Найти в Дзене

Меланома

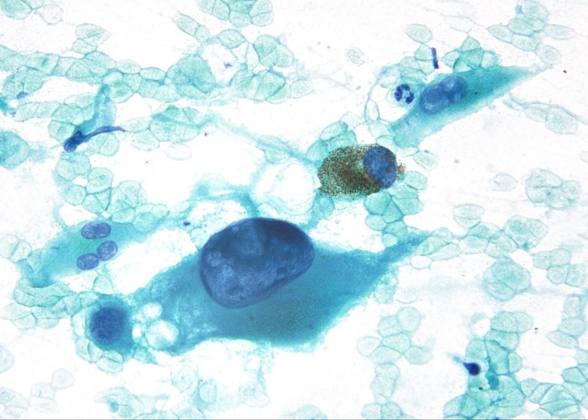
Меланома. Материал ТАБ легкого. ✅ Пигмент ✅ Вытянутая и отростчатая цитоплазма Объектив 100x. #меланома #цитология #легкое

Меланома. Материал ТАБ легкого.

✅ Пигмент

✅ Вытянутая и отростчатая цитоплазма

Объектив 100x.

#меланома #цитология #легкое