Найти в Дзене
N + 1

Парадоксальный случай синдрома платипноэ с ортодеоксией проявился одышкой в покое

Американские врачи сообщили о пациенте с синдромом платипноэ с ортодеоксией, при котором насыщение крови кислородом парадоксальным образом повышалось стоя и при физической нагрузке, а не лежа. Описание этого случая приведено в журнале BMJ Case Reports. Врачам хорошо знакомо явление ортопноэ, возникающее при застойной сердечной недостаточности, которое состоит в том, что пациенту легче дышать в положении сидя или стоя, поскольку часть крови перемещается в нижнюю часть тела и разгружается малый круг кровообращения. Гораздо реже встречается платипноэ, при котором, наоборот, дыхание затрудняется в положении сиди и стоя, что обычно сопровождается снижением парциального давления кислорода в крови на четыре и более миллиметра ртутного столба или насыщения крови кислородом на пять и более процентов (ортодеоксией). Причинами этого синдрома становятся внутрисердечное шунтирование крови между кругами кровообращения (справа налево, то есть из малого круга в большой), шунтирование по легочным сосуд
  Georg Gussak et al. / BMJ Case Reports, 2025
Georg Gussak et al. / BMJ Case Reports, 2025

Американские врачи сообщили о пациенте с синдромом платипноэ с ортодеоксией, при котором насыщение крови кислородом парадоксальным образом повышалось стоя и при физической нагрузке, а не лежа. Описание этого случая приведено в журнале BMJ Case Reports.

Врачам хорошо знакомо явление ортопноэ, возникающее при застойной сердечной недостаточности, которое состоит в том, что пациенту легче дышать в положении сидя или стоя, поскольку часть крови перемещается в нижнюю часть тела и разгружается малый круг кровообращения. Гораздо реже встречается платипноэ, при котором, наоборот, дыхание затрудняется в положении сиди и стоя, что обычно сопровождается снижением парциального давления кислорода в крови на четыре и более миллиметра ртутного столба или насыщения крови кислородом на пять и более процентов (ортодеоксией). Причинами этого синдрома становятся внутрисердечное шунтирование крови между кругами кровообращения (справа налево, то есть из малого круга в большой), шунтирование по легочным сосудам, паренхиматозное легочное шунтирование или сочетание этих механизмов.

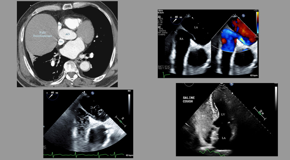
К Джорджу Гассаку (Georg Gussak) с коллегами в кардиологическое отделение Медцентра Университета Лойолы поступил мужчина на середине восьмого десятка лет жизни с нормальной массой тела. В анамнезе у него были артериальная гипертензия и сахарный диабет второго типа, он не курил, не испытывал болей в грудной клетке и не отмечал периферических отеков. Пациент жаловался на чувство утомления и одышку во время отдыха и сна, которые проходили при работе или другой физической активности. Насыщение его крови кислородом (сатурация) составляла 85 процентов (при норме 95 и выше) лежа и не повышалась при назначении кислорода, 90 процентов сидя и доходила до 95 процентов после двухминутного легкого бега на месте. До госпитализации ему выполнили рентгенографию и компьютерную томографию грудной клетки, функциональную диагностику легких, анализы на мозговой натрийуретический пептид (маркер сердечной недостаточности) и d-димер (маркер недавнего тромбоза), а также вентиляционно-перфузионную сцинтиграфию легких, которая выявила расширение восходящего отдела аорты до 3,9 сантиметра и высокое положение правой гемидиафрагмы. Форма и размеры печени при этом были нормальными.

Эхокардиография в стационаре показала признаки шунта крови на уровне предсердий без дилатации правого желудочка и повышения давления в легочных сосудах. При повторной ревизии КТ грудной клетки врачи отметили деформацию стенки предсердия, непосредственно примыкающей к расширению аорты и правой гемидиафрагме. Рентгеноскопия легких во время дыхания не выявила паралича правой гемидиафрагмы, этиология его высокого положения осталась неустановленной. Катетеризация правых отделов сердца лежа показала нормальное давление в обоих предсердиях и легочных сосудах и отсутствие значимых изменений сатурации в камерах сердца. Отношение объемного кровотока в малом и большом кругах кровообращения составило 0,8, что указывает на наличие шунта слева направо. Чреспищеводная допплерография выявила небольшое расширение левого предсердия, среднего размера открытое овальное окно (врожденный дефект межпредсердной перегородки) и подтвердила наличие умеренного шунта справа налево.

Получив согласие пациента на вмешательство, ему выполнили транскатетерное закрытие овального окна, которое прошло без осложнений. Повторные последующие эхокардиограммы подтвердили закрытие окна и отсутствие шунта. Перед выпиской одышка у мужчины прошла, гипоксемии в любом положении не наблюдалось. Его выписали, назначив профилактическую антиагрегантную терапию аспирином и клопидогрелом. При повторном обследовании через две недели жалобы у пациента отсутствовали, при пульсоксиметрии сатурация составляла 95 процентов лежа, стоя и при ходьбе.

По данным авторов работы, это первый случай синдрома платипноэ-ортодеоксии с парадоксальным ухудшением в положении лежа и улучшением при физической нагрузке. Они предполагают, что необычная форма заболевания была вызвана комбинацией внутрисердечных (открытого овального окна) и внешних анатомических факторов: в положении лежа смещение правой гемидиафрагмы и расширения восходящей аорты могли деформировать межпредсердную перегородку, усиливая сброс крови в левое предсердие, в при физической нагрузке повышенный венозный возврат мог перенаправить основной ток крови с межпредсердной перегородки в правое предсердие и далее в малый круг кровообращения, повышая оксигенацию. Подобная форма заболевания, вероятно, зачастую остается недиагностированной, и клиницистам следует иметь ее в виду при диагностическом поиске.

Кроме того, авторы провели обзор литературы по этой теме и выяснили, что высокое положение правой гемидиафрагмы (преимущественно с ее параличом) выявляют у значимой доли пациентов с синдромом платипноэ-ортодеоксии и потенциально оно может служить функциональным компонентом и дополнительным диагностическим критерием этого синдрома. Также случай пациента подтвердил, что закрытие овального окна и устранение шунта крови служит основным радикальным методом лечения синдрома платипноэ-ортодеоксии независимо от его формы.

Еще один интересный случай пациента с одышкой ранее описали аргентинские врачи — у мужчины обнаружили ложную опухоль легкого, которую вызвала митральная регургитация, повысившая давление в малом круге кровообращения.