Найти в Дзене

Если бы не сдал 1 анализ — меня бы уже не было. Мужчины, не повторяйте мою ошибку

Поучительная история моего клиента: Если бы не сдал — меня бы уже не было Я даже не подозревал, что этот анализ покажет то, что может убить за 2 секунды. Ничего не болело. Работал, ездил, пил кофе. Да, уставал. Да, сердце иногда будто ёкало. Но кто не устаёт в 55? Подумал — просто возраст. Оказалось, не возраст. А бомба с таймером, которую я сам себе откладывал. Рассказываю, как дошёл до этого анализа, что он показал — и почему теперь советую его каждому другу и даже соседу по даче. Первые «звоночки» были смазанными: Конечно, я это списывал на стресс, жару, погоду, налоговую — что угодно, только не здоровье. Пока один знакомый не рассказал, как его брат умер во сне от инфаркта. 53 года. Спортом занимался. Давление никогда не беспокоило. Он упомянул анализ, который мог бы это предсказать. Я заинтересовался. И пошёл. Называется он КТ-коронарография. Делается с контрастом, чтобы проверить проходимость сосудов сердца. Некоторые кардиологи называют его “золотым стандартом” диагностики ишеми
Оглавление

Поучительная история моего клиента:

Если бы не сдал — меня бы уже не было

Я даже не подозревал, что этот анализ покажет то, что может убить за 2 секунды. Ничего не болело. Работал, ездил, пил кофе. Да, уставал. Да, сердце иногда будто ёкало. Но кто не устаёт в 55? Подумал — просто возраст.

Ваше спасение этот анализ
Ваше спасение этот анализ

Оказалось, не возраст. А бомба с таймером, которую я сам себе откладывал.

Рассказываю, как дошёл до этого анализа, что он показал — и почему теперь советую его каждому другу и даже соседу по даче.

Как всё началось

Первые «звоночки» были смазанными:

  • при подъёме по лестнице появлялась неприятная одышка;
  • пару раз сердце «бежало» — пульс прыгал без причины;
  • после обеда хотелось лечь, а не жить.

Конечно, я это списывал на стресс, жару, погоду, налоговую — что угодно, только не здоровье.

Пока один знакомый не рассказал, как его брат умер во сне от инфаркта. 53 года. Спортом занимался. Давление никогда не беспокоило.

Он упомянул анализ, который мог бы это предсказать. Я заинтересовался. И пошёл.

-2

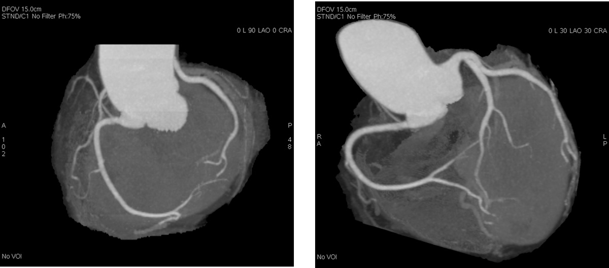
Анализ, который спас мне жизнь

Называется он КТ-коронарография. Делается с контрастом, чтобы проверить проходимость сосудов сердца. Некоторые кардиологи называют его “золотым стандартом” диагностики ишемической болезни сердца.

Что он показал? У меня была почти на 70% закупорка одной из коронарных артерий.

«Вы были в 2 шагах от инфаркта. Любой стресс, и…», — сказал врач, показывая снимок.

Сколько стоит? В частной клинике — от 10 до 15 тысяч. По направлению можно попасть и дешевле. 15 минут под сканером — и ты знаешь, с чем живёшь.

Что было бы, если бы я не проверился

Доктор не стал сглаживать:

«Вы бы либо легли с инфарктом — если повезёт. Либо не проснулись».

Меня пробрало. Особенно когда он добавил:

«Каждые 40 секунд в мире кто-то умирает от сердечно-сосудистого события. И 80% этих случаев — можно было предотвратить».

Я сразу вспомнил друга из института, который в 49 умер «вдруг». Никаких симптомов. А потом оказалось — бляшка, тромб и неудачный момент.

Что делать прямо сейчас

1. Записаться к терапевту или кардиологу. Просто сказать: «Хочу проверить сердце, мне за 50». Это нормально.

Благо есть еще хорошие врачи
Благо есть еще хорошие врачи

2. Сделать первичный чекап:

  • ЭКГ в покое и с нагрузкой
  • Анализ крови: общий, липидный профиль, сахар
  • Измерение давления и пульса в динамике

3. Обсудить с врачом КТ-коронарографию или УЗИ сосудов. Особенно если есть:

  • избыточный вес
  • курение (даже бывшее)
  • наследственность (инфаркт у родственников)

Это не реклама. Это личный опыт. Он меня, считайте, вытащил.

Мужчины, не тяните — это не слабость

Мы, мужики, любим терпеть. «Да это просто я устал». «Да подышу — и отпустит». Пока не отпустит совсем.

Проверить сердце — это не паника. Это ответственность.

Вы не будете слабаком, если пойдёте к кардиологу. Вы будете умным и живым мужиком, который знает, что время — ценный ресурс.

Пока не болит — самое время проверить. Потому что когда заболит — может быть поздно.

Вывод

Один анализ. Ноль боли. 15 минут. И вы узнаёте — в порядке ли ваш мотор.

Если читаете это — пусть это будет ваш знак. Позвоните. Запишитесь. Пройдите чекап. Это проще, чем потом бороться за жизнь.

Берегите себя
Берегите себя

Бонус: мини-чеклист

Если у вас есть хоть один из пунктов — идите проверяться:

  • Усталость без причины
  • Колет слева «вроде как мышца»
  • Пульс скачет или замирает
  • Давление выше 130/85
  • Курите, курили или вес выше нормы

Пусть это будет не повод для страха, а повод для действия. Живите долго — и осознанно.