Найти в Дзене

Компромиссное лечение глубокого прикуса. Избежали хирургии, «запрыгнув последний поезд!»

Когда мы получаем такой результат — это каждый раз огромная радость! Дорогие пациенты, ортодонтия — это не про "брекеты или каппы", не про "самую крутую фирму" Это всегда про умный подход, знания, опыт и грамотное приложение сил! Начиная от плана лечения, до каждого визита — это принятие решения врачом на основании знаний и опыта. И именно от этих решений зависит итоговый результат! Расскажем историю лечения пациента Итак, изначальная ситуация в полости рта достаточно сложная: Чем это плохо помимо эстетики? Глубокий прикус ведет к сколам зубов и травматизациям десны. При несмыкании губ они постоянно обветрены и травмированы резцами. Главное вовремя начать! В данном случае мы "запрыгнули в уходящий поезд" Опоздай мы с лечением ещё чуть-чуть — и данный вид патологии можно было бы скорректировать только хирургически! Было принято решение использовать остатки потенциала роста пациента и, установив аппарат Гербста, помочь нижней челюсти «вырасти». С помощью аппарата и брекет-систем

Когда мы получаем такой результат — это каждый раз огромная радость!

  • За пациента, который несмотря на достаточно позднее начало лечения, был молодцом, исполнял чётко указания врача и получил такой достойный результат.
  • За то, что родители такие молодцы и привели его к правильным специалистам! (то есть к нам )
  • За то, что у нас такой классный коллектив, способный справляться с самыми непростыми случаями!
  • За то, что у нас есть такой крутой Николай Михайлович — кладезь глубочайших знаний и опыта.

Дорогие пациенты, ортодонтия — это не про "брекеты или каппы", не про "самую крутую фирму"

Это всегда про умный подход, знания, опыт и грамотное приложение сил!

Начиная от плана лечения, до каждого визита — это принятие решения врачом на основании знаний и опыта. И именно от этих решений зависит итоговый результат!

Расскажем историю лечения пациента

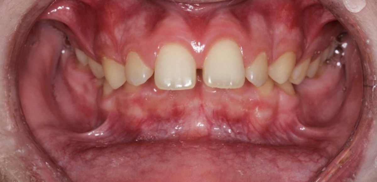
Итак, изначальная ситуация в полости рта достаточно сложная:

  • Дистальный прикус
-2

  • Глубокая окклюзия
-3

  • В профиль видно, что губы не смыкаются, резцы торчат и сильно отклонены вперед.
-4

Чем это плохо помимо эстетики? Глубокий прикус ведет к сколам зубов и травматизациям десны.

При несмыкании губ они постоянно обветрены и травмированы резцами.

Главное вовремя начать!

В данном случае мы "запрыгнули в уходящий поезд"

Опоздай мы с лечением ещё чуть-чуть — и данный вид патологии можно было бы скорректировать только хирургически!

Было принято решение использовать остатки потенциала роста пациента и, установив аппарат Гербста, помочь нижней челюсти «вырасти».

-5

С помощью аппарата и брекет-системы мы добились как улучшения эстетики улыбки и профиля, так и функциональности зубочелюстной системы!

-6

ВАЖНО! 

Данный вид лечения относится к компромиссным - в ряде случаев, эффективным является только хирургическая операция по выдвижению челюсти.

-7

Такой результат у нас получился!