Добавить в корзинуПозвонить
Найти в Дзене
Обозреватель.Врн

У пенсионерки удалили опухоль в мозге воронежские врачи

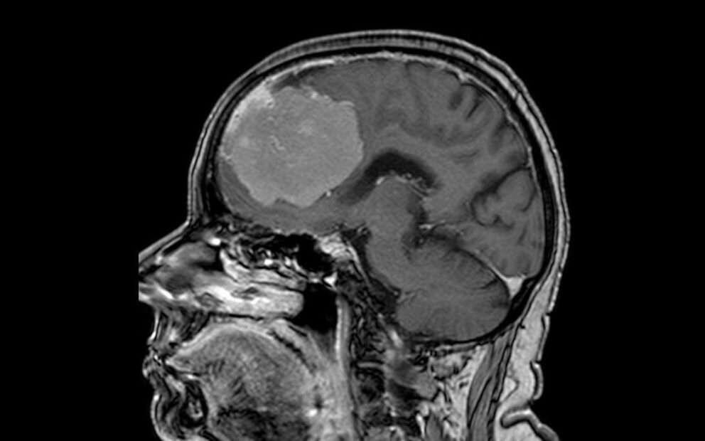
Врачи удалили у пенсионерки опухоль размером с грейпфрут. Ее обнаружили в лобных долях мозга. Об этом в среду, 21 мая, сообщили в пресс-службе министерства здравоохранения Воронежской области. По информации структуры, 80-летняя женщина поступила в больницу скорой медицинской помощи (БСМП) №1 с подозрением на инсульт – у нее наблюдались проблемы с речью и слабость в правой руке. Однако при стандартном обследовании с помощью компьютерной томографии стало понятно, что инсульта нет. Специалисты обнаружили опухоль в обеих лобных долях мозга размером 6x7x8 см. — Подобные новообразования так или иначе затрагивают важные участки мозга – кровеносные сосуды и зоны, отвечающие за речь и движение,— уточнили в пресс-службе. Дополнительное исследование с контрастом показало, что опухоль окутываала переднюю мозговую артерию, прорастала в переднюю треть одного из наиболее крупных венозных коллекторов головного мозга и закрывала его. Врачам нужно было не только удалить опухоль, но и сохранить здоровье

Врачи удалили у пенсионерки опухоль размером с грейпфрут. Ее обнаружили в лобных долях мозга. Об этом в среду, 21 мая, сообщили в пресс-службе министерства здравоохранения Воронежской области.

По информации структуры, 80-летняя женщина поступила в больницу скорой медицинской помощи (БСМП) №1 с подозрением на инсульт – у нее наблюдались проблемы с речью и слабость в правой руке. Однако при стандартном обследовании с помощью компьютерной томографии стало понятно, что инсульта нет. Специалисты обнаружили опухоль в обеих лобных долях мозга размером 6x7x8 см.

— Подобные новообразования так или иначе затрагивают важные участки мозга – кровеносные сосуды и зоны, отвечающие за речь и движение,— уточнили в пресс-службе.

Дополнительное исследование с контрастом показало, что опухоль окутываала переднюю мозговую артерию, прорастала в переднюю треть одного из наиболее крупных венозных коллекторов головного мозга и закрывала его.

Врачам нужно было не только удалить опухоль, но и сохранить здоровье пациентки – не повредить жизненно важные сосуды и участки мозга, для того, чтобы избежать осложнений.

Специалисты проводили операцию в течение шести часов. Они удалили опухоль, а все важные сосуды сохранили.

По словам пациентки, послеоперационный период у нее проходит хорошо. Женщина обслуживает себя самостоятельно, а неврологическая симптоматика спала после вмешательства. Пациентку выписали из больницы.