Добавить в корзинуПозвонить
Найти в Дзене
Редакция.Наука

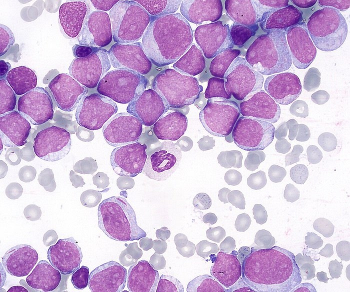
Без таурина замедляется развитие рака крови

Без таурина замедляется развитие рака крови. Это установили ученые из Медицинского центра Рочестерского университета. Таурин вырабатывается в организме человека естественным образом. Эта аминокислота не входит в состав белков, но она необходима развивающемуся мозгу, глазам и мышцам. Таурин стимулирует регенерацию тканей, у него есть антиоксидантные и противовоспалительные свойства. Содержится он в рыбе и мясе, а еще его добавляют в различные энергетические напитки. Исследователи провели эксперимент с участием лабораторных мышей со специальным геном SLC6A6, помогающим перемещать таурин по всему организму. Ученые ввели мышам раковые клетки человека. Они выяснили, что здоровые клетки их костного мозга вырабатывают таурин, который ген SLC6A6 «доставляет» до клеток лейкемии, потенциально поддерживая их рост. Удалось выяснить, что клетки рака крови зависят от таурина, который они получают от своего окружения в костном мозге. Фермент, необходимый для синтеза таурина, есть только у определе

Без таурина замедляется развитие рака крови.

Это установили ученые из Медицинского центра Рочестерского университета. Таурин вырабатывается в организме человека естественным образом. Эта аминокислота не входит в состав белков, но она необходима развивающемуся мозгу, глазам и мышцам.

Таурин стимулирует регенерацию тканей, у него есть антиоксидантные и противовоспалительные свойства. Содержится он в рыбе и мясе, а еще его добавляют в различные энергетические напитки.

Исследователи провели эксперимент с участием лабораторных мышей со специальным геном SLC6A6, помогающим перемещать таурин по всему организму. Ученые ввели мышам раковые клетки человека. Они выяснили, что здоровые клетки их костного мозга вырабатывают таурин, который ген SLC6A6 «доставляет» до клеток лейкемии, потенциально поддерживая их рост.

Удалось выяснить, что клетки рака крови зависят от таурина, который они получают от своего окружения в костном мозге. Фермент, необходимый для синтеза таурина, есть только у определенной группы клеток. Когда там начинаются злокачественные изменения, активность этого фермента резко повышается. А вот если его работу искусственно подавить, развитие рака замедляется.

Ученые подчеркнули, что исследование находится пока на раннем этапе, однако они надеются, что блокирование таурина в раковых клетках может стать ключом к разработке новых методов лечения.