Здравствуйте, дорогие друзья! Сегодня я поделюсь с вами клиническим случаем, на работу с которым ушло около двух лет. Конечно, это долго. И просто пипец, как недешево. Но оно того стоило.
Итак, август 2020-го, разгар пандемии, недавно разрешили выходить на улицу и выбрасывать мусор без QR-кода. Ох уж это чувство вседозволенности, которое опьяняет и сводит с ума! Однажды погожим летним днем ко мне на консультацию пришел молодой человек. Вполне возможно, что прямо сейчас он читает эту статью вместе с вами (но это не точно). Надеюсь, итог нашей совместной стоматологической работы ему понравился. Если вообще можно объединить слова «стоматология» и «понравился» в одном предложении.
Ударить в грязь лицом никак нельзя. Все же человек поверил мне и пришел на консультацию, только из-за «картинок с подписями».
Консультация.
Познакомились. Поговорили. Посмотрели зубы:
Сделали компьютерную томографию для более детальной диагностики и составления комплексного плана лечения.
По снимкам и общему состоянию зубов я понял, что Роман следил за зубами и занимался их лечением, но в какой-то момент что-то пошло не так. Не знаю, что именно — но это надо исправить и вернуть Роману приемлемое качество жизни. В конце концов, он молодой парень, а девчонки, как известно, любят зубастых.
Я призвал коллективный разум в виде моих коллег, ортопеда, ортодонта, терапевта — и после проведенного консилиума мы предложили Роману комплексный план лечения:
- удаление оставшихся корней зубов, и всего того, что вылечить невозможно.
- лечение и/или перелечивание зубов, которые в этом нуждаются
- исправление прикуса с помощью брекетов
- установка имплантатов в процессе ортодонтического лечения
- временное протезирование на имплантатах
- постоянное протезирование на имплантатах и реставрация зубов, которые ранее были пролечены эндодонтически (в которых удалили нервы).
Конечно, Роман сначала прифигел от объема и сроков предлагаемого лечения, но мотивация про девичью любовь сработала — и он согласился.
Сначала мы со стоматологом-терапевтом (всем известный Станислав Матлаев) подготовили пациента к ортодонтическому лечению. Я удалил всё, что требовалось удалить, включая зубы мудрости. Затем ортодонт Аня Матлаева приступила к исправлению прикуса. Вот снимок на восьмом месяце ортодонтического лечения:
Обратите внимание, что зубы здесь выглядят вполне более ухоженными. К тому же, кривые зубы раскривились, а заваленные — развал… то есть, распрямились. К этому времени все активные перемещения зубов завершены, а потому мы можем приступить к установке имплантатов.
Важная ремарка: решение о сроках имплантации у ортодонтических пациентов принимает ортодонт.
В зависимости от клинической ситуации и поставленной задачи, установка зубных имплантатов может проводиться до, в середине или после ортодонтического лечения.
Имплантологической работы много, но с чего начать? Здесь можно учесть пожелания Романа и сделать так, как ему удобнее. Мы решили начать имплантацию с правой стороны:
Имплантаты Xive S мы выбрали как наиболее подходящие для решения поставленных задач. Нижняя челюсть справа — обычная и самая простая имплантация. Верхняя челюсть справа — имплантация премоляра и моляра с одновременным латеральным синуслифтингом. Состояние десны в области имплантации позволило одновременно провести установку формирователей десны, что уменьшило количество операций и сократило время лечения.
После — обычный реабилитационный период, осмотры т. д. Вот, как это выглядит в полости рта (фото на одном из послеоперационных осмотров):
Неплохо, правда? Но почему не «всё и сразу?» спросите вы? А я, таки вам отвечу — так проще и мне, и пациенту.
Во-первых, пока заживает правая сторона, Роман может жевать на левой.
Во-вторых, мы проводим операции под местной анестезией, время действия которой ограничено. Наркоз в амбулаторной стоматологии, как известно, используют только мудаки.
В-третьих, меньше операция — меньше риск осложнений.
В-четвертых, мы получаем возможность оценить «переносимость» хирургических манипуляций и на основании этого скорректировать дальнейшее лечение
В-пятых, не такой сильный напряг для кошелька Романа. При этом, мы не допускаем никаких компромиссов по качеству лечения.
В-шестых, а нафига вообще торопиться? Поспешишь — людей насмешишь.
Через некоторое время пришла очередь левой стороны:
По такому же принципу — простая и ничем примечательная имплантация (Xive S) на нижней челюсти, имплантация одновременно с латеральным синуслифтингом в области премоляров на верхней челюсти. Все имплантаты — с одновременной установкой формирователей десны.
Ремарка: Кстати, сравните этот снимок с более ранним. Обратите внимание, как происходит интеграция графта в области ранее установленных имплантатов:
четкие контуры, постепенное снижение рентгенологической прозрачности говорит нам о том, что всё идет так, как надо.
Через три с половиной месяца стоматолог-ортопед Кирилл Киселев-Тростянский может приступить к временному протезированию. Сначала с правой стороны, затем с левой. Не вижу смысла добавлять много одинаковых картинок, поэтому вот вам снимок после временного протезирования:
Временные коронки изготавливаются из нерентгеноконтрастного композитного материала, поэтому на рентгеновских снимках их не видно. Зато видны металлические абатменты, фиксирующие коронки винты и состояние графта в областях проведенных синуслифтингов и костную ткань вокруг имплантатов. Везде всё зашибись — графт интегрировался (слева полностью, справа — на финальной стадии), имплантаты, абатменты и зубы прекрасном состоянии.
Ремарка: обратите внимание на разницу в абатментах на верхней и нижней челюстей.
На нижней абатменты, вроде как, заполняют всю шахту имплантатов, в то время как шахты верхних имплантатов кажутся пустыми.
Дело в том, что нижние абатменты предназначены для протезирования одиночных зубов и имеют антиротационный элемент (индекс, шестигранник),
в то время как верхние абатменты шестигранного индекса не имеют. Другими словами, это не баг, а фича.
А вообще, почитать о протезировании зубных имплантатов и особенностях работы с ними можно здесь>> или тут>>.
После установки временных коронок на имплантатах прикус практически стабилизировался, поэтому ортодонт может снять брекеты:
Не спешите фыркать, что коронки страшненькие – они временные. Их установили еще во времена ортодонтии, после этого корректировали.
Временные коронки необходимы для решения целого ряда задач:
— с помощью них мы создаем более естественный десневой контур
— мы ускоряем адаптацию пациента к новым зубным протезам
— мы проверяем, как работают имплантаты под нагрузкой
— мы даем возможность ортодонту окончательно «отработать» прикус
— мы оставляем возможность внести какие-то коррективы в лечение до окончательного и постоянного протезирования.
Срок временного протезирования имплантатов обычно составляет от 3 до 6 месяцев, если план лечения не предполагает иного. Пациентам, находящимся на ортодонтическом лечении и после него, период пользования временными коронками на имплантатах обычно увеличивается до 12 месяцев или даже дольше.
«Летели дни, крутясь поганым роем,
Вино и страсть терзали жизнь мою…»(с) Александр Блок.
Так незаметно прошло еще три месяца. Пора менять их на постоянные. Почему? Потому что временные композитные коронки постепенно стираются, форма десны меняется, а сам композит прекрасно адсорбирует на себе зубной налет и в этом плане не сильно гигиеничен.
И только мы собрались завершать протезирование, как случилась неприятная фигня. В процессе лечения нижняя правая семерка треснула, откололась язычная стенка коронковой части. Мне пришлось удалить этот зуб и сразу заменить его на имплантат (т. н. «немедленная имплантация»). Вот как это всё выглядит сразу после операции:
Обратите внимание, что теперь на снимке видны контуры коронок на всех имплантатах, за исключением только что установленного. Это потому, что они сделаны из керамики. При этом все коронки, в отличие от временных, одиночные, на абатментах с антиротационным шестигранником-индексом, что заметно по заполненной шахте имплантата.
Вид «изнутри»:
Сравните это с тем, что было до начала лечения. Лучше же? Полость рта начинает преображаться.
Еще немного «вина и страсти» — и вот, пролетели еще три с половиной месяца. Появляется временная коронка на имплантате на имплантате, который я установил позже остальных — в области 37 зуба:
Вы её видите? И я не вижу. А она есть:
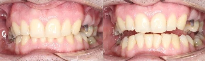
А вот и финишная прямая:
Сравните с тем, что было до лечения. Красота же! Потратив кучу денег и времени на стоматологическое лечение, Роман стал ответственнее относиться к собственным зубам: раз в полгода он заглядывает в Уютную КЛИНИКУ ИН на чашечку кофе, профилактический осмотр и профессиональную гигиену полости рта. За исключением последней процедуры, которую сложно назвать лечением, Роману более не требуется какая-либо стоматологическая помощь. Вот уже несколько лет как.
«Сложный был год: налоги, катастрофы, проституция, бандитизм и недобор в армию…»
В завершение статьи, предлагаю без высокой морали и емких эпитетов подытожить всё, о чем шла речь в статье.
Для достижения действительно хорошего результата лечения важно не просто «латать» один зуб, а смотреть на полость рта как на одну цельную и взаимосвязанную систему. Еще правильнее — смотреть на человека целиком, учитывать состояние его организма, образ жизни и привычки, среду обитания, ментальное здоровье и т. д.
Состояние десен, прикус, функция суставов и мышц – всё взаимосвязано. Эти взаимосвязи нужно учитывать, в т. ч. при лечении одного-единственного зуба. Если на это забить — пломбы, коронки и офигетькакиедорогие виниры довольно быстро «пойдут по бороде».
Диагностика — наш лучший друг. Чем она глубже, тем приятнее тем лучше. Конусно-лучевая компьютерная томография, причем по направлению доктора, причем всей зубочелюстной системы во всех случаях — это база. Опционально на этапах лечения — ортопантомография. По показаниям — ортодонтическая диагностика или, как минимум, консультация ортодонта.
План лечения — только после диагностики, обследования и консультаций всех причастных специалистов. План лечения составляют доктора и только доктора. Координаторы, т. н. «менеджеры по сопровождению» не имеют ни образования, ни нужных компетенций для составления планов лечения.
Команда специалистов, а не герой-одиночка. Современная стоматология настолько сложна, что вылечить человека в одиночку уже не получится. Времена врачей-универсалов, когда «и швец, и жнец, и вообще огурец» давно прошли. Главным командиром команды является стоматолог-ортопед, он альфа и омега всей стоматологической реабилитации, с него всё начинается, им же всё заканчивается. Остальные выполняют задания стоматолога-ортопеда — стоматолог-терапевт лечит зубы, стоматолог-хирург удаляет всё безнадежное и вставляет всё надежное, ортодонт исправляет прикус и т. д. Каждый делает своё дело в общем контексте, всё синхронизируется. Как вы понимаете, нельзя построить такую работу в кабинете на аренде, это возможно только в крупных клиниках и стоматологических центрах.
Разумные, понятные и обоснованные расходы — это лучше попыток экономить. Разовое «залепить дырку» кажется дешевле, многие отказываются от исправления прикуса потому, что долго и дорого, но вот потом… потом вы переделываете «залепленную дырку» снова и снова, доводите зуб до коронки, а потом и вовсе вынуждены его удалить. К стабильному долгосрочному результату, не требующему доделок и переделок ведет только один путь — это грамотно спланированное лечение и широкий системный подход.
Наконец, стоматологическая гигиена и профилактика — всему голова. Отсутствие гигиены и профилактики — это головка. Возьмите за правило посещать стоматолога раз в полгода даже в случае, если ничего не беспокоит. И сейчас, вот прямо сейчас запишитесь на процедуру профессиональной гигиены полости рта, если вы делали её больше, чем полгода назад. Заодно вас научат чистить зубы. И всё это вместе — минус куча зубных проблем.
Вот, собственно, и все.
Спасибо за внимание! С удовольствием отвечу на ваши вопросы в комментариях под этой статьей. Не забудьте подписаться на наши странички в социальных сетях и Телеграм-канал, так удобнее следить за новостями и публикациями на сайте Уютной КЛИНИКИ ИН.
С уважением Андрей Дашков, стоматолог-хирург, КЛИНИКА ИН.