Найти в Дзене
D2D Expert

УЛЬТРАЗВУКОВОЕ ИССЛЕДОВАНИЕ СЛЮННЫХ ЖЕЛЕЗ. ЧАСТЬ 3. ЭХОГРАФИЧЕСКАЯ ДИАГНОСТИКА ОЧАГОВЫХ НОВООБРАЗОВАНИЙ СЛЮННЫХ ЖЕЛЕЗ

1.     Доброкачественные новообразования ·        Кистозные образования Эхографически кисты могут быть не только классически анэхогенными, но и гипоэхогенными (в зависимости от вязкости содержимого), имитируя солидные образования. Рис. 1. Эхографическая визуализация кисты СЖ, В-режим, продольное (справа) и поперечное (слева) сканирование [1] ·        Плеоморфная аденома – наиболее распространенное доброкачественное образование. Эхографическая картина разнообразна. Гипо-или даже анэхогенное образование с четкими крупноволнистыми контурами и хаотически разбросанными точечными включениями средней, повышенной эхогенности. При ЦДК выявляется небольшое количество огибающих образование сосудов со скоростью не более 60 см. Рис. 2.Эхографическая картина плеоморфной аденомы СЖ, В-режим, продольное сканирование [1] ·        Также могут встречаться липомы (в основном в околоушных СЖ, гипоэхогенные образования овальной формы с линейными включениями) и гемангиомы (чаще в детском возрасте). Рис. 3. Э

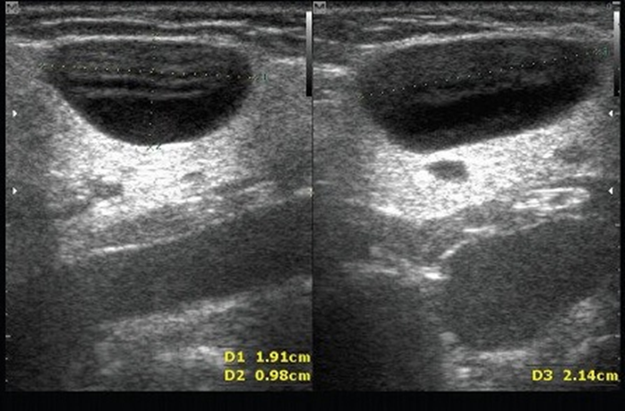
1.     Доброкачественные новообразования

·        Кистозные образования

Эхографически кисты могут быть не только классически анэхогенными, но и гипоэхогенными (в зависимости от вязкости содержимого), имитируя солидные образования.

-2

Рис. 1. Эхографическая визуализация кисты СЖ, В-режим, продольное (справа) и поперечное (слева) сканирование [1]

·        Плеоморфная аденома – наиболее распространенное доброкачественное образование.

Эхографическая картина разнообразна. Гипо-или даже анэхогенное образование с четкими крупноволнистыми контурами и хаотически разбросанными точечными включениями средней, повышенной эхогенности. При ЦДК выявляется небольшое количество огибающих образование сосудов со скоростью не более 60 см.

-3

Рис. 2.Эхографическая картина плеоморфной аденомы СЖ, В-режим, продольное сканирование [1]

·        Также могут встречаться липомы (в основном в околоушных СЖ, гипоэхогенные образования овальной формы с линейными включениями) и гемангиомы (чаще в детском возрасте).

-4

Рис. 3. Эхографическая картина инфантильной гемангиомы околоушной СЖ, В-режим + ЦДК [2]

·        Опухоль Вартина – это овальные гипоэхогенные очаги с четким контуром, часто содержат множественные анэхогенные области. В режиме ЦДК чаще гиперваскуляризованы, но могут также содержать только короткие сегменты сосудов. Возникают чаще у мужчин на пятом и шестом десятилетиях жизни.

-5

Рис. 4. Эхографическая картина опухоли Вартина, В-режим + ЦДК [2]

·        Кистозная лимфангиома- анэхогенное полостное образование неправильной формы с четкими контурами, легко изменяющееся при надавливании. В полости лимфангиомы обычно бывают видны перегородки. Стенки кист относительно толстые, до 1-3 мм, могут содержать кровеносные сосуды, нервы, жировую ткань.

-6

Рис. 5. Эхографическая картина кистозной лимфангиомы, В-режим [2]

2.     Злокачественные новообразования

Эхографических признаков, позволяющих провести уточненную дифференциальную диагностику злокачественных опухолей, нет. Однако, ультразвуковое исследование позволяет выявить признаки злокачественности:

·        Зона сниженной эхогенности

·        Неровный (зазубренный или мелковолнистый) и нечеткий контур

·        Хаотично расположенные множественные включения средней и повышенной эхогенности, различные по величине и форме

·        «hallo» вокруг образования до 3-4 мм (зона пониженной эхогенности)

·        При ЦДК выявляется высокоскоростной (более 60 см/с) турбулентный кровоток

-7

Рис. 6. Эхографический вариант злокачественной опухоли [2]

Список источников информации:

1.     https://www.medison.ru/si/art389.htm

2.     https://diagnoster.ru/articles/stati/patologiya-slyunnyih-zhelez-uzi/

3.     Терновой С.К., Маркина Н.Ю., Кислякова М.В. Ультразвуковая диагностика. 4-е изд. ГЭОТАР-Медиа. 2024. – 234 с.

4.     Практическое руководство по ультразвуковой диагностике. Общая ультразвуковая диагностика/ Под ред. Митькова В.В. 2-е изд. М.: Издательский дом Видар-М, 2011. - 712с,ил.

Автор: Нагорная Арина Владимировна, врач ультразвуковой диагностики «Клиника Эксперт Воронеж»