Добавить в корзинуПозвонить
Найти в Дзене
Новости Воронежа

22-летнюю воронежанку прооперировали после редкого перелома

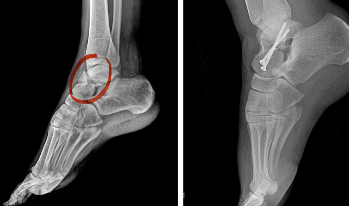
В больнице №2 девушке восстановили стопу после падения с лошади После травмы на тренировке у девушки выявили сложный перелом таранной кости со смещением. Врачи решили действовать быстро — и провели артроскопическую операцию. Такой метод требует лишь проколов и позволяет точно сопоставить отломки. Операцию выполнили Олег Ипполитов и Евгений Козюбенко. Через 4 дня пациентку уже выписали — она продолжает лечение амбулаторно. Когда техника и опыт врачей работают вместе, даже редкие травмы перестают быть приговором.
До и после.
До и после.

В больнице №2 девушке восстановили стопу после падения с лошади

После травмы на тренировке у девушки выявили сложный перелом таранной кости со смещением. Врачи решили действовать быстро — и провели артроскопическую операцию. Такой метод требует лишь проколов и позволяет точно сопоставить отломки.

Операцию выполнили Олег Ипполитов и Евгений Козюбенко. Через 4 дня пациентку уже выписали — она продолжает лечение амбулаторно.

Когда техника и опыт врачей работают вместе, даже редкие травмы перестают быть приговором.