Добавить в корзинуПозвонить
Найти в Дзене

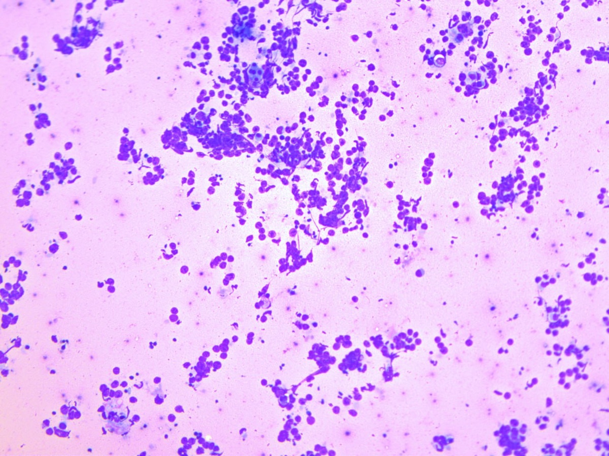
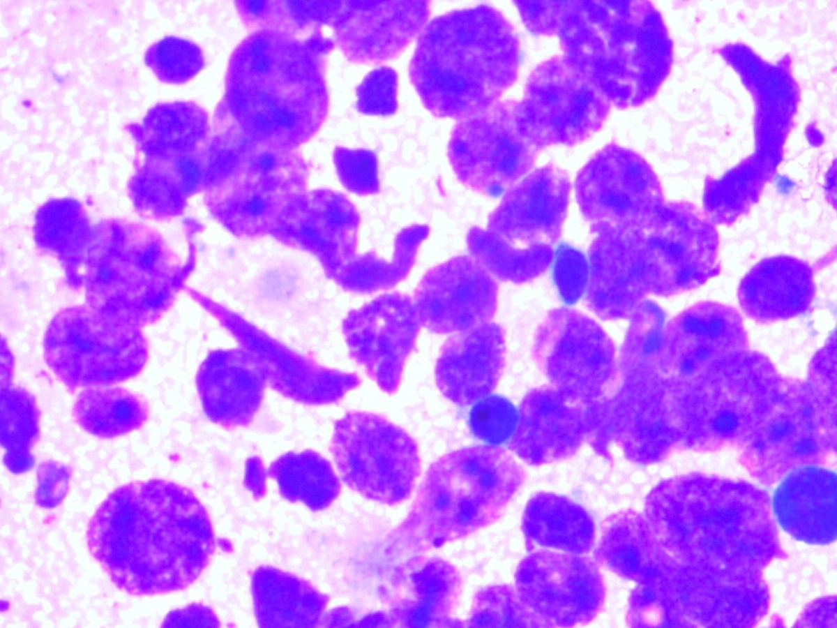
Пациент, 1991 г

Пациент, 1991 г.р. ТИАБ яичка — Герминогенная опухоль, семинома АФП, ХГЧ, ЛДГ — в пределах нормы Объектив 10x, 100x #яичко #семинома

Пациент, 1991 г.р.

ТИАБ яичка — Герминогенная опухоль, семинома

АФП, ХГЧ, ЛДГ — в пределах нормы

Объектив 10x, 100x

#яичко #семинома

-2