Найти в Дзене
Войти
Международная Школа Цитологии и Медицинская Школа Инноваций
50 подписчиков
Подписаться
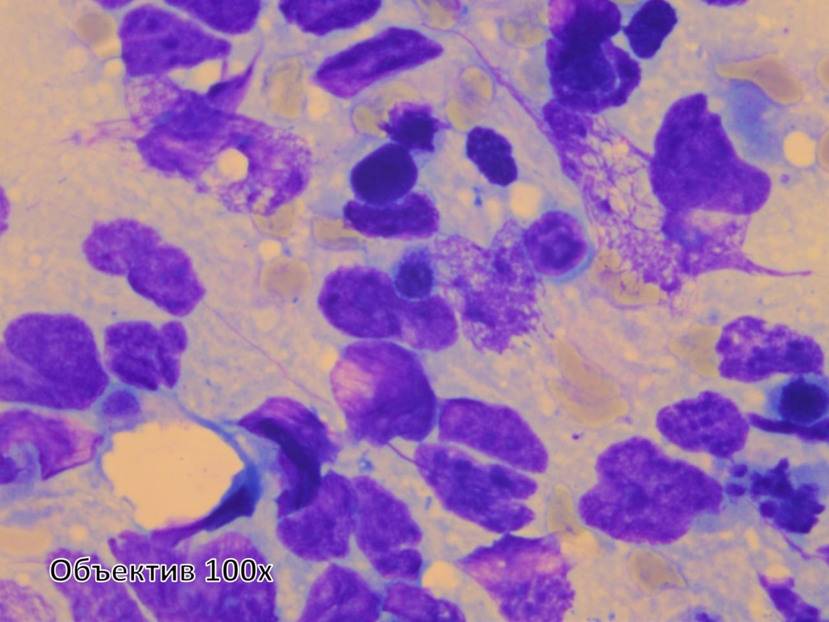
Нейробластома
19 мая
19 мая
1
~1 мин
Нейробластома. Пациент двух лет. Окрашивание МГГ.
#цитология #нейробластома
Взгляните на эти темы
Медицина
Первая медицинская помощь
Найти тему
Домашняя аптечка
Мужские болезни
Наталья Зубарева
Гормональные препараты
Здоровье спины и шеи
Борьба с курением
Инсульт
Александр Мясников
Здоровье и медицина
Сон и сновидения
Народная медицина
Величайшие ученые-медики
Лео Бокерия
Профилактика заболеваний
Леонид Рошаль
Наталья Бехтерева
Профилактика инфекционных заболеваний
Противовирусные препараты
Здоровье и медицина
3,97 млн интересуются
Следить за темой