог-андролог Юлия Аникеева. Опасных последствий удалось избежать благодаря профессионализму врачей. «Мы сделали небольшой разрез в поясничной области под ультразвуковым контролем с установкой дренажной трубки в полость абсцесса. После эвакуации гнойного содержимого полость абсцесса была промыта антисептическим раствором. Параллельно проводилась интенсивная антибиотикотерапия», — рассказала Юлия Ани

Врачи Московского областного центра охраны материнства и детства спасли 10-летнюю девочку с абсцессом почки. Ребенок жаловался на высокую температуру, слабость и боль в пояснице.

   Пресс-служба Министерства здравоохранения Московской области
Пресс-служба Министерства здравоохранения Московской области

Специалисты провели ультразвуковое исследование и компьютерную томографию органов брюшной полости, а также забрюшинного пространства и обнаружили абсцесс левой почки. Данная патология требовала немедленного корректного лечения.

«В противном случае она может нарушить функции почки и привести к серьезным осложнениям — сепсису, почечной недостаточности и распространению инфекции на другие органы», — пояснила детский уролог-андролог Юлия Аникеева.

Опасных последствий удалось избежать благодаря профессионализму врачей.

«Мы сделали небольшой разрез в поясничной области под ультразвуковым контролем с установкой дренажной трубки в полость абсцесса. После эвакуации гнойного содержимого полость абсцесса была промыта антисептическим раствором. Параллельно проводилась интенсивная антибиотикотерапия», — рассказала Юлия Аникеева.

Девочка прошла необходимый курс лечения, после чего ее выписали. Теперь она будет регулярно посещать уролога и нефролога для контроля состояния.

Автор: Елизавета Теличенко