Добавить в корзинуПозвонить
Найти в Дзене
Понимая Медицину

Частые практические вопросы по пневмониям

Пневмония – острое инфекционное воспаление легочной паренхимы с вовлечением альвеол и интерстициальной ткани. Существует множество классификаций пневмоний. Наиболее важные моменты следующие: - Ранняя (≤ 5 дней госпитализации) – типичные возбудители (пневмококк, гемофильная палочка) - Поздняя (> 5 дней) – синегнойная палочка, MRSA, Acinetobacter, Enterobacteriaceae Внебольничная пневмония: Нозокомиальная пневмония: Критерии нозокомиальной пневмонии - Возникает через ≥48 часов после госпитализации - Нет признаков инфекции на момент поступления - Рентгенологически новый очаг + ≥ 2 критерия: Лихорадка > 38°C или < 36°C Лейкоцитоз > 10×10⁹/л или лейкопения < 4×10⁹/л Гнойная мокрота Признаки дыхательной недостаточности (PaO₂ ↓, SpO₂ < 90%) Золотой стандарт диагностики КТ (при неясной картине, подозрении на осложнения) - Мокрота (микроскопия, посев) - Кровь на гемокультуру (при тяжелой пневмонии) - Бронхоальвеолярный лаваж (БАЛ) при нозокомиальной/атипичной пневмонии - ПЦР (для атипичн
Оглавление

Пневмония – острое инфекционное воспаление легочной паренхимы с вовлечением альвеол и интерстициальной ткани.

Существует множество классификаций пневмоний. Наиболее важные моменты следующие:

  • Внебольничная (ВП, CAP – Community-Acquired Pneumonia)
  • Нозокомиальная (Госпитальная пневмония)(HAP – Hospital-Acquired Pneumonia)

- Ранняя (≤ 5 дней госпитализации) – типичные возбудители (пневмококк, гемофильная палочка)

- Поздняя (> 5 дней) – синегнойная палочка, MRSA, Acinetobacter, Enterobacteriaceae

  • Вентилятор-ассоциированная (VAP – Ventilator-Associated Pneumonia)
  • Аспирационная (часто анаэробы + грамотрицательные)
  • У лиц с иммунодефицитом (пневмоцисты, грибы, цитомегаловирус, микобактерии)

Основные возбудители

Внебольничная пневмония:

  1. - Streptococcus pneumoniae (пневмококк) – №1
  2. - Haemophilus influenzae - гемофильная палочка
  3. - Mycoplasma pneumoniae (атипичная)
  4. - Chlamydia pneumoniae (атипичная)
  5. - Legionella pneumophila (атипичная)
  6. - Staphylococcus aureus (редко, но опасен при гриппе) (MSSA - метициллин чувствительный)
  7. - Вирусы (грипп, RSV, SARS-CoV-2)

Нозокомиальная пневмония:

  1. - Pseudomonas aeruginosa (синегнойная палочка)
  2. - Klebsiella pneumoniae (ESBL+)
  3. - Escherichia coli
  4. - MRSA (метициллин-резистентный золотистый стафилококк)

Критерии нозокомиальной пневмонии

- Возникает через ≥48 часов после госпитализации

- Нет признаков инфекции на момент поступления

- Рентгенологически новый очаг + ≥ 2 критерия:

Лихорадка > 38°C или < 36°C

Лейкоцитоз > 10×10⁹/л или лейкопения < 4×10⁹/л

Гнойная мокрота

Признаки дыхательной недостаточности (PaO₂ ↓, SpO₂ < 90%)

Диагностика

Золотой стандарт диагностики

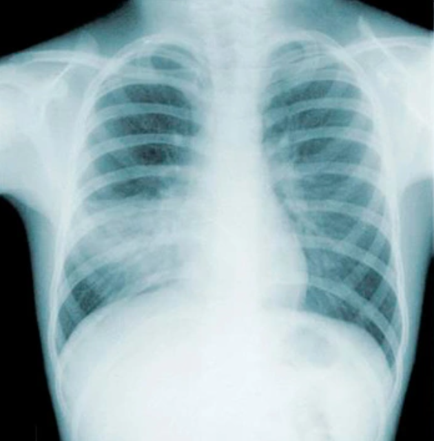
  • Рентгенография органов грудной клетки (очаг инфильтрации + клиника)

КТ (при неясной картине, подозрении на осложнения)

  • Микробиологическая диагностика:

- Мокрота (микроскопия, посев)

- Кровь на гемокультуру (при тяжелой пневмонии)

- Бронхоальвеолярный лаваж (БАЛ) при нозокомиальной/атипичной пневмонии

- ПЦР (для атипичных возбудителей, вирусов)

Тактика лечения

(может быть не актуальна на тот или иной год) указаны приблизительные схемы

Тактику лечения определяют по шкале CURB65

-2

Внебольничная пневмония

Амбулаторно (легкая):

  • Амоксициллин или макролид (азитромицин/кларитромицин) при атипичной
  • Альтернатива: доксициклин

Стационар (средняя тяжесть):

  • - Цефтриаксон/цефотаксим + макролид
  • Альтернатива: респираторный фторхинолон (левофлоксацин, моксифлоксацин)

Тяжелая (ОРИТ):

- Цефтриаксон/цефотаксим + макролид + ванкомицин/линезолид (если подозрение на MRSA)

Нозокомиальная пневмония

Эмпирическая терапия:

  • Антисинегнойные β-лактамы: цефепим, меропенем, пиперациллин/тазобактам
  • + Амикацин/ципрофлоксацин (если высокий риск синегнойной инфекции)
  • + Ванкомицин/линезолид (если MRSA)

Антибиотики при MRSA и синегнойной палочке

  • MRSA (метициллин-резистентный S. aureus):

Ванкомицин (первая линия)

Линезолид (альтернатива при резистентности)

Телаванцин, даптомицин (редко, при устойчивости)

  • Pseudomonas aeruginosa (синегнойная палочка):

Цефтазидим, цефепим

Карбапенемы (меропенем, имипенем)

Пиперациллин/тазобактам

Амикацин, тобрамицин (аминогликозиды)

Ципрофлоксацин, левофлоксацин (фторхинолоны)

Коломицин (полимиксин В) – при множественной резистентности)

Критерии эффективности терапии

(!!!!!!!!!!!!!!!!) Через 48–72 часа ↓ температуры, улучшение состояния

Если нет эффекта – пересмотр схемы (возможна резистентность, осложнения)