Добавить в корзинуПозвонить
Найти в Дзене
Белка в позе

Дежурство 17.05.25

Здравствуйте🤝 Предупредила вчера лаборантов, чтобы раньше одиннадцати меня не ждали. Тяжко мне проснуться в шесть утра , поэтому будильник поставила на десять, хоть поспать подольше можно. Еще вчера разглядывала график , увидела, что восемнадцатого , в воскресенье на смене три лаборанта. И какой смысл в субботу выводить четверых лаборантов ? Сейчас тепло , дачный сезон , а он гарантирует , что количество пациентов будет меньше в первый выходной , чем во второй , перед рабочими буднями. Заметила такое несоответствие в графике поздно , не стала писать старшей , сто выйду в воскресенье. Впредь буду смотреть весь график , и свой и чужой. Так был бы график сутки двое , а так :через сутки , потом три выходных. Но , у меня уже и планы есть , поэтому , пусть так и остается. Пришла как раз к своему часу , и с корабля на бал села работать. За три часа у девчонок было всего три пациента, а к моему часу все и пришли. *********************** Завезли каталку, мужчина , 44 года. Был сбит на пешех

Здравствуйте🤝

Предупредила вчера лаборантов, чтобы раньше одиннадцати меня не ждали. Тяжко мне проснуться в шесть утра , поэтому будильник поставила на десять, хоть поспать подольше можно.

Еще вчера разглядывала график , увидела, что восемнадцатого , в воскресенье на смене три лаборанта. И какой смысл в субботу выводить четверых лаборантов ?

Сейчас тепло , дачный сезон , а он гарантирует , что количество пациентов будет меньше в первый выходной , чем во второй , перед рабочими буднями.

Заметила такое несоответствие в графике поздно , не стала писать старшей , сто выйду в воскресенье. Впредь буду смотреть весь график , и свой и чужой.

Так был бы график сутки двое , а так :через сутки , потом три выходных. Но , у меня уже и планы есть , поэтому , пусть так и остается.

Пришла как раз к своему часу , и с корабля на бал села работать.

За три часа у девчонок было всего три пациента, а к моему часу все и пришли.

***********************

Завезли каталку, мужчина , 44 года. Был сбит на пешеходном переходе, в анамнезе инсульт , телом управляет плохо, сопровождает жена.

Видно по его рукам , что он из бывших. Как раз и возраст подходящий , наверное , инсульт и остановил его деятельность.

Вот и куда он шел утром в таком состоянии?

–За водкой! –пояснил пациент.

–А жена что? Отказалась идти?

–Ни в какую...

🤦, вот только и осталось , что злоупотреблять..

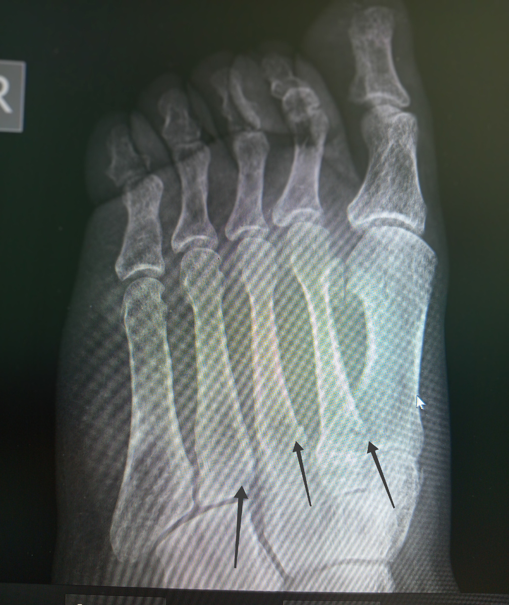
Назначили снимки черепа , лёгких , таза и стопы.

Из всего только в стопе кости и сломаны.

-2

Теперь на месяц или полтора сухой закон у пациента. Представляю , каково его жене.

*********************

Выглядываю из кабинета, сидят , в дверь не звонят.

–Вы звонили?

–Да.

–Значит , кнопку не дожали , звонок у нас не сенсорный, заходите.

Хромая , заходит мужчина, 36 лет , на снимок стопы. Первый и второй палец фиолетового цвета.

–Что случилось?

–Да , ничего, дурость случилась собственная.

–А точнее?

–Кровать я чинил.

–И она упала на ногу?

–Нет, болты не смог открутить, психанул и пнул ее в сердцах.

Понял , что это было лишнее, когда пальцы приобрели цвет. Ну , так , нечего стопы распускать!

Кости целые, просто ушиб, а вот выходные испорчены, ушиб -то тоже болит!

*********************

Мужчина , 50 лет , на снимок кисти.

–Я , –говорит –муху хотел прихлопнуть, а повредил руку.

–А муха -то живая?

–Живая... Улетела , зараза.

Цела кисть.

***********************

Еще мужчина на снимок стопы.

–Где-то болит конкретно?

–А вот , видите , царапина на пальце?

Да , вижу на четвертом пальце царапинку , миллиметров 5.

–Что случилось?

–Плитка упала , прямо краем воткнулась.

-3

***********************

Пришла женщина, 58 лет , на снимок черепа.

–Слева, справа ударились?

–Я не ударялась.

Прекрасно , зачем тогда снимок черепа?

-А болит где?

–Вот тут.

–Болит-то почему , если травмы не было?

–Да мне ухо продуло недавно , вот , болит теперь.

Еще не лучше , направление дали в регистратуре , после жалобы , что болит голова, а то , что травмы не было , так ничего страшного.

Но , нам не привыкать делать снимки просто так.

Вот так прошел мой первый час работы, всего было 10 человек за час , против трех человек за три часа у других лаборантов.

А как ваши выходные проходят?