Добавить в корзинуПозвонить
Найти в Дзене
Ormco Россия

Дорогие коллеги

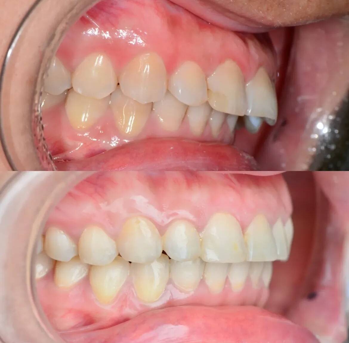
Дорогие коллеги! Сегодня в нашей рубрике #клиническая_среда делимся одним из интересных клинических случаев доктора Алексея Юрьевича Перуна, где грамотная корректировка плана лечения позволила добиться отличного результата. @dr.perun Диагноз и ключевые особенности: ✅ Справа — второй класс, наличие сагитальной щели. ✅ Слева — выраженный перекрёстный прикус, мешавший полноценному пережёвыванию пищи. План лечения: 1️⃣ Первоначальный план несколько раз пересматривался для достижения оптимального результата. 2️⃣ Принято решение об удалении 14 зуба справа с целью дистализации клыка, устранения сагитальной щели и улучшения центральной линии. 3️⃣ Коррекция перекрёстного прикуса слева — восстановление правильной функции и возможности комфортного жевания. Результаты: 🔹 Благодаря продуманной стратегии удалось не только устранить основные жалобы пациентки, но и добиться эстетически привлекательного результата. 🔹 Финальный результат, по мнению лечащего врача, получился действительно красивым и

Дорогие коллеги!

Сегодня в нашей рубрике #клиническая_среда делимся одним из интересных клинических случаев доктора Алексея Юрьевича Перуна, где грамотная корректировка плана лечения позволила добиться отличного результата.

@dr.perun

Диагноз и ключевые особенности:

✅ Справа — второй класс, наличие сагитальной щели.

✅ Слева — выраженный перекрёстный прикус, мешавший полноценному пережёвыванию пищи.

План лечения:

1️⃣ Первоначальный план несколько раз пересматривался для достижения оптимального результата.

2️⃣ Принято решение об удалении 14 зуба справа с целью дистализации клыка, устранения сагитальной щели и улучшения центральной линии.

3️⃣ Коррекция перекрёстного прикуса слева — восстановление правильной функции и возможности комфортного жевания.

Результаты:

🔹 Благодаря продуманной стратегии удалось не только устранить основные жалобы пациентки, но и добиться эстетически привлекательного результата.

🔹 Финальный результат, по мнению лечащего врача, получился действительно красивым и функциональным.

💬 Делитесь своими впечатлениями и опытом в комментариях!

-2
-3
-4
-5
-6
-7
-8