Добавить в корзинуПозвонить
Найти в Дзене
Понимая Медицину

Железодефецитная анемия в анализах крови

В общем анализе крови (ОАК) показатели эритроцитов отражают их количество, размер, форму и насыщенность гемоглобином RBC (Red Blood Cells) – количество эритроцитов - Мужчины: 4.0–5.5 × 10¹²/л - Женщины: 3.7–5.2 × 10¹²/л - Обезвоживание (рвота, диарея, ожоги). - Гипоксия (курение, болезни лёгких, жизнь в горах). - Болезни почек (избыток эритропоэтина). - Истинная полицитемия (опухоль костного мозга). - Анемии (железодефицитная, B12-дефицитная, гемолитическая). - Кровопотери. - Хронические болезни (почечная недостаточность, онкология). Hb (Hemoglobin) – гемоглобин - Мужчины: 130–170 г/л - Женщины: 120–150 г/л - (!)Беременные: ≥110 г/л - Эритроцитоз (см. выше). - Сгущение крови. - Анемии (чаще всего железодефицитная). - Гипергидратация (избыток жидкости). HCT (Hematocrit) – гематокрит - Процентное соотношение эритроцитов к общему объёму крови. - Мужчины: 40–50% - Женщины: 36–46% - Обезвоживание. - Эритремия. - Анемии. - Беременность. Эритроцитарные индексы Дополнительные показател
Оглавление

железодефицитная анемия ЖДА
железодефицитная анемия ЖДА

В общем анализе крови (ОАК) показатели эритроцитов отражают их количество, размер, форму и насыщенность гемоглобином

Основные показатели эритроцитов в ОАК

RBC (Red Blood Cells) – количество эритроцитов

  • Норма:

- Мужчины: 4.0–5.5 × 10¹²/л

- Женщины: 3.7–5.2 × 10¹²/л

  • Повышение (эритроцитоз):

- Обезвоживание (рвота, диарея, ожоги).

- Гипоксия (курение, болезни лёгких, жизнь в горах).

- Болезни почек (избыток эритропоэтина).

- Истинная полицитемия (опухоль костного мозга).

  • Снижение (эритропения):

- Анемии (железодефицитная, B12-дефицитная, гемолитическая).

- Кровопотери.

- Хронические болезни (почечная недостаточность, онкология).

Hb (Hemoglobin) – гемоглобин

  • Норма:

- Мужчины: 130–170 г/л

- Женщины: 120–150 г/л

- (!)Беременные: ≥110 г/л

  • Повышение:

- Эритроцитоз (см. выше).

- Сгущение крови.

  • Снижение:

- Анемии (чаще всего железодефицитная).

- Гипергидратация (избыток жидкости).

HCT (Hematocrit) – гематокрит

- Процентное соотношение эритроцитов к общему объёму крови.

  • -Норма:

- Мужчины: 40–50%

- Женщины: 36–46%

  • Повышение:

- Обезвоживание.

- Эритремия.

  • Снижение:

- Анемии.

- Беременность.

Эритроцитарные индексы

-2

Дополнительные показатели

Ретикулоциты (молодые эритроциты) – 0.5–2%: повышаются при кровопотере или гемолизе. Их повышение свидетельствует о том, что работает красный костный мозг

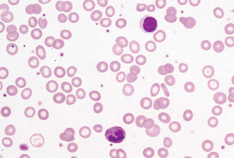
Морфология эритроцитов (в мазке крови):

- Пойкилоцитоз (разные формы) – при анемиях.

- Мишеневидные клетки – талассемия.

- Шизоциты – ДВС-синдром, механический гемолиз

Интерпретировать показатели нужно в комплексе (например,

низкий RBC + низкий MCV = железодефицит,

а высокий MCV + высокий RDW = дефицит B12)

Цветовой показатель (ЦП) – это устаревший, но иногда используемый параметр в общем анализе крови, который отражает среднее содержание гемоглобина в одном эритроците относительно нормы

-3

Пример*

- Гемоглобин (HGB) = 140 г/л

- Эритроциты (RBC) = 4.5 × 10¹²/л → берём "450"

- ЦП = (140 × 3) / 450 = 0.93

Норма: 0.85–1.05 (нормохромия)

  • <0.85 - гипохромия - железодефецит
  • >1.05 - гиперхромия - дефецит В12
  • нормохромия может быть при гемолитической анемии

Сравнение с современными индексами

Цветовой показатель – это аналог MCH (среднее содержание гемоглобина в эритроците), но менее точный. Сегодня чаще используют:

- MCH (норма: 27–34 пг) – прямой расчёт содержания гемоглобина в эритроците.

- MCHC (норма: 320–360 г/л) – концентрация гемоглобина в эритроцитарной массе.

Примеры интерпретации

1. Железодефицитная анемия:

- HGB ↓, RBC ↓, ЦП ↓ (<0.85), MCV ↓ (<80 фл).

2. B12-дефицитная анемия:

- HGB ↓, RBC ↓, ЦП ↑ (>1.05), MCV ↑ (>100 фл)

БИОХИМИЯ

В диагностике анемий и нарушений обмена железа ключевую роль играют ферритин, сывороточное железо, ОЖСС (общая железосвязывающая способность сыворотки) и % насыщения трансферрина

Ферритин

Что это? Белок, отражающий запасы железа в организме (основная форма депонированного железа).

Нормы:

- Мужчины: 20–250 мкг/л

- Женщины: 10–120 мкг/л (ниже из-за менструаций)

- Дети: варьирует с возрастом.

О чём говорят отклонения?

  • - ↓ Понижен (<30 мкг/л)

– истощение запасов железа (**железодефицитная анемия** даже при нормальном гемоглобине!).

  • - ↑ Повышен:

- Воспаление (ферритин – белок острой фазы, растёт при инфекциях, ревматических болезнях).

- Гемохроматоз (перегрузка железом).

- Болезни печени, алкоголизм.

Важно! При хронических болезнях (например, ревматоидный артрит) ферритин может быть ложно высоким, несмотря на дефицит железа.

Сывороточное железо

Что это? Концентрация свободного железа в плазме крови (в связанном с трансферрином виде).

Нормы:

- Мужчины: 12–30 мкмоль/л

- Женщины: 9–27 мкмоль/л

О чём говорят отклонения?

  • - ↓ Понижено:

- Железодефицитная анемия.

- Хронические воспаления (железо "прячется" в депо).

- Беременность (из-за увеличения объёма крови).

  1. - ↑ Повышено:

- Гемохроматоз.

- Гемолитические анемии.

- Передозировка препаратов железа.

Проблема: Уровень сывороточного железа сильно колеблется в течение дня (выше утром!) и зависит от приёма пищи

ОЖСС (Общая железосвязывающая способность сыворотки)

Что это? Показывает, сколько железа может связать трансферрин (белок-переносчик)

"Насколько кровь "голодна" по железу"

Нормы: 45–70 мкмоль/л

О чём говорят отклонения?

  • - ↑ Повышена:

- Дефицит железа (организм пытается "поймать" больше железа).

- Беременность (физиологически).

  • - ↓ Понижена:

- Гемохроматоз.

- Хронические болезни (трансферрина мало).

% насыщения трансферрина

Что это? Доля трансферрина, уже связанного с железом

-4

Нормы: 15–50%

- <15% – дефицит железа.

- >50% – перегрузка железом (гемохроматоз, отравление железом).

-5

Важно!

- Ферритин – главный маркер депо железа.

- ОЖСС и % насыщения помогают отличить железодефицит от анемии хронических болезней.

И если кому интересно как вычисляют ферритин

ИФА (иммуноферментный анализ)

- Принцип: Ферритин связывается с антителами, фиксированными на планшете, затем добавляется фермент, который вызывает изменение цвета. Интенсивность окраски пропорциональна уровню ферритина.